Paraspinal myosteatosis is associated with COPD: a cross-sectional MRI analysis from the population-based KORA cohort.

IF 5.8 2区 医学 Q1 Medicine
Thierno D Diallo, Stefan Karrasch, Matthias Jung, Annette Peters, Roberto Lorbeer, Christopher L Schlett, Ricarda von Krüchten, Fabian Bamberg, Susanne Rospleszcz, Lena S Kiefer
{"title":"Paraspinal myosteatosis is associated with COPD: a cross-sectional MRI analysis from the population-based KORA cohort.","authors":"Thierno D Diallo, Stefan Karrasch, Matthias Jung, Annette Peters, Roberto Lorbeer, Christopher L Schlett, Ricarda von Krüchten, Fabian Bamberg, Susanne Rospleszcz, Lena S Kiefer","doi":"10.1186/s12931-025-03297-4","DOIUrl":null,"url":null,"abstract":"<p><strong>Background: </strong>Muscle dysfunction in chronic obstructive pulmonary disease (COPD) represents a significant extrapulmonary manifestation. Yet, the role of muscle fat infiltration (myosteatosis) in paraspinal muscles remains incompletely characterized. This study investigated whether paraspinal myosteatosis and its distribution patterns are associated with COPD and pulmonary function.</p><p><strong>Methods: </strong>Within the population-based KORA cohort, 214 participants underwent whole-body magnetic resonance imaging and pulmonary function testing. Paraspinal myosteatosis was quantified by chemical shift-encoded MRI at lumbar vertebra 3 (L3), from which proton density fat fraction (PDFF, in %) maps were derived. Intramyocellular (IMCL) and extramyocellular lipids (EMCL) were determined through voxel-based analysis using validated PDFF thresholds. COPD was defined spirometrically as FEV1/FVC below the lower limit of normal. Associations were examined using multivariable regression models adjusted for age, sex, smoking status, physical activity, and body mass index.</p><p><strong>Results: </strong>Among participants (mean age 58.5 ± 5.8 years, 56.1% male), 24 (11.2%) had spirometrically defined COPD. Participants with COPD showed higher paraspinal PDFF (19.9 ± 7.0% vs. 18.3 ± 7.6%) and lower IMCL/EMCL ratios (1.0 ± 0.4 vs. 1.2 ± 0.6) compared to those without COPD. After adjustment, higher PDFF was independently associated with increased odds of COPD (OR 1.69, 95% CI: 1.01-2.84, p = 0.046), while a higher IMCL to EMCL ratio showed protective associations (OR 0.49, 95% CI: 0.24-1.00, p = 0.050). Both total paraspinal PDFF and EMCL were negatively associated with pulmonary gas exchange capacity (TLCO/VA: β=-0.19, 95% CI: -0.35-0.04, p = 0.016 and β=-0.18, 95% CI: -0.33-0.03, p = 0.022, respectively). Conversely, higher IMCL/EMCL ratios were associated with better gas exchange (TLCO/VA: β = 0.15, 95% CI: 0.01-0.29, p = 0.031).</p><p><strong>Conclusions: </strong>This population-based study demonstrates that while increased total paraspinal muscle fat content is associated with higher COPD risk, its compartmental distribution reveals distinct patterns: A higher proportion of IMCL relative to EMCL shows protective associations, potentially reflecting preserved type I oxidative muscle fiber characteristics. These findings suggest that muscle fat distribution patterns may serve as imaging markers of metabolic adaptation in COPD, offering new perspectives for disease monitoring and therapeutic approaches.</p>","PeriodicalId":49131,"journal":{"name":"Respiratory Research","volume":"26 1","pages":"217"},"PeriodicalIF":5.8000,"publicationDate":"2025-06-14","publicationTypes":"Journal Article","fieldsOfStudy":null,"isOpenAccess":false,"openAccessPdf":"https://www.ncbi.nlm.nih.gov/pmc/articles/PMC12167581/pdf/","citationCount":"0","resultStr":null,"platform":"Semanticscholar","paperid":null,"PeriodicalName":"Respiratory Research","FirstCategoryId":"3","ListUrlMain":"https://doi.org/10.1186/s12931-025-03297-4","RegionNum":2,"RegionCategory":"医学","ArticlePicture":[],"TitleCN":null,"AbstractTextCN":null,"PMCID":null,"EPubDate":"","PubModel":"","JCR":"Q1","JCRName":"Medicine","Score":null,"Total":0}
引用次数: 0

