Evaluating BMI, Upper Airway Dimensions, and Hyoid Bone Position and their Correlation in Non-OSA Snoring Adults: the First CBCT Study.

Sogol Jafari-Pozve, Nasim Jafari-Pozve, Ali Farzamfar, S Marjan Arianezhad, Seyed Sasan Aryanezhad
{"title":"Evaluating BMI, Upper Airway Dimensions, and Hyoid Bone Position and their Correlation in Non-OSA Snoring Adults: the First CBCT Study.","authors":"Sogol Jafari-Pozve, Nasim Jafari-Pozve, Ali Farzamfar, S Marjan Arianezhad, Seyed Sasan Aryanezhad","doi":"10.30476/dentjods.2024.102409.2360","DOIUrl":null,"url":null,"abstract":"<p><strong>Background: </strong>Precise knowledge about the characteristics of individuals who snore but do not have obstructive sleep apnea (OSA) is essential yet remains limited in the literature.</p><p><strong>Purpose: </strong>This study aimed to evaluate BMI (body mass index), upper airway dimensions, hyoid bone position, and their relationship in non-OSA snoring adults using cone-beam computed tomography.</p><p><strong>Materials and method: </strong>In this retrospective cross-sectional study, cone beam computed tomography (CBCT) records of 100 patients were analyzed. Patients were snoring non-OSA individuals, diagnosed through a thorough examination and negative polysomnography results. CBCT scans were executed in the standard position as per the specified protocol of the Sleep Center. Upper airway was divided into four parts (nasopharynx, velopharynx, oropharynx, and hypopharynx), and anteroposterior (AP) and transverse (T) dimensions within the minimal cross-sectional area of each respective region were evaluated. BMI, upper airway dimension, and hyoid bone were analyzed using Pearson and Spearman's correlation tests.</p><p><strong>Results: </strong> The retrognathion-hyoid-4th cervical vertebra (RHV) angle representative of the hyoid position was significantly greater in females (<i>p</i> Value=0.000). It also statistically decreased significantly in snorers aged 36-50 and 51-65, <i>p</i>= 0.006 and 0.012, respectively. Snorers had above-average BMI in all age groups and both genders. The AP-hypopharynx significantly correlated with BMI (<i>p</i>= 0.022).</p><p><strong>Conclusion: </strong> The hyoid position was gender-dependent, with a superior position in females. It was also age-dependent, with a more inferior position in snorers aged 36-65 compared to younger ages (20-35). The AP-velopharynx is a constriction region in the airway of snorers. Snorers were overweight in all age groups and both genders. BMI had a significant correlation with the AP-hypopharynx.</p>","PeriodicalId":73702,"journal":{"name":"Journal of dentistry (Shiraz, Iran)","volume":"26 2","pages":"160-170"},"PeriodicalIF":0.0000,"publicationDate":"2025-06-01","publicationTypes":"Journal Article","fieldsOfStudy":null,"isOpenAccess":false,"openAccessPdf":"https://www.ncbi.nlm.nih.gov/pmc/articles/PMC12153478/pdf/","citationCount":"0","resultStr":null,"platform":"Semanticscholar","paperid":null,"PeriodicalName":"Journal of dentistry (Shiraz, Iran)","FirstCategoryId":"1085","ListUrlMain":"https://doi.org/10.30476/dentjods.2024.102409.2360","RegionNum":0,"RegionCategory":null,"ArticlePicture":[],"TitleCN":null,"AbstractTextCN":null,"PMCID":null,"EPubDate":"","PubModel":"","JCR":"","JCRName":"","Score":null,"Total":0}
引用次数: 0

Abstract

Background: Precise knowledge about the characteristics of individuals who snore but do not have obstructive sleep apnea (OSA) is essential yet remains limited in the literature.

Purpose: This study aimed to evaluate BMI (body mass index), upper airway dimensions, hyoid bone position, and their relationship in non-OSA snoring adults using cone-beam computed tomography.

