Preoperative CT-derived sarcopenia as a predictor of postoperative complications in patients undergoing laparoscopic radical resection for non-metastatic colorectal cancer: a retrospective study.

IF 2.3 3区 医学 Q2 GASTROENTEROLOGY & HEPATOLOGY
Shuyan Su, Zejia Lin, Zelong Cai, Lipeng Huang, Yubin Xiao, Fangjie Yang, Xiujie Huang, Yikai Chen, Zhuoqun Zheng, Xinxin Li, Ruibin Huang
{"title":"Preoperative CT-derived sarcopenia as a predictor of postoperative complications in patients undergoing laparoscopic radical resection for non-metastatic colorectal cancer: a retrospective study.","authors":"Shuyan Su, Zejia Lin, Zelong Cai, Lipeng Huang, Yubin Xiao, Fangjie Yang, Xiujie Huang, Yikai Chen, Zhuoqun Zheng, Xinxin Li, Ruibin Huang","doi":"10.1007/s00384-025-04932-8","DOIUrl":null,"url":null,"abstract":"<p><strong>Purpose: </strong>Sarcopenia is increasingly recognized as a risk factor for postoperative complications in gastrointestinal cancer surgery. This study aimed to assess the association between sarcopenia and postoperative complications following laparoscopic radical resection of non-metastatic colorectal cancer (CRC).</p><p><strong>Methods: </strong>In this retrospective study, 387 non-metastatic CRC patients undergoing laparoscopic radical resection were categorized into a sarcopenic group and a non-sarcopenic group based on preoperative skeletal muscle index (SMI, cm<sup>2</sup>/m<sup>2</sup>). Logistic regression analysis was performed to identify independent predictors for postoperative complications.</p><p><strong>Results: </strong>Sarcopenia was present in 156 (40.31%) patients. The incidence of postoperative complications was 32.3%, with a serious complication (Clavien-Dindo III-V) rate of 12.1%. Compared with non-sarcopenic patients, sarcopenic patients had significantly higher incidences of total complications (P < 0.001) and severe complications (P = 0.026). Multivariable analysis identified sarcopenia as an independent risk factor for total postoperative complications (OR = 3.42, 95%CI 1.85-6.31). Further analysis of specific types of postoperative complications revealed that anastomotic leakage (P = 0.001), surgical site infection (P = 0.002), and surgical site adverse events (P = 0.001) rates were higher in sarcopenic patients. In multivariable analysis, sarcopenia was independently associated with anastomotic leakage (OR = 3.36, 95%CI = 1.12-10.12) and surgical site adverse events (OR = 3.02, 95%CI = 1.55-5.90).</p><p><strong>Conclusions: </strong>Preoperative CT-derived sarcopenia can predict postoperative complications in patients with non-metastatic CRC undergoing laparoscopic radical resection, particularly anastomotic leakage and surgical site adverse events.</p>","PeriodicalId":13789,"journal":{"name":"International Journal of Colorectal Disease","volume":"40 1","pages":"140"},"PeriodicalIF":2.3000,"publicationDate":"2025-06-14","publicationTypes":"Journal Article","fieldsOfStudy":null,"isOpenAccess":false,"openAccessPdf":"https://www.ncbi.nlm.nih.gov/pmc/articles/PMC12167240/pdf/","citationCount":"0","resultStr":null,"platform":"Semanticscholar","paperid":null,"PeriodicalName":"International Journal of Colorectal Disease","FirstCategoryId":"3","ListUrlMain":"https://doi.org/10.1007/s00384-025-04932-8","RegionNum":3,"RegionCategory":"医学","ArticlePicture":[],"TitleCN":null,"AbstractTextCN":null,"PMCID":null,"EPubDate":"","PubModel":"","JCR":"Q2","JCRName":"GASTROENTEROLOGY & HEPATOLOGY","Score":null,"Total":0}
引用次数: 0

Abstract

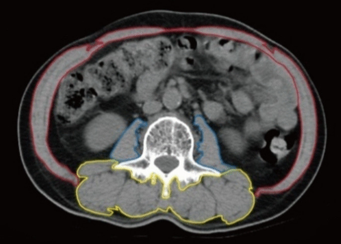
Purpose: Sarcopenia is increasingly recognized as a risk factor for postoperative complications in gastrointestinal cancer surgery. This study aimed to assess the association between sarcopenia and postoperative complications following laparoscopic radical resection of non-metastatic colorectal cancer (CRC).

