Clinical features and outcomes in pediatric patients with cortical laminar necrosis: a single-center retrospective study.

IF 3.1 3区 医学 Q1 PEDIATRICS
Zhanwei Zhang, Zou Pan, Lifen Yang, Fang He, Fangyun Liu, Jing Peng
{"title":"Clinical features and outcomes in pediatric patients with cortical laminar necrosis: a single-center retrospective study.","authors":"Zhanwei Zhang, Zou Pan, Lifen Yang, Fang He, Fangyun Liu, Jing Peng","doi":"10.1186/s13052-025-02038-z","DOIUrl":null,"url":null,"abstract":"<p><strong>Background: </strong>Cortical laminar necrosis (CLN) is a selective cortical necrosis primarily involving layer 3 of the cortex. Its causes, clinical features, and outcomes in pediatric patients remain unclear due to limited cases.</p><p><strong>Methods: </strong>Pediatric CLN patients from Xiangya Hospital from January 2014 to December 2024 were enrolled. Clinical data, brain magnetic resonance imaging (MRI), and Modified Rankin Scale (mRS) for neurological outcomes were analyzed.</p><p><strong>Results: </strong>Among 59 enrolled patients, causes included hypoxic-ischemic encephalopathy (HIE), hereditary and metabolic, infectious, vascular, and trauma. Seizures and consciousness changes were common symptoms. Infectious and hereditary and metabolic causes were linked to status epilepticus (P < 0.001), while vascular causes were associated with hemiplegia (P < 0.001). HIE patients had poorer prognosis (P = 0.038). MRI showed earlier hyperintensity on diffusion weighted imaging (DWI) than enhancement in T1 contrasted sequence, as well as T1 sequence and fluid attenuated inversion recovery (FLAIR). Bilateral involvement was seen in all HIE cases, while hereditary and metabolic causes often showed unilateral involvement (P < 0.001). Frontal lobe involvement was common in vascular and trauma cases (P = 0.017), and all patients with HIE exhibited involvement in the parietal and occipital lobes. While infectious cases frequently involved the insular and temporal lobes, most patients exhibited brain atrophy/encephalomalacia at follow-up. Three patients showed new CLN and two patients exhibited persistent CLN during MRI follow-up.</p><p><strong>Conclusion: </strong>HIE, hereditary/metabolic, infectious, vascular, and trauma are the main causes of pediatric CLN, with distinct clinical features and outcomes.</p>","PeriodicalId":14511,"journal":{"name":"Italian Journal of Pediatrics","volume":"51 1","pages":"188"},"PeriodicalIF":3.1000,"publicationDate":"2025-06-15","publicationTypes":"Journal Article","fieldsOfStudy":null,"isOpenAccess":false,"openAccessPdf":"https://www.ncbi.nlm.nih.gov/pmc/articles/PMC12168347/pdf/","citationCount":"0","resultStr":null,"platform":"Semanticscholar","paperid":null,"PeriodicalName":"Italian Journal of Pediatrics","FirstCategoryId":"3","ListUrlMain":"https://doi.org/10.1186/s13052-025-02038-z","RegionNum":3,"RegionCategory":"医学","ArticlePicture":[],"TitleCN":null,"AbstractTextCN":null,"PMCID":null,"EPubDate":"","PubModel":"","JCR":"Q1","JCRName":"PEDIATRICS","Score":null,"Total":0}
引用次数: 0

Abstract

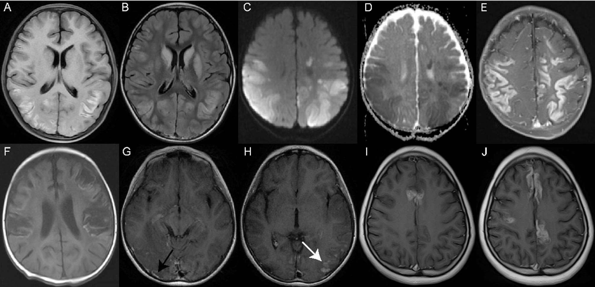
Background: Cortical laminar necrosis (CLN) is a selective cortical necrosis primarily involving layer 3 of the cortex. Its causes, clinical features, and outcomes in pediatric patients remain unclear due to limited cases.