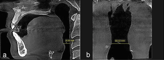
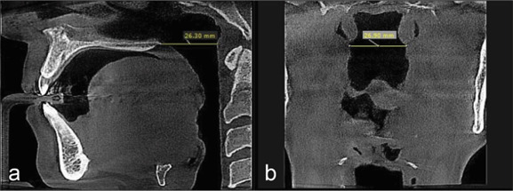
Materials and method: In this retrospective cross-sectional study, cone beam computed tomography (CBCT) records of 100 patients were analyzed. Patients were snoring non-OSA individuals, diagnosed through a thorough examination and negative polysomnography results. CBCT scans were executed in the standard position as per the specified protocol of the Sleep Center. Upper airway was divided into four parts (nasopharynx, velopharynx, oropharynx, and hypopharynx), and anteroposterior (AP) and transverse (T) dimensions within the minimal cross-sectional area of each respective region were evaluated. BMI, upper airway dimension, and hyoid bone were analyzed using Pearson and Spearman's correlation tests.

Results:  The retrognathion-hyoid-4th cervical vertebra (RHV) angle representative of the hyoid position was significantly greater in females (p Value=0.000). It also statistically decreased significantly in snorers aged 36-50 and 51-65, p= 0.006 and 0.012, respectively. Snorers had above-average BMI in all age groups and both genders. The AP-hypopharynx significantly correlated with BMI (p= 0.022).

Conclusion:  The hyoid position was gender-dependent, with a superior position in females. It was also age-dependent, with a more inferior position in snorers aged 36-65 compared to younger ages (20-35). The AP-velopharynx is a constriction region in the airway of snorers. Snorers were overweight in all age groups and both genders. BMI had a significant correlation with the AP-hypopharynx.

Abstract Image

Abstract Image

Abstract Image

评估非阻塞性睡眠呼吸暂停打鼾成人的BMI、上呼吸道尺寸和舌骨位置及其相关性:第一项CBCT研究。
背景:关于打鼾但没有阻塞性睡眠呼吸暂停(OSA)的个体特征的精确知识是必不可少的,但在文献中仍然有限。目的:本研究旨在通过锥形束计算机断层扫描评估非阻塞性睡眠呼吸暂停打鼾成人的BMI(身体质量指数)、上呼吸道尺寸、舌骨位置及其关系。材料和方法:在本回顾性横断面研究中,分析了100例患者的锥束计算机断层扫描(CBCT)记录。患者为打鼾非阻塞性睡眠呼吸暂停个体,通过彻底检查和阴性多导睡眠图诊断。CBCT扫描按照睡眠中心指定的方案在标准位置进行。将上气道分为鼻咽部、腭咽部、口咽部和下咽部四个部分,评估每个区域最小横截面积内的正位(AP)和横向(T)尺寸。采用Pearson和Spearman相关检验分析BMI、上呼吸道尺寸和舌骨。结果:代表舌骨位置的颈后-舌骨-第4颈椎(RHV)角在女性中明显大于舌骨(p值=0.000)。在36-50岁和51-65岁打鼾者中也有统计学意义上的显著下降,p分别为0.006和0.012。打鼾者的身体质量指数在所有年龄组和男女中都高于平均水平。ap -下咽与BMI呈显著相关(p= 0.022)。结论:舌骨位置与性别有关,女性位置优越。它也与年龄有关,36-65岁的打鼾者比年轻的(20-35岁)打鼾者的地位更低。ap -腭咽是打鼾者气道的收缩区。打鼾者在所有年龄组和性别中都超重。BMI与ap -下咽有显著相关性。
本文章由计算机程序翻译,如有差异,请以英文原文为准。
求助全文
约1分钟内获得全文 求助全文
来源期刊
CiteScore
0.50
自引率
0.00%
发文量
0
×
引用
GB/T 7714-2015
复制
MLA
复制
APA
复制
导出至
BibTeX EndNote RefMan NoteFirst NoteExpress
×
提示
您的信息不完整,为了账户安全,请先补充。
现在去补充
×
提示
您因"违规操作"
具体请查看互助需知
我知道了
×
提示
确定
请完成安全验证×
copy
已复制链接
快去分享给好友吧!
我知道了
右上角分享
点击右上角分享
0
联系我们:info@booksci.cn Book学术提供免费学术资源搜索服务,方便国内外学者检索中英文文献。致力于提供最便捷和优质的服务体验。 Copyright © 2023 布克学术 All rights reserved.
京ICP备2023020795号-1
ghs 京公网安备 11010802042870号
Book学术文献互助
Book学术文献互助群
群 号:604180095
Book学术官方微信