Long-Term Follow-Up of Multiple Autotransplantations Combined With Orthodontic Treatment After Traumatic Dental Injury: A Case Report.

IF 0.9 Q4 DENTISTRY, ORAL SURGERY & MEDICINE
Case Reports in Dentistry Pub Date : 2025-06-05 eCollection Date: 2025-01-01 DOI:10.1155/crid/7098948
Johan Willem Booij, Barbara Disconzi, Marco Serafin, Alberto Caprioglio, Dick Barendregt
{"title":"Long-Term Follow-Up of Multiple Autotransplantations Combined With Orthodontic Treatment After Traumatic Dental Injury: A Case Report.","authors":"Johan Willem Booij, Barbara Disconzi, Marco Serafin, Alberto Caprioglio, Dick Barendregt","doi":"10.1155/crid/7098948","DOIUrl":null,"url":null,"abstract":"<p><p>In this case report, we present the treatment of an adult patient who had experienced dental trauma resulting in the loss of one tooth and damage to two others. The patient was referred to our clinic 4 years after the accident, where a comprehensive examination revealed external root resorption and loss of supporting tissue. To address the patient's concerns, we developed an interdisciplinary treatment plan, which included orthodontic treatment to level the curve of Spee, reduce the deep bite, and extrude the affected teeth. After that, we extracted the damaged Teeth 2.1 and 2.2 due to their poor prognosis and replaced them with autotransplantation of Teeth 1.4 and 3.1. Before the procedure, both teeth underwent endodontic treatment, and 6 weeks later, they were built up to aesthetically and functionally replace the lost teeth. Additionally, postautotransplantation orthodontic treatment was conducted to close the donor site space and bring the autotransplanted teeth to an ideal position. The interdisciplinary approach and successful treatment of this case suggest that autotransplantation can be a valid option for restoring compromised teeth, especially in adult patients who require orthodontic treatment. In conclusion, autotransplantation offers multiple benefits, including preserving the natural dentition, avoiding the use of dental implants or prostheses, and achieving excellent aesthetic and functional results. Furthermore, this case underscores the importance of individualized treatment planning and collaboration among dental specialists to achieve optimal outcomes for patients.</p>","PeriodicalId":46841,"journal":{"name":"Case Reports in Dentistry","volume":"2025 ","pages":"7098948"},"PeriodicalIF":0.9000,"publicationDate":"2025-06-05","publicationTypes":"Journal Article","fieldsOfStudy":null,"isOpenAccess":false,"openAccessPdf":"https://www.ncbi.nlm.nih.gov/pmc/articles/PMC12163219/pdf/","citationCount":"0","resultStr":null,"platform":"Semanticscholar","paperid":null,"PeriodicalName":"Case Reports in Dentistry","FirstCategoryId":"1085","ListUrlMain":"https://doi.org/10.1155/crid/7098948","RegionNum":0,"RegionCategory":null,"ArticlePicture":[],"TitleCN":null,"AbstractTextCN":null,"PMCID":null,"EPubDate":"2025/1/1 0:00:00","PubModel":"eCollection","JCR":"Q4","JCRName":"DENTISTRY, ORAL SURGERY & MEDICINE","Score":null,"Total":0}
引用次数: 0

Abstract

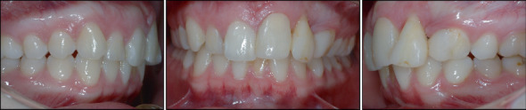
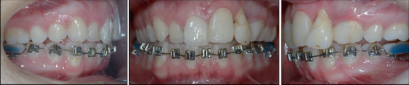
In this case report, we present the treatment of an adult patient who had experienced dental trauma resulting in the loss of one tooth and damage to two others. The patient was referred to our clinic 4 years after the accident, where a comprehensive examination revealed external root resorption and loss of supporting tissue. To address the patient's concerns, we developed an interdisciplinary treatment plan, which included orthodontic treatment to level the curve of Spee, reduce the deep bite, and extrude the affected teeth. After that, we extracted the damaged Teeth 2.1 and 2.2 due to their poor prognosis and replaced them with autotransplantation of Teeth 1.4 and 3.1. Before the procedure, both teeth underwent endodontic treatment, and 6 weeks later, they were built up to aesthetically and functionally replace the lost teeth. Additionally, postautotransplantation orthodontic treatment was conducted to close the donor site space and bring the autotransplanted teeth to an ideal position. The interdisciplinary approach and successful treatment of this case suggest that autotransplantation can be a valid option for restoring compromised teeth, especially in adult patients who require orthodontic treatment. In conclusion, autotransplantation offers multiple benefits, including preserving the natural dentition, avoiding the use of dental implants or prostheses, and achieving excellent aesthetic and functional results. Furthermore, this case underscores the importance of individualized treatment planning and collaboration among dental specialists to achieve optimal outcomes for patients.

Abstract Image

Abstract Image

Abstract Image

外伤性牙损伤后多次自体移植联合正畸治疗的长期随访1例。
在这个病例报告中,我们提出了一个成年患者的治疗,他经历了牙齿创伤,导致一颗牙齿脱落,另外两颗牙齿受损。患者在事故发生4年后被转介到我们的诊所,在那里进行了全面的检查,发现外根吸收和支持组织的损失。为了解决患者的问题,我们制定了一个跨学科的治疗计划,其中包括正畸治疗,以平整Spee曲线,减少深咬,并挤压患牙。之后,由于2.1和2.2牙预后不佳,我们将其拔出,并将1.4和3.1牙进行自体移植。在手术之前,两颗牙齿都进行了牙髓治疗,6周后,它们被重建,以在美观和功能上取代失去的牙齿。自体移植后进行正畸治疗,关闭供区间隙,使自体移植牙达到理想位置。跨学科的方法和成功的治疗表明自体移植可以是修复受损牙齿的有效选择,特别是对于需要正畸治疗的成年患者。综上所述,自体移植具有多种优点,包括保留天然牙列,避免使用牙种植体或修复体,并获得良好的美学和功能效果。此外,该病例强调了个性化治疗计划和牙科专家之间合作的重要性,以实现患者的最佳结果。
本文章由计算机程序翻译,如有差异,请以英文原文为准。
求助全文
约1分钟内获得全文 求助全文
来源期刊
Case Reports in Dentistry
Case Reports in Dentistry DENTISTRY, ORAL SURGERY & MEDICINE-
CiteScore
1.40
自引率
12.50%
发文量
107
审稿时长
14 weeks
期刊介绍: Case Reports in Dentistry is a peer-reviewed, Open Access journal that publishes case reports and case series in all areas of dentistry, including periodontal diseases, dental implants, oral pathology, as well as oral and maxillofacial surgery.
×
引用
GB/T 7714-2015
复制
MLA
复制
APA
复制
导出至
BibTeX EndNote RefMan NoteFirst NoteExpress
×
提示
您的信息不完整,为了账户安全,请先补充。
现在去补充
×
提示
您因"违规操作"
具体请查看互助需知
我知道了
×
提示
确定
请完成安全验证×
copy
已复制链接
快去分享给好友吧!
我知道了
右上角分享
点击右上角分享
0
联系我们:info@booksci.cn Book学术提供免费学术资源搜索服务,方便国内外学者检索中英文文献。致力于提供最便捷和优质的服务体验。 Copyright © 2023 布克学术 All rights reserved.
京ICP备2023020795号-1
ghs 京公网安备 11010802042870号
Book学术文献互助
Book学术文献互助群
群 号:604180095
Book学术官方微信