Role of Immunocytochemistry in Detection of Mycobacterium tuberculosis Antigen by Fine Needle Aspiration Cytology.

IF 1 4区 医学 Q4 MEDICAL LABORATORY TECHNOLOGY
Journal of Cytology Pub Date : 2025-04-01 Epub Date: 2025-05-29 DOI:10.4103/joc.joc_37_24
Pampa Ch Toi, Apoorvalakshmi Subramaniam, Noyal Mariya Joseph, Neelaiah Siddaraju
{"title":"Role of Immunocytochemistry in Detection of <i>Mycobacterium tuberculosis</i> Antigen by Fine Needle Aspiration Cytology.","authors":"Pampa Ch Toi, Apoorvalakshmi Subramaniam, Noyal Mariya Joseph, Neelaiah Siddaraju","doi":"10.4103/joc.joc_37_24","DOIUrl":null,"url":null,"abstract":"<p><strong>Background: </strong>Detection of extrapulmonary tuberculosis (EPTB) by Ziehl-Neelsen (Z-N) staining in fine needle aspirates is challenging due to the low yield of acid-fast bacteria (AFB). Mycobacterial culture, the gold standard, takes 4-8 weeks. Polymerase chain reaction with 100% sensitivity and 92.1% specificity is expensive. Mycobacterial antigens produced by the tubercle bacilli consist of several proteins and enzymes. The protein purified from <i>Mycobacterium tuberculosis</i> is called MPT. The MPT64, a 24-kd protein, has not been detected in non-tuberculous mycobacteria. We aim to study the role of immunocytochemical (ICC) in the detection of EPTB in fine needle aspiration cytology materials by using MPT64 antibody and compare it with culture and Z-N staining, as ICC is not routinely practiced for diagnosing EPTB.</p><p><strong>Materials and methods: </strong>A total of 134 patients having enlarged nodes with suspected EPTB were included; however, only 96/134 cases were suitable for statistical analysis. Papanicolaou, May-Grünwald-Giemsa, Z-N staining, ICC, and mycobacteria culture were performed.</p><p><strong>Results: </strong>AFB was positive in 16%, 22.9% of culture-positive, and 11% of MPT64 positive. The sensitivity and specificity of ICC compared to mycobacterial culture were 45.4% and 99%, respectively. ICC and culture had a moderate agreement with the Kappa value of 0.535. The positive and negative predictive values of ICC with culture were 91% and 86%, respectively.</p><p><strong>Conclusion: </strong>This study tried to improve the technique's sensitivity to facilitate its use in routine laboratory practice. Nonetheless, our results showed no significant improvement over the currently popular Z-N stain, although a comparison between the ICC technique performed on smears and cell block sections showed better results in the latter.</p>","PeriodicalId":50217,"journal":{"name":"Journal of Cytology","volume":"42 2","pages":"82-87"},"PeriodicalIF":1.0000,"publicationDate":"2025-04-01","publicationTypes":"Journal Article","fieldsOfStudy":null,"isOpenAccess":false,"openAccessPdf":"https://www.ncbi.nlm.nih.gov/pmc/articles/PMC12165620/pdf/","citationCount":"0","resultStr":null,"platform":"Semanticscholar","paperid":null,"PeriodicalName":"Journal of Cytology","FirstCategoryId":"3","ListUrlMain":"https://doi.org/10.4103/joc.joc_37_24","RegionNum":4,"RegionCategory":"医学","ArticlePicture":[],"TitleCN":null,"AbstractTextCN":null,"PMCID":null,"EPubDate":"2025/5/29 0:00:00","PubModel":"Epub","JCR":"Q4","JCRName":"MEDICAL LABORATORY TECHNOLOGY","Score":null,"Total":0}
引用次数: 0

Abstract

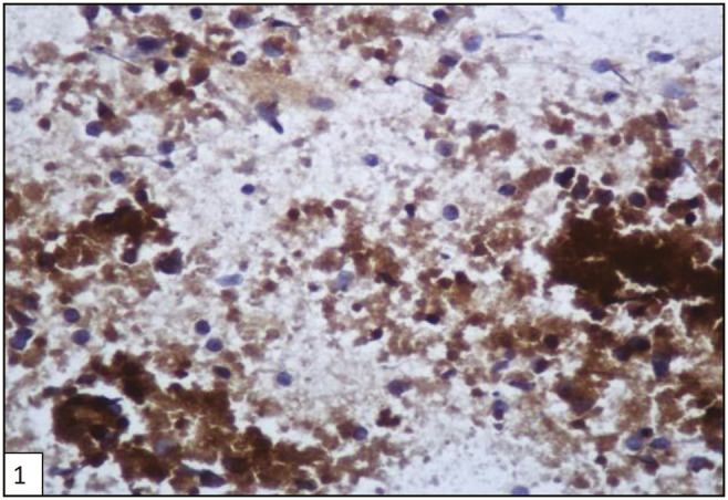
Background: Detection of extrapulmonary tuberculosis (EPTB) by Ziehl-Neelsen (Z-N) staining in fine needle aspirates is challenging due to the low yield of acid-fast bacteria (AFB). Mycobacterial culture, the gold standard, takes 4-8 weeks. Polymerase chain reaction with 100% sensitivity and 92.1% specificity is expensive. Mycobacterial antigens produced by the tubercle bacilli consist of several proteins and enzymes. The protein purified from Mycobacterium tuberculosis is called MPT. The MPT64, a 24-kd protein, has not been detected in non-tuberculous mycobacteria. We aim to study the role of immunocytochemical (ICC) in the detection of EPTB in fine needle aspiration cytology materials by using MPT64 antibody and compare it with culture and Z-N staining, as ICC is not routinely practiced for diagnosing EPTB.

