A Case of Cutaneous Leishmaniasis: An Emphasis on Scrape Cytology as a Diagnostic Modality.

IF 1 4区 医学 Q4 MEDICAL LABORATORY TECHNOLOGY
Journal of Cytology Pub Date : 2025-04-01 Epub Date: 2025-05-29 DOI:10.4103/joc.joc_199_23
Ananya Palanisamy, Debasis Gochhait, Mithraa Devi Sekar, Siddaraju Neeliah
{"title":"A Case of Cutaneous Leishmaniasis: An Emphasis on Scrape Cytology as a Diagnostic Modality.","authors":"Ananya Palanisamy, Debasis Gochhait, Mithraa Devi Sekar, Siddaraju Neeliah","doi":"10.4103/joc.joc_199_23","DOIUrl":null,"url":null,"abstract":"<p><p>Leishmaniasis is an endemic health issue in tropical and subtropical countries and is a protozoal disease caused by leishmania species. The most common clinical type of leishmaniasis is cutaneous leishmaniasis (CL), and its diagnosis requires confirmation by laboratory tests since treatment for the condition necessitates long-term medication and poses a risk of harmful drug exposure. In developing nations, advanced diagnostic tools like molecular procedures and culture are not available in all centers. The conventional scraping procedure stained by Giemsa is the most preferred diagnostic tool used extensively. This case report highlights the importance of scrape cytology in the diagnosis of CL.</p>","PeriodicalId":50217,"journal":{"name":"Journal of Cytology","volume":"42 2","pages":"101-103"},"PeriodicalIF":1.0000,"publicationDate":"2025-04-01","publicationTypes":"Journal Article","fieldsOfStudy":null,"isOpenAccess":false,"openAccessPdf":"https://www.ncbi.nlm.nih.gov/pmc/articles/PMC12165617/pdf/","citationCount":"0","resultStr":null,"platform":"Semanticscholar","paperid":null,"PeriodicalName":"Journal of Cytology","FirstCategoryId":"3","ListUrlMain":"https://doi.org/10.4103/joc.joc_199_23","RegionNum":4,"RegionCategory":"医学","ArticlePicture":[],"TitleCN":null,"AbstractTextCN":null,"PMCID":null,"EPubDate":"2025/5/29 0:00:00","PubModel":"Epub","JCR":"Q4","JCRName":"MEDICAL LABORATORY TECHNOLOGY","Score":null,"Total":0}
引用次数: 0

Abstract

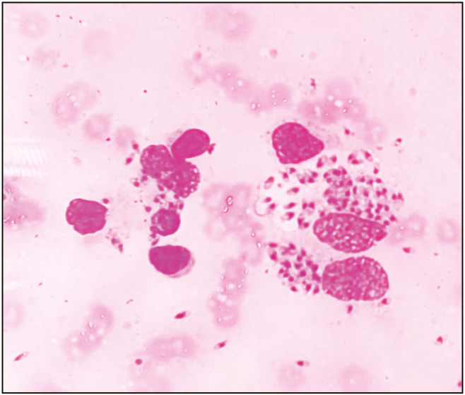
Leishmaniasis is an endemic health issue in tropical and subtropical countries and is a protozoal disease caused by leishmania species. The most common clinical type of leishmaniasis is cutaneous leishmaniasis (CL), and its diagnosis requires confirmation by laboratory tests since treatment for the condition necessitates long-term medication and poses a risk of harmful drug exposure. In developing nations, advanced diagnostic tools like molecular procedures and culture are not available in all centers. The conventional scraping procedure stained by Giemsa is the most preferred diagnostic tool used extensively. This case report highlights the importance of scrape cytology in the diagnosis of CL.

Abstract Image

Abstract Image

皮肤利什曼病1例:强调刮擦细胞学作为诊断方法。
利什曼病是热带和亚热带国家的一种地方性卫生问题,是一种由利什曼原虫引起的原虫病。利什曼病最常见的临床类型是皮肤利什曼病(皮肤利什曼病),其诊断需要通过实验室检查确认,因为治疗该病需要长期用药,并有接触有害药物的风险。在发展中国家,先进的诊断工具,如分子程序和培养,并不是在所有的中心都可用。常规吉姆氏染色刮痧法是广泛使用的首选诊断工具。本病例报告强调刮刮细胞学在诊断CL中的重要性。
本文章由计算机程序翻译,如有差异,请以英文原文为准。
求助全文
约1分钟内获得全文 求助全文
来源期刊
Journal of Cytology
Journal of Cytology MEDICAL LABORATORY TECHNOLOGY-
CiteScore
1.80
自引率
7.70%
发文量
34
审稿时长
46 weeks
期刊介绍: The Journal of Cytology is the official Quarterly publication of the Indian Academy of Cytologists. It is in the 25th year of publication in the year 2008. The journal covers all aspects of diagnostic cytology, including fine needle aspiration cytology, gynecological and non-gynecological cytology. Articles on ancillary techniques, like cytochemistry, immunocytochemistry, electron microscopy, molecular cytopathology, as applied to cytological material are also welcome. The journal gives preference to clinically oriented studies over experimental and animal studies. The Journal would publish peer-reviewed original research papers, case reports, systematic reviews, meta-analysis, and debates.
×
引用
GB/T 7714-2015
复制
MLA
复制
APA
复制
导出至
BibTeX EndNote RefMan NoteFirst NoteExpress
×
提示
您的信息不完整,为了账户安全,请先补充。
现在去补充
×
提示
您因"违规操作"
具体请查看互助需知
我知道了
×
提示
确定
请完成安全验证×
copy
已复制链接
快去分享给好友吧!
我知道了
右上角分享
点击右上角分享
0
联系我们:info@booksci.cn Book学术提供免费学术资源搜索服务,方便国内外学者检索中英文文献。致力于提供最便捷和优质的服务体验。 Copyright © 2023 布克学术 All rights reserved.
京ICP备2023020795号-1
ghs 京公网安备 11010802042870号
Book学术文献互助
Book学术文献互助群
群 号:604180095
Book学术官方微信