A Solid Pseudopapillary Neoplasm in a 10-Year-Old Boy Diagnosed by Endoscopic Ultrasound-Fine-Needle Aspiration (EUS-FNA).

IF 1 4区 医学 Q4 MEDICAL LABORATORY TECHNOLOGY
Journal of Cytology Pub Date : 2025-04-01 Epub Date: 2025-05-29 DOI:10.4103/joc.joc_188_23
Buse Aki, Senay Erdogan-Durmus, Ozben Yalcin, Refik Selim Atamanalp
{"title":"A Solid Pseudopapillary Neoplasm in a 10-Year-Old Boy Diagnosed by Endoscopic Ultrasound-Fine-Needle Aspiration (EUS-FNA).","authors":"Buse Aki, Senay Erdogan-Durmus, Ozben Yalcin, Refik Selim Atamanalp","doi":"10.4103/joc.joc_188_23","DOIUrl":null,"url":null,"abstract":"<p><p>The incidences of pancreatic neoplasms are exceedingly rare during childhood and adolescence. Most common among pancreatic neoplasms are solid pseudopapillary neoplasm (SPN) of the pancreas, a rare pancreatic neoplasm with low malignant potential that occurs predominantly in young females. We present a case of SPN with cytomorphological, immunohistochemical, and also histomorphological findings in a 10-year-old boy diagnosed by endoscopic ultrasound-fine-needle aspiration.</p>","PeriodicalId":50217,"journal":{"name":"Journal of Cytology","volume":"42 2","pages":"109-112"},"PeriodicalIF":1.0000,"publicationDate":"2025-04-01","publicationTypes":"Journal Article","fieldsOfStudy":null,"isOpenAccess":false,"openAccessPdf":"https://www.ncbi.nlm.nih.gov/pmc/articles/PMC12165616/pdf/","citationCount":"0","resultStr":null,"platform":"Semanticscholar","paperid":null,"PeriodicalName":"Journal of Cytology","FirstCategoryId":"3","ListUrlMain":"https://doi.org/10.4103/joc.joc_188_23","RegionNum":4,"RegionCategory":"医学","ArticlePicture":[],"TitleCN":null,"AbstractTextCN":null,"PMCID":null,"EPubDate":"2025/5/29 0:00:00","PubModel":"Epub","JCR":"Q4","JCRName":"MEDICAL LABORATORY TECHNOLOGY","Score":null,"Total":0}
引用次数: 0

Abstract

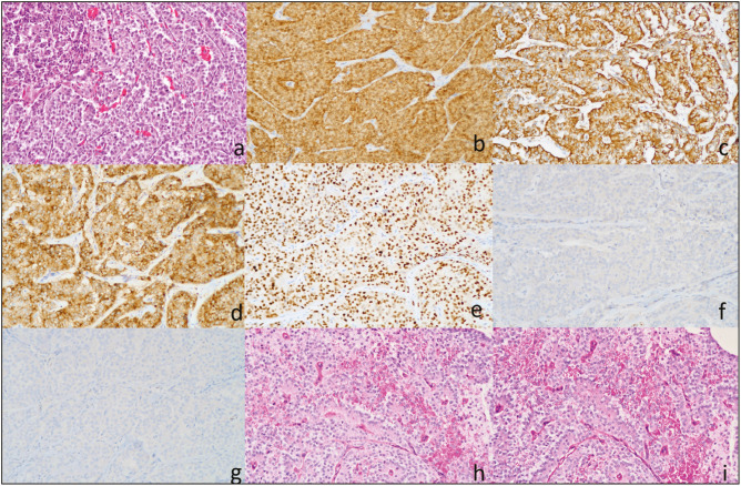
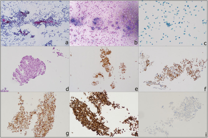
The incidences of pancreatic neoplasms are exceedingly rare during childhood and adolescence. Most common among pancreatic neoplasms are solid pseudopapillary neoplasm (SPN) of the pancreas, a rare pancreatic neoplasm with low malignant potential that occurs predominantly in young females. We present a case of SPN with cytomorphological, immunohistochemical, and also histomorphological findings in a 10-year-old boy diagnosed by endoscopic ultrasound-fine-needle aspiration.

Abstract Image

Abstract Image

10岁男童经超声细针穿刺(EUS-FNA)诊断为实性假乳头状肿瘤。
胰腺肿瘤的发病率在儿童和青少年是非常罕见的。胰腺肿瘤中最常见的是胰腺的实性假乳头状肿瘤(SPN),这是一种罕见的低恶性潜能胰腺肿瘤,主要发生在年轻女性中。我们报告了一个10岁男孩的SPN病例,其细胞形态学,免疫组织化学和组织形态学的发现是通过内窥镜超声细针穿刺诊断的。
本文章由计算机程序翻译,如有差异,请以英文原文为准。
求助全文
约1分钟内获得全文 求助全文
来源期刊
Journal of Cytology
Journal of Cytology MEDICAL LABORATORY TECHNOLOGY-
CiteScore
1.80
自引率
7.70%
发文量
34
审稿时长
46 weeks
期刊介绍: The Journal of Cytology is the official Quarterly publication of the Indian Academy of Cytologists. It is in the 25th year of publication in the year 2008. The journal covers all aspects of diagnostic cytology, including fine needle aspiration cytology, gynecological and non-gynecological cytology. Articles on ancillary techniques, like cytochemistry, immunocytochemistry, electron microscopy, molecular cytopathology, as applied to cytological material are also welcome. The journal gives preference to clinically oriented studies over experimental and animal studies. The Journal would publish peer-reviewed original research papers, case reports, systematic reviews, meta-analysis, and debates.
×
引用
GB/T 7714-2015
复制
MLA
复制
APA
复制
导出至
BibTeX EndNote RefMan NoteFirst NoteExpress
×
提示
您的信息不完整,为了账户安全,请先补充。
现在去补充
×
提示
您因"违规操作"
具体请查看互助需知
我知道了
×
提示
确定
请完成安全验证×
copy
已复制链接
快去分享给好友吧!
我知道了
右上角分享
点击右上角分享
0
联系我们:info@booksci.cn Book学术提供免费学术资源搜索服务,方便国内外学者检索中英文文献。致力于提供最便捷和优质的服务体验。 Copyright © 2023 布克学术 All rights reserved.
京ICP备2023020795号-1
ghs 京公网安备 11010802042870号
Book学术文献互助
Book学术文献互助群
群 号:604180095
Book学术官方微信