Unexpected Twin Pregnancy in a BRCA2-Positive Breast Cancer Patient with Post-Chemotherapy Amenorrhea: A Case Report and Call for Comprehensive Contraceptive Counseling.

IF 0.7 Q4 ONCOLOGY
Case Reports in Oncology Pub Date : 2025-04-26 eCollection Date: 2025-01-01 DOI:10.1159/000546095
Rui Omori, Kenji Gonda, Megumi Arai, Toyoaki Sawano, Tomohiro Kurokawa, Yutaka Tamada, Ayu Yasui, Mika Nashinoto, Masahiro Wada, Kazunoshin Tachibana, Tetsuya Tanimoto, Hiroaki Shimmura, Tohru Ohtake, Akihiko Ozaki
{"title":"Unexpected Twin Pregnancy in a BRCA2-Positive Breast Cancer Patient with Post-Chemotherapy Amenorrhea: A Case Report and Call for Comprehensive Contraceptive Counseling.","authors":"Rui Omori, Kenji Gonda, Megumi Arai, Toyoaki Sawano, Tomohiro Kurokawa, Yutaka Tamada, Ayu Yasui, Mika Nashinoto, Masahiro Wada, Kazunoshin Tachibana, Tetsuya Tanimoto, Hiroaki Shimmura, Tohru Ohtake, Akihiko Ozaki","doi":"10.1159/000546095","DOIUrl":null,"url":null,"abstract":"<p><strong>Background: </strong>Contraceptive counseling for cancer patients, especially during periods of treatment-induced amenorrhea, is often overlooked. This can lead to unexpected pregnancies with significant implications for patient care and outcomes.</p><p><strong>Case presentation: </strong>We report a case of a 38-year-old BRCA2-positive breast cancer patient who experienced an unexpected twin pregnancy while undergoing treatment with tamoxifen and olaparib. The patient had been amenorrheic since initiating chemotherapy for more than 600 days and had not received contraceptive counseling. The pregnancy was discovered during routine follow-up imaging computed tomography. After thorough counseling regarding the teratogenic potential of her treatments and radiation exposure, and considering the patient's strong desire to prioritize her own treatment to safeguard her existing three children, the pregnancy was terminated.</p><p><strong>Conclusion: </strong>This case highlights the need for comprehensive contraceptive counseling throughout cancer treatment, regardless of apparent fertility status. It also emphasizes the importance of considering both teratogenicity of treatments and patients' personal circumstances in managing unexpected pregnancies in cancer patients.</p>","PeriodicalId":9625,"journal":{"name":"Case Reports in Oncology","volume":"18 1","pages":"721-727"},"PeriodicalIF":0.7000,"publicationDate":"2025-04-26","publicationTypes":"Journal Article","fieldsOfStudy":null,"isOpenAccess":false,"openAccessPdf":"https://www.ncbi.nlm.nih.gov/pmc/articles/PMC12162116/pdf/","citationCount":"0","resultStr":null,"platform":"Semanticscholar","paperid":null,"PeriodicalName":"Case Reports in Oncology","FirstCategoryId":"1085","ListUrlMain":"https://doi.org/10.1159/000546095","RegionNum":0,"RegionCategory":null,"ArticlePicture":[],"TitleCN":null,"AbstractTextCN":null,"PMCID":null,"EPubDate":"2025/1/1 0:00:00","PubModel":"eCollection","JCR":"Q4","JCRName":"ONCOLOGY","Score":null,"Total":0}
引用次数: 0

Abstract

Background: Contraceptive counseling for cancer patients, especially during periods of treatment-induced amenorrhea, is often overlooked. This can lead to unexpected pregnancies with significant implications for patient care and outcomes.

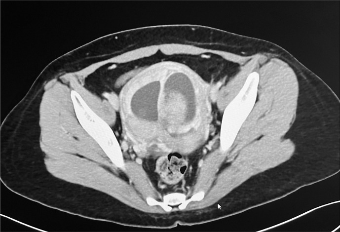
Case presentation: We report a case of a 38-year-old BRCA2-positive breast cancer patient who experienced an unexpected twin pregnancy while undergoing treatment with tamoxifen and olaparib. The patient had been amenorrheic since initiating chemotherapy for more than 600 days and had not received contraceptive counseling. The pregnancy was discovered during routine follow-up imaging computed tomography. After thorough counseling regarding the teratogenic potential of her treatments and radiation exposure, and considering the patient's strong desire to prioritize her own treatment to safeguard her existing three children, the pregnancy was terminated.

Conclusion: This case highlights the need for comprehensive contraceptive counseling throughout cancer treatment, regardless of apparent fertility status. It also emphasizes the importance of considering both teratogenicity of treatments and patients' personal circumstances in managing unexpected pregnancies in cancer patients.

Abstract Image

Abstract Image

brca2阳性乳腺癌化疗后闭经患者意外双胎妊娠:一例报告及全面避孕咨询的呼吁
背景:癌症患者的避孕咨询,特别是在治疗性闭经期间,往往被忽视。这可能导致意外怀孕,对患者护理和结果产生重大影响。病例介绍:我们报告了一例38岁brca2阳性乳腺癌患者,在接受他莫昔芬和奥拉帕尼治疗时意外发生双胎妊娠。患者化疗后闭经超过600天,未接受避孕咨询。妊娠是在常规随访成像计算机断层扫描中发现的。在对她的治疗和辐射暴露的致畸潜力进行了彻底的咨询后,考虑到患者强烈希望优先考虑自己的治疗以保护她现有的三个孩子,终止了妊娠。结论:本病例强调了在整个癌症治疗过程中,无论生育状况如何,都需要全面的避孕咨询。它还强调了在管理癌症患者意外怀孕时考虑治疗致畸性和患者个人情况的重要性。
本文章由计算机程序翻译,如有差异,请以英文原文为准。
求助全文
约1分钟内获得全文 求助全文
来源期刊
CiteScore
1.40
自引率
12.50%
发文量
151
审稿时长
7 weeks
×
引用
GB/T 7714-2015
复制
MLA
复制
APA
复制
导出至
BibTeX EndNote RefMan NoteFirst NoteExpress
×
提示
您的信息不完整,为了账户安全,请先补充。
现在去补充
×
提示
您因"违规操作"
具体请查看互助需知
我知道了
×
提示
确定
请完成安全验证×
copy
已复制链接
快去分享给好友吧!
我知道了
右上角分享
点击右上角分享
0
联系我们:info@booksci.cn Book学术提供免费学术资源搜索服务,方便国内外学者检索中英文文献。致力于提供最便捷和优质的服务体验。 Copyright © 2023 布克学术 All rights reserved.
京ICP备2023020795号-1
ghs 京公网安备 11010802042870号
Book学术文献互助
Book学术文献互助群
群 号:604180095
Book学术官方微信