Abstract

Background: Muscle dysfunction in chronic obstructive pulmonary disease (COPD) represents a significant extrapulmonary manifestation. Yet, the role of muscle fat infiltration (myosteatosis) in paraspinal muscles remains incompletely characterized. This study investigated whether paraspinal myosteatosis and its distribution patterns are associated with COPD and pulmonary function.

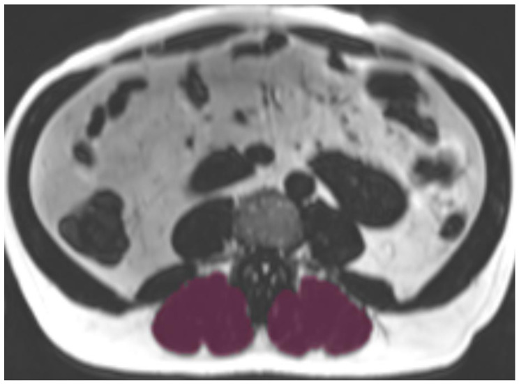
Methods: Within the population-based KORA cohort, 214 participants underwent whole-body magnetic resonance imaging and pulmonary function testing. Paraspinal myosteatosis was quantified by chemical shift-encoded MRI at lumbar vertebra 3 (L3), from which proton density fat fraction (PDFF, in %) maps were derived. Intramyocellular (IMCL) and extramyocellular lipids (EMCL) were determined through voxel-based analysis using validated PDFF thresholds. COPD was defined spirometrically as FEV1/FVC below the lower limit of normal. Associations were examined using multivariable regression models adjusted for age, sex, smoking status, physical activity, and body mass index.

Results: Among participants (mean age 58.5 ± 5.8 years, 56.1% male), 24 (11.2%) had spirometrically defined COPD. Participants with COPD showed higher paraspinal PDFF (19.9 ± 7.0% vs. 18.3 ± 7.6%) and lower IMCL/EMCL ratios (1.0 ± 0.4 vs. 1.2 ± 0.6) compared to those without COPD. After adjustment, higher PDFF was independently associated with increased odds of COPD (OR 1.69, 95% CI: 1.01-2.84, p = 0.046), while a higher IMCL to EMCL ratio showed protective associations (OR 0.49, 95% CI: 0.24-1.00, p = 0.050). Both total paraspinal PDFF and EMCL were negatively associated with pulmonary gas exchange capacity (TLCO/VA: β=-0.19, 95% CI: -0.35-0.04, p = 0.016 and β=-0.18, 95% CI: -0.33-0.03, p = 0.022, respectively). Conversely, higher IMCL/EMCL ratios were associated with better gas exchange (TLCO/VA: β = 0.15, 95% CI: 0.01-0.29, p = 0.031).

Conclusions: This population-based study demonstrates that while increased total paraspinal muscle fat content is associated with higher COPD risk, its compartmental distribution reveals distinct patterns: A higher proportion of IMCL relative to EMCL shows protective associations, potentially reflecting preserved type I oxidative muscle fiber characteristics. These findings suggest that muscle fat distribution patterns may serve as imaging markers of metabolic adaptation in COPD, offering new perspectives for disease monitoring and therapeutic approaches.

