The Relationship between Renal Interstitial Vasculopathy and Clinical and Prognosis of Patients with Lupus Nephritis.

IF 3.1 4区 医学 Q1 UROLOGY & NEPHROLOGY
Kidney Diseases Pub Date : 2025-05-02 eCollection Date: 2025-01-01 DOI:10.1159/000545989
Xiuhua Ma, Xudong Liu, Xuan Wang, Min Yu, Xiaoling Zhou
{"title":"The Relationship between Renal Interstitial Vasculopathy and Clinical and Prognosis of Patients with Lupus Nephritis.","authors":"Xiuhua Ma, Xudong Liu, Xuan Wang, Min Yu, Xiaoling Zhou","doi":"10.1159/000545989","DOIUrl":null,"url":null,"abstract":"<p><strong>Introduction: </strong>Renal vascular lesions (RVLs) are a common histopathological feature in lupus nephritis (LN). Despite their frequent occurrence, the clinical significance and prognostic impact of RVLs remain poorly understood. The main objectives of our study were to investigate the clinicopathological characteristics associated with RVLs in LN and to assess their prognostic implications in patients with LN.</p><p><strong>Methods: </strong>We conducted a retrospective analysis of baseline clinical and pathological data, as well as outcomes, for patients diagnosed with biopsy-confirmed lupus nephritis between September 1, 2008, and October 31, 2021. Patients were initially stratified into two groups based on the presence or absence of vascular disease at baseline. Subsequently, they were further categorized into four groups according to the severity of vascular disease. Comparisons were made across these groups with respect to clinical and laboratory parameters, pathological features, and prognostic outcomes. The composite endpoint was defined as death, end-stage renal disease (ESRD), or a ≥30% increase in serum creatinine. Survival analysis was performed using the Kaplan-Meier method to compare the renal survival and overall survival between groups with different severities of RVLs. The log-rank test was employed for univariate survival analysis, and multivariate analysis of survival outcomes was performed using the Cox regression model.</p><p><strong>Results: </strong>In a group of 225 patients, RVLs were found in 101 kidney biopsies, with 72 of these being mild. Among 156 patients with proliferative lupus nephritis, 77 had RVLs. Patients with RVLs were older and exhibited higher levels of serum creatinine, blood urea, uric acid, C-reactive protein, and significantly higher chronicity index and SLEDAI scores. They also had more severe tubulointerstitial lesions, worse clinical manifestations, and lower complete remission rates. Their estimated glomerular filtration rate was lower (<i>p</i> < 0.05). Compared to the NRVLs group, patients in the RVLs group had a lower renal survival rate and overall survival rate, and a significant difference was observed between the groups (<i>p</i> < 0.05). Importantly, the severity of vascular lesions was associated with a lower renal survival rate and overall survival rate, especially in proliferative lupus nephritis.</p><p><strong>Conclusion: </strong>RVLs are a common pathological feature in lupus nephritis and are particularly prevalent among patients with proliferative lupus nephritis. The presence and severity of RVLs are associated with more severe clinicopathological manifestations and a lower complete remission rate in lupus nephritis patients. Furthermore, they are predictive of poorer long-term outcomes, with a particularly pronounced impact on those with proliferative lupus nephritis.</p>","PeriodicalId":17830,"journal":{"name":"Kidney Diseases","volume":"11 1","pages":"377-389"},"PeriodicalIF":3.1000,"publicationDate":"2025-05-02","publicationTypes":"Journal Article","fieldsOfStudy":null,"isOpenAccess":false,"openAccessPdf":"https://www.ncbi.nlm.nih.gov/pmc/articles/PMC12162118/pdf/","citationCount":"0","resultStr":null,"platform":"Semanticscholar","paperid":null,"PeriodicalName":"Kidney Diseases","FirstCategoryId":"3","ListUrlMain":"https://doi.org/10.1159/000545989","RegionNum":4,"RegionCategory":"医学","ArticlePicture":[],"TitleCN":null,"AbstractTextCN":null,"PMCID":null,"EPubDate":"2025/1/1 0:00:00","PubModel":"eCollection","JCR":"Q1","JCRName":"UROLOGY & NEPHROLOGY","Score":null,"Total":0}
引用次数: 0

Abstract

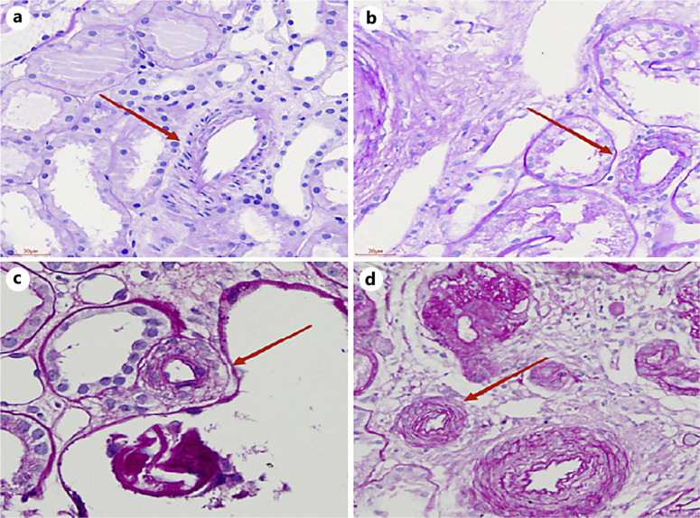
Introduction: Renal vascular lesions (RVLs) are a common histopathological feature in lupus nephritis (LN). Despite their frequent occurrence, the clinical significance and prognostic impact of RVLs remain poorly understood. The main objectives of our study were to investigate the clinicopathological characteristics associated with RVLs in LN and to assess their prognostic implications in patients with LN.

