The Pediatric Tri-POCUS Approach: Conceptual Review and Case Series.

IF 0.8 Q4 RADIOLOGY, NUCLEAR MEDICINE & MEDICAL IMAGING
Journal of Medical Ultrasound Pub Date : 2025-05-23 eCollection Date: 2025-04-01 DOI:10.4103/jmu.JMU-D-24-00002
Daniel Palanca Arias, Marcos Clavero Adell, Victoria Estabén Boldova, José Enrique Alonso Formento, Ariada Ayerza Casas, Almudena Alonso Ojembarrena
{"title":"The Pediatric Tri-POCUS Approach: Conceptual Review and Case Series.","authors":"Daniel Palanca Arias, Marcos Clavero Adell, Victoria Estabén Boldova, José Enrique Alonso Formento, Ariada Ayerza Casas, Almudena Alonso Ojembarrena","doi":"10.4103/jmu.JMU-D-24-00002","DOIUrl":null,"url":null,"abstract":"<p><p>Effective fluid management presents a significant challenge for pediatric intensivists. Enhanced ultrasound data that predict adverse outcomes, such as edema and venous congestion, can provide important information about optimal fluid management. The integration of bedside multiorgan ultrasound protocols (Multi-POCUS) mitigates the limitations of individual scoring systems, enabling more accurate fluid monitoring and management. The Tri-POCUS approach, described initially in adult patients, combines lung ultrasound, focused cardiac ultrasound, and venous excess ultrasound, and its application in the pediatric population is proposed. This study examines the Tri-POCUS approach from a pediatric perspective: we applied it to a cohort of critically ill pediatric patients with venous congestion admitted to a pediatric intensive care unit. Four cases are presented to demonstrate the bedside utility of the Tri-POCUS approach in critically ill children with the goal of monitoring venous congestion.</p>","PeriodicalId":45466,"journal":{"name":"Journal of Medical Ultrasound","volume":"33 2","pages":"154-161"},"PeriodicalIF":0.8000,"publicationDate":"2025-05-23","publicationTypes":"Journal Article","fieldsOfStudy":null,"isOpenAccess":false,"openAccessPdf":"https://www.ncbi.nlm.nih.gov/pmc/articles/PMC12161702/pdf/","citationCount":"0","resultStr":null,"platform":"Semanticscholar","paperid":null,"PeriodicalName":"Journal of Medical Ultrasound","FirstCategoryId":"1085","ListUrlMain":"https://doi.org/10.4103/jmu.JMU-D-24-00002","RegionNum":0,"RegionCategory":null,"ArticlePicture":[],"TitleCN":null,"AbstractTextCN":null,"PMCID":null,"EPubDate":"2025/4/1 0:00:00","PubModel":"eCollection","JCR":"Q4","JCRName":"RADIOLOGY, NUCLEAR MEDICINE & MEDICAL IMAGING","Score":null,"Total":0}
引用次数: 0

Abstract

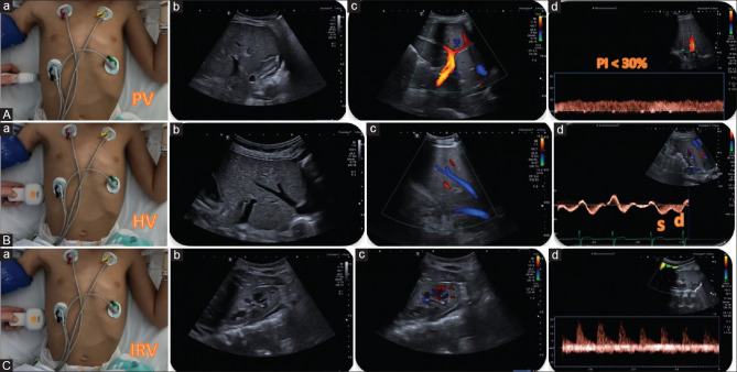
Effective fluid management presents a significant challenge for pediatric intensivists. Enhanced ultrasound data that predict adverse outcomes, such as edema and venous congestion, can provide important information about optimal fluid management. The integration of bedside multiorgan ultrasound protocols (Multi-POCUS) mitigates the limitations of individual scoring systems, enabling more accurate fluid monitoring and management. The Tri-POCUS approach, described initially in adult patients, combines lung ultrasound, focused cardiac ultrasound, and venous excess ultrasound, and its application in the pediatric population is proposed. This study examines the Tri-POCUS approach from a pediatric perspective: we applied it to a cohort of critically ill pediatric patients with venous congestion admitted to a pediatric intensive care unit. Four cases are presented to demonstrate the bedside utility of the Tri-POCUS approach in critically ill children with the goal of monitoring venous congestion.

Abstract Image

Abstract Image

Abstract Image

儿科三pocus方法:概念回顾和病例系列。
有效的流体管理是儿科重症医师面临的一个重大挑战。增强的超声数据预测不良后果,如水肿和静脉充血,可以提供最佳液体管理的重要信息。床边多器官超声协议(Multi-POCUS)的集成减轻了单个评分系统的局限性,实现了更准确的流体监测和管理。Tri-POCUS方法最初是在成人患者中描述的,它结合了肺超声、聚焦心脏超声和静脉超声,并提出了它在儿科人群中的应用。本研究从儿科角度考察了Tri-POCUS方法:我们将其应用于儿科重症监护病房的静脉充血危重儿科患者队列。四个案例提出,以证明床边效用的三pocus方法在重症儿童与监测静脉充血的目标。
本文章由计算机程序翻译,如有差异,请以英文原文为准。
求助全文
约1分钟内获得全文 求助全文
来源期刊
Journal of Medical Ultrasound
Journal of Medical Ultrasound RADIOLOGY, NUCLEAR MEDICINE & MEDICAL IMAGING-
CiteScore
1.30
自引率
9.10%
发文量
90
审稿时长
10 weeks
期刊介绍: The Journal of Medical Ultrasound is the peer-reviewed publication of the Asian Federation of Societies for Ultrasound in Medicine and Biology, and the Chinese Taipei Society of Ultrasound in Medicine. Its aim is to promote clinical and scientific research in ultrasonography, and to serve as a channel of communication among sonologists, sonographers, and medical ultrasound physicians in the Asia-Pacific region and wider international community. The Journal invites original contributions relating to the clinical and laboratory investigations and applications of ultrasonography.
×
引用
GB/T 7714-2015
复制
MLA
复制
APA
复制
导出至
BibTeX EndNote RefMan NoteFirst NoteExpress
×
提示
您的信息不完整,为了账户安全,请先补充。
现在去补充
×
提示
您因"违规操作"
具体请查看互助需知
我知道了
×
提示
确定
请完成安全验证×
copy
已复制链接
快去分享给好友吧!
我知道了
右上角分享
点击右上角分享
0
联系我们:info@booksci.cn Book学术提供免费学术资源搜索服务,方便国内外学者检索中英文文献。致力于提供最便捷和优质的服务体验。 Copyright © 2023 布克学术 All rights reserved.
京ICP备2023020795号-1
ghs 京公网安备 11010802042870号
Book学术文献互助
Book学术文献互助群
群 号:604180095
Book学术官方微信