Methods: Pediatric CLN patients from Xiangya Hospital from January 2014 to December 2024 were enrolled. Clinical data, brain magnetic resonance imaging (MRI), and Modified Rankin Scale (mRS) for neurological outcomes were analyzed.

Results: Among 59 enrolled patients, causes included hypoxic-ischemic encephalopathy (HIE), hereditary and metabolic, infectious, vascular, and trauma. Seizures and consciousness changes were common symptoms. Infectious and hereditary and metabolic causes were linked to status epilepticus (P < 0.001), while vascular causes were associated with hemiplegia (P < 0.001). HIE patients had poorer prognosis (P = 0.038). MRI showed earlier hyperintensity on diffusion weighted imaging (DWI) than enhancement in T1 contrasted sequence, as well as T1 sequence and fluid attenuated inversion recovery (FLAIR). Bilateral involvement was seen in all HIE cases, while hereditary and metabolic causes often showed unilateral involvement (P < 0.001). Frontal lobe involvement was common in vascular and trauma cases (P = 0.017), and all patients with HIE exhibited involvement in the parietal and occipital lobes. While infectious cases frequently involved the insular and temporal lobes, most patients exhibited brain atrophy/encephalomalacia at follow-up. Three patients showed new CLN and two patients exhibited persistent CLN during MRI follow-up.

Conclusion: HIE, hereditary/metabolic, infectious, vascular, and trauma are the main causes of pediatric CLN, with distinct clinical features and outcomes.

Abstract Image

皮质层状坏死患儿的临床特征和预后:一项单中心回顾性研究。
背景:皮质层状坏死(CLN)是一种主要累及皮质第3层的选择性皮质坏死。由于病例有限,儿科患者的病因、临床特征和预后尚不清楚。方法:选取湘雅医院2014年1月至2024年12月收治的小儿CLN患者。分析临床资料、脑磁共振成像(MRI)和改良兰金量表(mRS)对神经系统预后的影响。结果:59例入组患者的病因包括缺氧缺血性脑病(HIE)、遗传性和代谢性、感染性、血管性和创伤性。癫痫发作和意识改变是常见症状。结论:HIE、遗传/代谢、感染、血管和创伤是儿童CLN的主要原因,具有不同的临床特征和结局。
本文章由计算机程序翻译,如有差异,请以英文原文为准。
求助全文
约1分钟内获得全文 求助全文
来源期刊
CiteScore
6.10
自引率
13.90%
发文量
192
审稿时长
6-12 weeks
期刊介绍: Italian Journal of Pediatrics is an open access peer-reviewed journal that includes all aspects of pediatric medicine. The journal also covers health service and public health research that addresses primary care issues. The journal provides a high-quality forum for pediatricians and other healthcare professionals to report and discuss up-to-the-minute research and expert reviews in the field of pediatric medicine. The journal will continue to develop the range of articles published to enable this invaluable resource to stay at the forefront of the field. Italian Journal of Pediatrics, which commenced in 1975 as Rivista Italiana di Pediatria, provides a high-quality forum for pediatricians and other healthcare professionals to report and discuss up-to-the-minute research and expert reviews in the field of pediatric medicine. The journal will continue to develop the range of articles published to enable this invaluable resource to stay at the forefront of the field.
×
引用
GB/T 7714-2015
复制
MLA
复制
APA
复制
导出至
BibTeX EndNote RefMan NoteFirst NoteExpress
×
提示
您的信息不完整,为了账户安全,请先补充。
现在去补充
×
提示
您因"违规操作"
具体请查看互助需知
我知道了
×
提示
确定
请完成安全验证×
copy
已复制链接
快去分享给好友吧!
我知道了
右上角分享
点击右上角分享
0
联系我们:info@booksci.cn Book学术提供免费学术资源搜索服务,方便国内外学者检索中英文文献。致力于提供最便捷和优质的服务体验。 Copyright © 2023 布克学术 All rights reserved.
京ICP备2023020795号-1
ghs 京公网安备 11010802042870号
Book学术文献互助
Book学术文献互助群
群 号:604180095
Book学术官方微信