Intravaginal Testicular Torsion with Ureterocele: A Rare Case Report.

IF 0.8 Q4 RADIOLOGY, NUCLEAR MEDICINE & MEDICAL IMAGING
Journal of Medical Ultrasound Pub Date : 2025-05-23 eCollection Date: 2025-04-01 DOI:10.4103/jmu.jmu_19_23
Adnan Ilyas, Suresh Vasant Phatak, Avinash Parshuram Dhok, Swaragandha Shivaji Jadhav
{"title":"Intravaginal Testicular Torsion with Ureterocele: A Rare Case Report.","authors":"Adnan Ilyas, Suresh Vasant Phatak, Avinash Parshuram Dhok, Swaragandha Shivaji Jadhav","doi":"10.4103/jmu.jmu_19_23","DOIUrl":null,"url":null,"abstract":"<p><p>Testicular torsion is an emergency clinical situation. It is rarely seen associated with ureterocele. We presented a case report where a 15-year-old adolescent boy presented with severe testicular and vague abdominal pain was found on imaging to have testicular torsion and ureterocele. Ultrasonography Doppler and computed tomography imaging are being described.</p>","PeriodicalId":45466,"journal":{"name":"Journal of Medical Ultrasound","volume":"33 2","pages":"168-170"},"PeriodicalIF":0.8000,"publicationDate":"2025-05-23","publicationTypes":"Journal Article","fieldsOfStudy":null,"isOpenAccess":false,"openAccessPdf":"https://www.ncbi.nlm.nih.gov/pmc/articles/PMC12161694/pdf/","citationCount":"0","resultStr":null,"platform":"Semanticscholar","paperid":null,"PeriodicalName":"Journal of Medical Ultrasound","FirstCategoryId":"1085","ListUrlMain":"https://doi.org/10.4103/jmu.jmu_19_23","RegionNum":0,"RegionCategory":null,"ArticlePicture":[],"TitleCN":null,"AbstractTextCN":null,"PMCID":null,"EPubDate":"2025/4/1 0:00:00","PubModel":"eCollection","JCR":"Q4","JCRName":"RADIOLOGY, NUCLEAR MEDICINE & MEDICAL IMAGING","Score":null,"Total":0}
引用次数: 0

Abstract

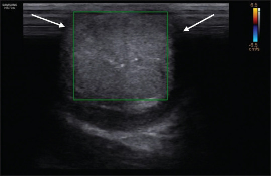
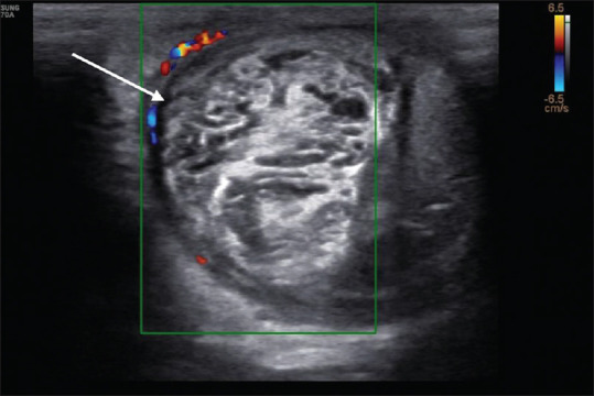
Testicular torsion is an emergency clinical situation. It is rarely seen associated with ureterocele. We presented a case report where a 15-year-old adolescent boy presented with severe testicular and vague abdominal pain was found on imaging to have testicular torsion and ureterocele. Ultrasonography Doppler and computed tomography imaging are being described.

Abstract Image

Abstract Image

Abstract Image

阴道内睾丸扭转伴输尿管膨出1例报告。
睾丸扭转是一种紧急的临床情况。它很少与输尿管囊肿合并。我们提出一个病例报告,一个15岁的青春期男孩表现为严重的睾丸和模糊腹痛,在影像学上发现有睾丸扭转和输尿管膨出。介绍了超声多普勒和计算机断层成像。
本文章由计算机程序翻译,如有差异,请以英文原文为准。
求助全文
约1分钟内获得全文 求助全文
来源期刊
Journal of Medical Ultrasound
Journal of Medical Ultrasound RADIOLOGY, NUCLEAR MEDICINE & MEDICAL IMAGING-
CiteScore
1.30
自引率
9.10%
发文量
90
审稿时长
10 weeks
期刊介绍: The Journal of Medical Ultrasound is the peer-reviewed publication of the Asian Federation of Societies for Ultrasound in Medicine and Biology, and the Chinese Taipei Society of Ultrasound in Medicine. Its aim is to promote clinical and scientific research in ultrasonography, and to serve as a channel of communication among sonologists, sonographers, and medical ultrasound physicians in the Asia-Pacific region and wider international community. The Journal invites original contributions relating to the clinical and laboratory investigations and applications of ultrasonography.
×
引用
GB/T 7714-2015
复制
MLA
复制
APA
复制
导出至
BibTeX EndNote RefMan NoteFirst NoteExpress
×
提示
您的信息不完整,为了账户安全,请先补充。
现在去补充
×
提示
您因"违规操作"
具体请查看互助需知
我知道了
×
提示
确定
请完成安全验证×
copy
已复制链接
快去分享给好友吧!
我知道了
右上角分享
点击右上角分享
0
联系我们:info@booksci.cn Book学术提供免费学术资源搜索服务,方便国内外学者检索中英文文献。致力于提供最便捷和优质的服务体验。 Copyright © 2023 布克学术 All rights reserved.
京ICP备2023020795号-1
ghs 京公网安备 11010802042870号
Book学术文献互助
Book学术文献互助群
群 号:604180095
Book学术官方微信