Immune-Related Fulminant Myocarditis Revealed Using Myocardial Histopathology at Autopsy in the Treatment of Advanced Renal Cell Carcinoma: A Case Report.

IF 0.7 Q4 ONCOLOGY
Case Reports in Oncology Pub Date : 2025-05-07 eCollection Date: 2025-01-01 DOI:10.1159/000546288
Yuka Hayashi, Yoshihide Kawasaki, Hiromichi Katayama, Rie Sakagami, Takuro Goto, Tomonori Sato, Yohei Satake, Takuma Sato, Naoki Kawamorita, Shinichi Yamashita, Hiroyuki Takahama, Satoko Sato, Akihiro Ito
{"title":"Immune-Related Fulminant Myocarditis Revealed Using Myocardial Histopathology at Autopsy in the Treatment of Advanced Renal Cell Carcinoma: A Case Report.","authors":"Yuka Hayashi, Yoshihide Kawasaki, Hiromichi Katayama, Rie Sakagami, Takuro Goto, Tomonori Sato, Yohei Satake, Takuma Sato, Naoki Kawamorita, Shinichi Yamashita, Hiroyuki Takahama, Satoko Sato, Akihiro Ito","doi":"10.1159/000546288","DOIUrl":null,"url":null,"abstract":"<p><strong>Introduction: </strong>Although immune checkpoint inhibitor-associated myocarditis is relatively rare, it has the highest mortality rate among all immune-related adverse events, at 30-50%.</p><p><strong>Case presentation: </strong>We encountered a case of advanced renal cancer in which immune checkpoint inhibitor-associated myocarditis was confirmed on autopsy. A 78-year-old man was diagnosed with a left renal tumor secondary to hematuria. A tumor biopsy was performed, and the tumor was diagnosed as cT4N0M1 clear cell renal carcinoma, which was classified as poor risk by the International mRCC Database Consortium. Combination therapy with pembrolizumab and axitinib was initiated. One month later, the patient developed anorexia, dizziness, and fatigue, which were judged to be adverse events due to systemic therapy, and the patient was admitted to the hospital urgently. After admission, the patient experienced a sudden drop in blood pressure and loss of consciousness and was referred to a cardiologist for treatment. Blood tests showed elevated brain-type natriuretic peptide levels, but echocardiography showed good cardiac function. However, soon thereafter, the patient developed tachycardia, and echocardiography revealed a significant decline in systolic function, leading to the diagnosis of immune checkpoint inhibitor-associated myocarditis. Despite intensive care in the cardiac high-care unit and steroid administration, the patient died. An autopsy revealed necrotic changes in the myocardium, loss of myocardial cells, and severe lymphocyte infiltration, leading to a diagnosis of inhibitor-associated myocarditis.</p><p><strong>Conclusion: </strong>Delay in the initiation of treatment is considered a risk factor for poor prognosis, and the administration of high-dose steroids within 24 h of onset contributes to a better outcome. Herein, we discuss the pathology, diagnosis, and treatment of immune checkpoint inhibitor-associated myocarditis.</p>","PeriodicalId":9625,"journal":{"name":"Case Reports in Oncology","volume":"18 1","pages":"738-743"},"PeriodicalIF":0.7000,"publicationDate":"2025-05-07","publicationTypes":"Journal Article","fieldsOfStudy":null,"isOpenAccess":false,"openAccessPdf":"https://www.ncbi.nlm.nih.gov/pmc/articles/PMC12165635/pdf/","citationCount":"0","resultStr":null,"platform":"Semanticscholar","paperid":null,"PeriodicalName":"Case Reports in Oncology","FirstCategoryId":"1085","ListUrlMain":"https://doi.org/10.1159/000546288","RegionNum":0,"RegionCategory":null,"ArticlePicture":[],"TitleCN":null,"AbstractTextCN":null,"PMCID":null,"EPubDate":"2025/1/1 0:00:00","PubModel":"eCollection","JCR":"Q4","JCRName":"ONCOLOGY","Score":null,"Total":0}
引用次数: 0

Abstract

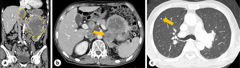
Introduction: Although immune checkpoint inhibitor-associated myocarditis is relatively rare, it has the highest mortality rate among all immune-related adverse events, at 30-50%.