Abstract Image

Abstract Image

Abstract Image

椎旁肌骨化症与COPD相关:基于人群的KORA队列的横断面MRI分析。
背景:慢性阻塞性肺疾病(COPD)的肌肉功能障碍是一个重要的肺外表现。然而,肌脂肪浸润(骨化病)在棘旁肌中的作用仍然不完全明确。本研究探讨了棘旁肌骨化症及其分布模式是否与COPD和肺功能相关。方法:在以人群为基础的KORA队列中,214名参与者接受了全身磁共振成像和肺功能测试。通过3腰椎(L3)的化学移位编码MRI对棘旁肌骨化症进行量化,由此得出质子密度脂肪分数(PDFF, %)图。细胞内脂质(IMCL)和细胞外脂质(EMCL)通过基于体素的分析确定,使用验证的PDFF阈值。肺活量学定义为FEV1/FVC低于正常下限。使用调整了年龄、性别、吸烟状况、身体活动和体重指数的多变量回归模型检验相关性。结果:在参与者中(平均年龄58.5±5.8岁,56.1%为男性),24人(11.2%)患有肺活量测定定义的COPD。与非COPD患者相比,COPD患者的椎旁PDFF较高(19.9±7.0% vs. 18.3±7.6%),IMCL/EMCL比值较低(1.0±0.4 vs. 1.2±0.6)。调整后,较高的PDFF与COPD风险增加独立相关(OR 1.69, 95% CI: 1.01-2.84, p = 0.046),而较高的IMCL / EMCL比值显示保护性关联(OR 0.49, 95% CI: 0.24-1.00, p = 0.050)。椎旁总PDFF和EMCL均与肺气体交换能力呈负相关(TLCO/VA: β=-0.19, 95% CI: -0.35-0.04, p = 0.016; β=-0.18, 95% CI: -0.33-0.03, p = 0.022)。相反,较高的IMCL/EMCL比值与较好的气体交换相关(TLCO/VA: β = 0.15, 95% CI: 0.01-0.29, p = 0.031)。结论:这项基于人群的研究表明,虽然棘旁肌总脂肪含量增加与COPD风险升高有关,但其区室分布显示出不同的模式:相对于EMCL, IMCL比例较高显示出保护关联,可能反映了保存的I型氧化肌纤维特征。这些发现表明,肌肉脂肪分布模式可能作为COPD代谢适应的成像标志物,为疾病监测和治疗方法提供了新的视角。
本文章由计算机程序翻译,如有差异,请以英文原文为准。
求助全文
约1分钟内获得全文 求助全文
来源期刊
Respiratory Research
Respiratory Research RESPIRATORY SYSTEM-
CiteScore
9.70
自引率
1.70%
发文量
314
审稿时长
4-8 weeks
期刊介绍: Respiratory Research publishes high-quality clinical and basic research, review and commentary articles on all aspects of respiratory medicine and related diseases. As the leading fully open access journal in the field, Respiratory Research provides an essential resource for pulmonologists, allergists, immunologists and other physicians, researchers, healthcare workers and medical students with worldwide dissemination of articles resulting in high visibility and generating international discussion. Topics of specific interest include asthma, chronic obstructive pulmonary disease, cystic fibrosis, genetics, infectious diseases, interstitial lung diseases, lung development, lung tumors, occupational and environmental factors, pulmonary circulation, pulmonary pharmacology and therapeutics, respiratory immunology, respiratory physiology, and sleep-related respiratory problems.
×
引用
GB/T 7714-2015
复制
MLA
复制
APA
复制
导出至
BibTeX EndNote RefMan NoteFirst NoteExpress
×
提示
您的信息不完整,为了账户安全,请先补充。
现在去补充
×
提示
您因"违规操作"
具体请查看互助需知
我知道了
×
提示
确定
请完成安全验证×
copy
已复制链接
快去分享给好友吧!
我知道了
右上角分享
点击右上角分享
0
联系我们:info@booksci.cn Book学术提供免费学术资源搜索服务,方便国内外学者检索中英文文献。致力于提供最便捷和优质的服务体验。 Copyright © 2023 布克学术 All rights reserved.
京ICP备2023020795号-1
ghs 京公网安备 11010802042870号
Book学术文献互助
Book学术文献互助群
群 号:604180095
Book学术官方微信