Hypoglossal Nerve Stimulation Respiratory Lead Migration: MAUDE Database Review and Case Report.

IF 1.8 Q2 OTORHINOLARYNGOLOGY
OTO Open Pub Date : 2025-06-12 eCollection Date: 2025-04-01 DOI:10.1002/oto2.70141
Emily A Commesso, Marcus F Paoletti, Eric J Kezirian
{"title":"Hypoglossal Nerve Stimulation Respiratory Lead Migration: MAUDE Database Review and Case Report.","authors":"Emily A Commesso, Marcus F Paoletti, Eric J Kezirian","doi":"10.1002/oto2.70141","DOIUrl":null,"url":null,"abstract":"<p><strong>Objective: </strong>Unilateral hypoglossal nerve stimulation (HGNS) to treat obstructive sleep apnea involves implantation of a pulse generator, a respiratory sensing lead, and a stimulation lead. Complications may arise related to all components. Previous studies have presented the overall incidence of reported adverse events. The objective of this study was to provide an updated report of complications from the Food and Drug Administration's Manufacturer and User Facility Device Experience (MAUDE) database, with a focus on the respiratory sensing lead, and propose a care algorithm with two cases of sensing lead migration.</p><p><strong>Study design: </strong>Retrospective cross-sectional study, case report.</p><p><strong>Setting: </strong>Tertiary care center.</p><p><strong>Methods: </strong>The MAUDE database was queried for events related to the HGNS respiratory sensing lead from January 1, 2000, to December 1, 2022. Primary outcomes were respiratory lead migration resulting in pneumothorax or need for revision surgery/explantation.</p><p><strong>Results: </strong>In total, 151 out of 765 HGNS adverse events were related to the respiratory sensing lead, and of those, 75 were related to lead migration. There were seven events related to migration of the sensing lead into the pleural space, of which six cases underwent revision surgery (<1% of adverse events reported related to HGNS). Two cases noted pneumothorax due to sensing lead migration. We report two cases of sensing lead migration at our institution. Migration was demonstrated with serial imaging. These cases highlight the potential need for preoperative or intraoperative chest tube placement, based on the extent of migration, complications, and complexity.</p><p><strong>Conclusion: </strong>Migration of the respiratory sensing lead is a rare event with multidisciplinary surgical planning considerations.</p>","PeriodicalId":19697,"journal":{"name":"OTO Open","volume":"9 2","pages":"e70141"},"PeriodicalIF":1.8000,"publicationDate":"2025-06-12","publicationTypes":"Journal Article","fieldsOfStudy":null,"isOpenAccess":false,"openAccessPdf":"https://www.ncbi.nlm.nih.gov/pmc/articles/PMC12160339/pdf/","citationCount":"0","resultStr":null,"platform":"Semanticscholar","paperid":null,"PeriodicalName":"OTO Open","FirstCategoryId":"1085","ListUrlMain":"https://doi.org/10.1002/oto2.70141","RegionNum":0,"RegionCategory":null,"ArticlePicture":[],"TitleCN":null,"AbstractTextCN":null,"PMCID":null,"EPubDate":"2025/4/1 0:00:00","PubModel":"eCollection","JCR":"Q2","JCRName":"OTORHINOLARYNGOLOGY","Score":null,"Total":0}
引用次数: 0

Abstract

Objective: Unilateral hypoglossal nerve stimulation (HGNS) to treat obstructive sleep apnea involves implantation of a pulse generator, a respiratory sensing lead, and a stimulation lead. Complications may arise related to all components. Previous studies have presented the overall incidence of reported adverse events. The objective of this study was to provide an updated report of complications from the Food and Drug Administration's Manufacturer and User Facility Device Experience (MAUDE) database, with a focus on the respiratory sensing lead, and propose a care algorithm with two cases of sensing lead migration.

Study design: Retrospective cross-sectional study, case report.

Setting: Tertiary care center.

Methods: The MAUDE database was queried for events related to the HGNS respiratory sensing lead from January 1, 2000, to December 1, 2022. Primary outcomes were respiratory lead migration resulting in pneumothorax or need for revision surgery/explantation.