Methods: We conducted a retrospective analysis of baseline clinical and pathological data, as well as outcomes, for patients diagnosed with biopsy-confirmed lupus nephritis between September 1, 2008, and October 31, 2021. Patients were initially stratified into two groups based on the presence or absence of vascular disease at baseline. Subsequently, they were further categorized into four groups according to the severity of vascular disease. Comparisons were made across these groups with respect to clinical and laboratory parameters, pathological features, and prognostic outcomes. The composite endpoint was defined as death, end-stage renal disease (ESRD), or a ≥30% increase in serum creatinine. Survival analysis was performed using the Kaplan-Meier method to compare the renal survival and overall survival between groups with different severities of RVLs. The log-rank test was employed for univariate survival analysis, and multivariate analysis of survival outcomes was performed using the Cox regression model.

Results: In a group of 225 patients, RVLs were found in 101 kidney biopsies, with 72 of these being mild. Among 156 patients with proliferative lupus nephritis, 77 had RVLs. Patients with RVLs were older and exhibited higher levels of serum creatinine, blood urea, uric acid, C-reactive protein, and significantly higher chronicity index and SLEDAI scores. They also had more severe tubulointerstitial lesions, worse clinical manifestations, and lower complete remission rates. Their estimated glomerular filtration rate was lower (p < 0.05). Compared to the NRVLs group, patients in the RVLs group had a lower renal survival rate and overall survival rate, and a significant difference was observed between the groups (p < 0.05). Importantly, the severity of vascular lesions was associated with a lower renal survival rate and overall survival rate, especially in proliferative lupus nephritis.

Conclusion: RVLs are a common pathological feature in lupus nephritis and are particularly prevalent among patients with proliferative lupus nephritis. The presence and severity of RVLs are associated with more severe clinicopathological manifestations and a lower complete remission rate in lupus nephritis patients. Furthermore, they are predictive of poorer long-term outcomes, with a particularly pronounced impact on those with proliferative lupus nephritis.

Abstract Image

Abstract Image

Abstract Image

狼疮性肾炎患者肾间质血管病变与临床及预后的关系。
肾血管病变(RVLs)是狼疮性肾炎(LN)常见的组织病理学特征。尽管它们经常发生,但RVLs的临床意义和预后影响仍然知之甚少。本研究的主要目的是研究与LN中rvl相关的临床病理特征,并评估其对LN患者的预后影响。方法:我们对2008年9月1日至2021年10月31日期间活检证实的狼疮性肾炎患者的基线临床和病理数据以及结果进行了回顾性分析。患者最初根据基线时是否存在血管疾病分为两组。随后,他们根据血管疾病的严重程度被进一步分为四组。比较这些组的临床和实验室参数、病理特征和预后结果。复合终点定义为死亡、终末期肾病(ESRD)或血清肌酐升高≥30%。采用Kaplan-Meier法进行生存分析,比较不同严重程度RVLs组患者的肾脏生存和总生存。单因素生存分析采用log-rank检验,多因素生存分析采用Cox回归模型。结果:在225例患者中,101例肾脏活检发现RVLs,其中72例为轻度。156例增殖性狼疮性肾炎患者中,77例有rvl。RVLs患者年龄较大,血清肌酐、尿素、尿酸、c反应蛋白水平较高,慢性指数和SLEDAI评分明显较高。他们也有更严重的小管间质病变,更差的临床表现和更低的完全缓解率。估计肾小球滤过率较低(p < 0.05)。与NRVLs组相比,RVLs组患者的肾生存率和总生存率较低,组间比较差异有统计学意义(p < 0.05)。重要的是,血管病变的严重程度与较低的肾脏存活率和总生存率相关,特别是在增殖性狼疮性肾炎中。结论:rvl是狼疮性肾炎的常见病理特征,在增殖性狼疮性肾炎患者中尤为普遍。在狼疮性肾炎患者中,rvl的存在和严重程度与更严重的临床病理表现和更低的完全缓解率相关。此外,它们预示着较差的长期预后,对增殖性狼疮性肾炎患者的影响尤其显著。
本文章由计算机程序翻译,如有差异,请以英文原文为准。
求助全文
约1分钟内获得全文 求助全文
来源期刊
Kidney Diseases
Kidney Diseases UROLOGY & NEPHROLOGY-
CiteScore
6.00
自引率
2.70%
发文量
33
审稿时长
27 weeks
期刊介绍: ''Kidney Diseases'' aims to provide a platform for Asian and Western research to further and support communication and exchange of knowledge. Review articles cover the most recent clinical and basic science relevant to the entire field of nephrological disorders, including glomerular diseases, acute and chronic kidney injury, tubulo-interstitial disease, hypertension and metabolism-related disorders, end-stage renal disease, and genetic kidney disease. Special articles are prepared by two authors, one from East and one from West, which compare genetics, epidemiology, diagnosis methods, and treatment options of a disease.
×
引用
GB/T 7714-2015
复制
MLA
复制
APA
复制
导出至
BibTeX EndNote RefMan NoteFirst NoteExpress
×
提示
您的信息不完整,为了账户安全,请先补充。
现在去补充
×
提示
您因"违规操作"
具体请查看互助需知
我知道了
×
提示
确定
请完成安全验证×
copy
已复制链接
快去分享给好友吧!
我知道了
右上角分享
点击右上角分享
0
联系我们:info@booksci.cn Book学术提供免费学术资源搜索服务,方便国内外学者检索中英文文献。致力于提供最便捷和优质的服务体验。 Copyright © 2023 布克学术 All rights reserved.
京ICP备2023020795号-1
ghs 京公网安备 11010802042870号
Book学术文献互助
Book学术文献互助群
群 号:604180095
Book学术官方微信