Case presentation: We encountered a case of advanced renal cancer in which immune checkpoint inhibitor-associated myocarditis was confirmed on autopsy. A 78-year-old man was diagnosed with a left renal tumor secondary to hematuria. A tumor biopsy was performed, and the tumor was diagnosed as cT4N0M1 clear cell renal carcinoma, which was classified as poor risk by the International mRCC Database Consortium. Combination therapy with pembrolizumab and axitinib was initiated. One month later, the patient developed anorexia, dizziness, and fatigue, which were judged to be adverse events due to systemic therapy, and the patient was admitted to the hospital urgently. After admission, the patient experienced a sudden drop in blood pressure and loss of consciousness and was referred to a cardiologist for treatment. Blood tests showed elevated brain-type natriuretic peptide levels, but echocardiography showed good cardiac function. However, soon thereafter, the patient developed tachycardia, and echocardiography revealed a significant decline in systolic function, leading to the diagnosis of immune checkpoint inhibitor-associated myocarditis. Despite intensive care in the cardiac high-care unit and steroid administration, the patient died. An autopsy revealed necrotic changes in the myocardium, loss of myocardial cells, and severe lymphocyte infiltration, leading to a diagnosis of inhibitor-associated myocarditis.

Conclusion: Delay in the initiation of treatment is considered a risk factor for poor prognosis, and the administration of high-dose steroids within 24 h of onset contributes to a better outcome. Herein, we discuss the pathology, diagnosis, and treatment of immune checkpoint inhibitor-associated myocarditis.

Abstract Image

Abstract Image

Abstract Image

免疫相关性暴发性心肌炎在晚期肾细胞癌治疗中尸检心肌组织病理学显示:1例报告。
虽然免疫检查点抑制剂相关性心肌炎相对罕见,但在所有免疫相关不良事件中,其死亡率最高,为30-50%。病例介绍:我们遇到了一个晚期肾癌的病例,其中免疫检查点抑制剂相关的心肌炎在尸检中被证实。一位78岁的男性被诊断为继发于血尿的左肾肿瘤。行肿瘤活检,诊断为cT4N0M1透明细胞肾癌,被国际mRCC数据库联盟列为低风险。开始了派姆单抗和阿西替尼的联合治疗。1个月后,患者出现厌食、头晕、乏力,经全身治疗判定为不良事件,患者紧急入院。入院后,患者血压突然下降,意识丧失,被转介到心脏病专家治疗。血液检查显示脑型利钠肽水平升高,但超声心动图显示心功能良好。然而,此后不久,患者出现心动过速,超声心动图显示收缩功能明显下降,导致诊断为免疫检查点抑制剂相关心肌炎。尽管在心脏高监护病房进行了重症监护和类固醇治疗,患者还是死亡了。尸检显示心肌坏死改变,心肌细胞丢失,严重淋巴细胞浸润,导致诊断为抑制剂相关性心肌炎。结论:延迟开始治疗被认为是预后不良的危险因素,在发病24小时内给予大剂量类固醇有助于改善预后。在此,我们讨论免疫检查点抑制剂相关心肌炎的病理、诊断和治疗。
本文章由计算机程序翻译,如有差异,请以英文原文为准。
求助全文
约1分钟内获得全文 求助全文
来源期刊
CiteScore
1.40
自引率
12.50%
发文量
151
审稿时长
7 weeks
×
引用
GB/T 7714-2015
复制
MLA
复制
APA
复制
导出至
BibTeX EndNote RefMan NoteFirst NoteExpress
×
提示
您的信息不完整,为了账户安全,请先补充。
现在去补充
×
提示
您因"违规操作"
具体请查看互助需知
我知道了
×
提示
确定
请完成安全验证×
copy
已复制链接
快去分享给好友吧!
我知道了
右上角分享
点击右上角分享
0
联系我们:info@booksci.cn Book学术提供免费学术资源搜索服务,方便国内外学者检索中英文文献。致力于提供最便捷和优质的服务体验。 Copyright © 2023 布克学术 All rights reserved.
京ICP备2023020795号-1
ghs 京公网安备 11010802042870号
Book学术文献互助
Book学术文献互助群
群 号:604180095
Book学术官方微信