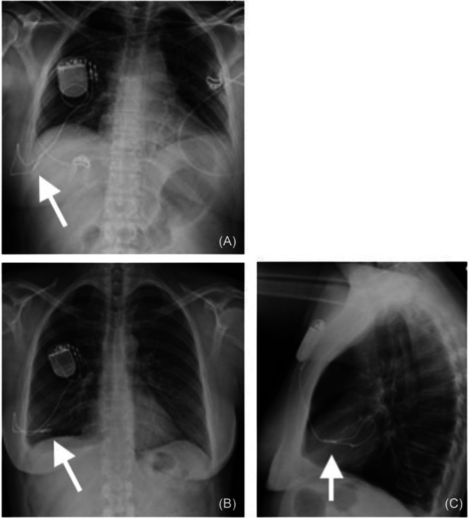
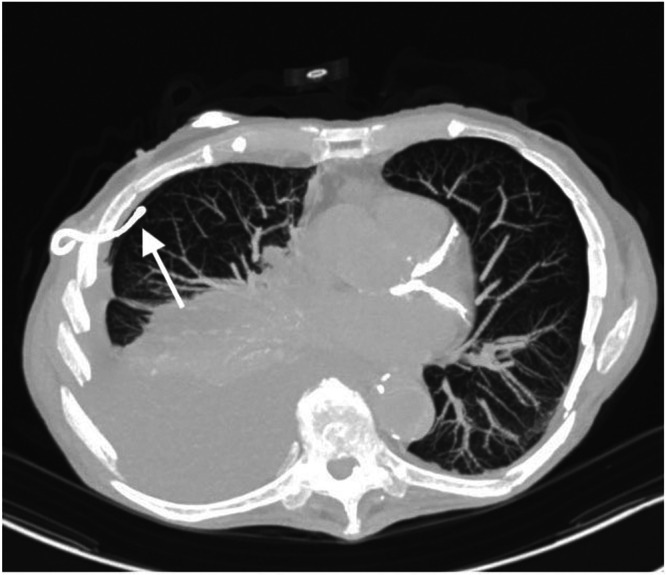
Results: In total, 151 out of 765 HGNS adverse events were related to the respiratory sensing lead, and of those, 75 were related to lead migration. There were seven events related to migration of the sensing lead into the pleural space, of which six cases underwent revision surgery (<1% of adverse events reported related to HGNS). Two cases noted pneumothorax due to sensing lead migration. We report two cases of sensing lead migration at our institution. Migration was demonstrated with serial imaging. These cases highlight the potential need for preoperative or intraoperative chest tube placement, based on the extent of migration, complications, and complexity.

Conclusion: Migration of the respiratory sensing lead is a rare event with multidisciplinary surgical planning considerations.

Abstract Image

Abstract Image

Abstract Image

舌下神经刺激呼吸铅迁移:MAUDE数据库回顾和病例报告。
目的:单侧舌下神经刺激(HGNS)治疗阻塞性睡眠呼吸暂停包括植入脉冲发生器、呼吸感应导联和刺激导联。并发症可能与所有部件相关。以前的研究已经报告了不良事件的总体发生率。本研究的目的是提供一份来自美国食品和药物管理局制造商和用户设施设备体验(MAUDE)数据库的最新并发症报告,重点关注呼吸感应导联,并提出一种针对两例感应导联迁移的护理算法。研究设计:回顾性横断面研究,病例报告。环境:三级保健中心。方法:查询MAUDE数据库2000年1月1日至2022年12月1日期间与HGNS呼吸传感导联相关的事件。主要结局是呼吸导联迁移导致气胸或需要翻修手术/外植。结果:765例HGNS不良事件中有151例与呼吸感应铅有关,其中75例与铅迁移有关。有7例与感应导联迁移到胸膜间隙有关的事件,其中6例进行了翻修手术(结论:呼吸感应导联迁移是一种罕见的事件,需要多学科的手术计划考虑。
本文章由计算机程序翻译,如有差异,请以英文原文为准。
求助全文
约1分钟内获得全文 求助全文
来源期刊
OTO Open
OTO Open Medicine-Surgery
CiteScore
2.70
自引率
0.00%
发文量
115
审稿时长
15 weeks
×
引用
GB/T 7714-2015
复制
MLA
复制
APA
复制
导出至
BibTeX EndNote RefMan NoteFirst NoteExpress
×
提示
您的信息不完整,为了账户安全,请先补充。
现在去补充
×
提示
您因"违规操作"
具体请查看互助需知
我知道了
×
提示
确定
请完成安全验证×
copy
已复制链接
快去分享给好友吧!
我知道了
右上角分享
点击右上角分享
0
联系我们:info@booksci.cn Book学术提供免费学术资源搜索服务,方便国内外学者检索中英文文献。致力于提供最便捷和优质的服务体验。 Copyright © 2023 布克学术 All rights reserved.
京ICP备2023020795号-1
ghs 京公网安备 11010802042870号
Book学术文献互助
Book学术文献互助群
群 号:604180095
Book学术官方微信