Methods: In this retrospective study, 387 non-metastatic CRC patients undergoing laparoscopic radical resection were categorized into a sarcopenic group and a non-sarcopenic group based on preoperative skeletal muscle index (SMI, cm2/m2). Logistic regression analysis was performed to identify independent predictors for postoperative complications.

Results: Sarcopenia was present in 156 (40.31%) patients. The incidence of postoperative complications was 32.3%, with a serious complication (Clavien-Dindo III-V) rate of 12.1%. Compared with non-sarcopenic patients, sarcopenic patients had significantly higher incidences of total complications (P < 0.001) and severe complications (P = 0.026). Multivariable analysis identified sarcopenia as an independent risk factor for total postoperative complications (OR = 3.42, 95%CI 1.85-6.31). Further analysis of specific types of postoperative complications revealed that anastomotic leakage (P = 0.001), surgical site infection (P = 0.002), and surgical site adverse events (P = 0.001) rates were higher in sarcopenic patients. In multivariable analysis, sarcopenia was independently associated with anastomotic leakage (OR = 3.36, 95%CI = 1.12-10.12) and surgical site adverse events (OR = 3.02, 95%CI = 1.55-5.90).

Conclusions: Preoperative CT-derived sarcopenia can predict postoperative complications in patients with non-metastatic CRC undergoing laparoscopic radical resection, particularly anastomotic leakage and surgical site adverse events.

Abstract Image

Abstract Image

术前ct来源的肌肉减少作为腹腔镜非转移性结直肠癌根治术患者术后并发症的预测因素:一项回顾性研究。
目的:肌少症越来越被认为是胃肠道肿瘤手术后并发症的危险因素。本研究旨在评估腹腔镜下非转移性结直肠癌(CRC)根治术后肌肉减少症与术后并发症的关系。方法:回顾性研究387例行腹腔镜根治性切除术的非转移性结直肠癌患者,根据术前骨骼肌指数(SMI, cm2/m2)分为肌肉减少组和非肌肉减少组。进行Logistic回归分析以确定术后并发症的独立预测因素。结果:156例(40.31%)患者出现肌肉减少症。术后并发症发生率为32.3%,其中严重并发症(Clavien-Dindo III-V)发生率为12.1%。结论:术前ct来源的肌少症可以预测腹腔镜下非转移性结直肠癌根治术患者的术后并发症,尤其是吻合口漏和手术部位不良事件。
本文章由计算机程序翻译,如有差异,请以英文原文为准。
求助全文
约1分钟内获得全文 求助全文
来源期刊
CiteScore
4.90
自引率
3.60%
发文量
206
审稿时长
3-8 weeks
期刊介绍: The International Journal of Colorectal Disease, Clinical and Molecular Gastroenterology and Surgery aims to publish novel and state-of-the-art papers which deal with the physiology and pathophysiology of diseases involving the entire gastrointestinal tract. In addition to original research articles, the following categories will be included: reviews (usually commissioned but may also be submitted), case reports, letters to the editor, and protocols on clinical studies. The journal offers its readers an interdisciplinary forum for clinical science and molecular research related to gastrointestinal disease.
×
引用
GB/T 7714-2015
复制
MLA
复制
APA
复制
导出至
BibTeX EndNote RefMan NoteFirst NoteExpress
×
提示
您的信息不完整,为了账户安全,请先补充。
现在去补充
×
提示
您因"违规操作"
具体请查看互助需知
我知道了
×
提示
确定
请完成安全验证×
copy
已复制链接
快去分享给好友吧!
我知道了
右上角分享
点击右上角分享
0
联系我们:info@booksci.cn Book学术提供免费学术资源搜索服务,方便国内外学者检索中英文文献。致力于提供最便捷和优质的服务体验。 Copyright © 2023 布克学术 All rights reserved.
京ICP备2023020795号-1
ghs 京公网安备 11010802042870号
Book学术文献互助
Book学术文献互助群
群 号:604180095
Book学术官方微信