Materials and methods: A total of 134 patients having enlarged nodes with suspected EPTB were included; however, only 96/134 cases were suitable for statistical analysis. Papanicolaou, May-Grünwald-Giemsa, Z-N staining, ICC, and mycobacteria culture were performed.

Results: AFB was positive in 16%, 22.9% of culture-positive, and 11% of MPT64 positive. The sensitivity and specificity of ICC compared to mycobacterial culture were 45.4% and 99%, respectively. ICC and culture had a moderate agreement with the Kappa value of 0.535. The positive and negative predictive values of ICC with culture were 91% and 86%, respectively.

Conclusion: This study tried to improve the technique's sensitivity to facilitate its use in routine laboratory practice. Nonetheless, our results showed no significant improvement over the currently popular Z-N stain, although a comparison between the ICC technique performed on smears and cell block sections showed better results in the latter.

Abstract Image

Abstract Image

Abstract Image

免疫细胞化学在细针吸细胞学检测结核分枝杆菌抗原中的作用。
背景:由于抗酸菌(AFB)的产率低,采用细针抽吸液中的Ziehl-Neelsen (Z-N)染色检测肺外结核(EPTB)具有挑战性。分枝杆菌培养,金标准,需要4-8周。聚合酶链反应的灵敏度为100%,特异性为92.1%,但价格昂贵。结核杆菌产生的分枝杆菌抗原由几种蛋白质和酶组成。从结核分枝杆菌中纯化的蛋白质被称为MPT。MPT64是一种24kd蛋白,未在非结核分枝杆菌中检测到。我们的目的是研究免疫细胞化学(ICC)在细针吸细胞学材料中使用MPT64抗体检测EPTB的作用,并将其与培养和Z-N染色进行比较,因为ICC不是诊断EPTB的常规方法。材料与方法:共纳入134例淋巴结肿大疑似EPTB患者;然而,134例中只有96例适合进行统计分析。进行Papanicolaou, may - gr nwald- giemsa, Z-N染色,ICC和分枝杆菌培养。结果:AFB阳性占16%,培养阳性占22.9%,MPT64阳性占11%。与分枝杆菌培养相比,ICC的敏感性和特异性分别为45.4%和99%。ICC与培养有适度的一致性,Kappa值为0.535。体外培养的ICC阳性预测值为91%,阴性预测值为86%。结论:本研究旨在提高该技术的灵敏度,方便其在实验室的日常应用。尽管如此,我们的结果显示,与目前流行的Z-N染色相比,没有显著的改善,尽管在涂片和细胞块切片上进行的ICC技术比较显示,后者的结果更好。
本文章由计算机程序翻译,如有差异,请以英文原文为准。
求助全文
约1分钟内获得全文 求助全文
来源期刊
Journal of Cytology
Journal of Cytology MEDICAL LABORATORY TECHNOLOGY-
CiteScore
1.80
自引率
7.70%
发文量
34
审稿时长
46 weeks
期刊介绍: The Journal of Cytology is the official Quarterly publication of the Indian Academy of Cytologists. It is in the 25th year of publication in the year 2008. The journal covers all aspects of diagnostic cytology, including fine needle aspiration cytology, gynecological and non-gynecological cytology. Articles on ancillary techniques, like cytochemistry, immunocytochemistry, electron microscopy, molecular cytopathology, as applied to cytological material are also welcome. The journal gives preference to clinically oriented studies over experimental and animal studies. The Journal would publish peer-reviewed original research papers, case reports, systematic reviews, meta-analysis, and debates.
×
引用
GB/T 7714-2015
复制
MLA
复制
APA
复制
导出至
BibTeX EndNote RefMan NoteFirst NoteExpress
×
提示
您的信息不完整,为了账户安全,请先补充。
现在去补充
×
提示
您因"违规操作"
具体请查看互助需知
我知道了
×
提示
确定
请完成安全验证×
copy
已复制链接
快去分享给好友吧!
我知道了
右上角分享
点击右上角分享
0
联系我们:info@booksci.cn Book学术提供免费学术资源搜索服务,方便国内外学者检索中英文文献。致力于提供最便捷和优质的服务体验。 Copyright © 2023 布克学术 All rights reserved.
京ICP备2023020795号-1
ghs 京公网安备 11010802042870号
Book学术文献互助
Book学术文献互助群
群 号:604180095
Book学术官方微信