Protective effect of proteins extracted from Plumeria pudica latex on ethanol-induced gastric injury in mice.

IF 1.3
Acta cirurgica brasileira Pub Date : 2025-06-06 eCollection Date: 2025-01-01 DOI:10.1590/acb404025
Lucas Arruda Moita, Bruna da Silva Souza, Naylla Veras de Moraes Oliveira, Ana Clara Silva Sales, Lucas Eduardo Silva Oliveira, Ana Patrícia de Oliveira, Francisca Beatriz Melo Sousa, Jand-Venes Rolim Medeiros, Jefferson Soares de Oliveira
{"title":"Protective effect of proteins extracted from Plumeria pudica latex on ethanol-induced gastric injury in mice.","authors":"Lucas Arruda Moita, Bruna da Silva Souza, Naylla Veras de Moraes Oliveira, Ana Clara Silva Sales, Lucas Eduardo Silva Oliveira, Ana Patrícia de Oliveira, Francisca Beatriz Melo Sousa, Jand-Venes Rolim Medeiros, Jefferson Soares de Oliveira","doi":"10.1590/acb404025","DOIUrl":null,"url":null,"abstract":"<p><strong>Purpose: </strong>To evaluate proteins from Plumeria pudica latex (LPPp) for their protective effect against ethanol-induced gastric injury in mice.</p><p><strong>Methods: </strong>The LPPp fraction was obtained by collecting P. pudica latex in tubes containing distilled water, followed by centrifugation and dialysis. The female Swiss mice (Mus musculus) received saline or LPPp (40 mg/kg) intraperitoneally 1 hour before oral administration of 500 μL of 50% ethanol. One hour later, the animals were euthanized, and their stomachs were removed for evaluation of tissue lesion area, histopathological analysis, and measurements of malondialdehyde (MDA), glutathione (GSH), superoxide dismutase (SOD), and nitrate/nitrite (NO3/NO2). An independent experiment assessed the effect of LPPp on gastric mucus production.</p><p><strong>Results: </strong>The LPPp-treated animals showed a significant reduction in the mean injured areas of gastric tissue (0.73 ± 1.01 mm2) compared to the ethanol group (37.99 ± 3.11 mm2). Histopathological analysis revealed significant preservation of tissue architecture in the LPPp group compared to ethanol group. Additionally, LPPp maintained tissue levels of MDA, GSH, SOD, and NO3/NO2 comparable to the saline group and influenced gastric mucus production favorably (p < 0.05).</p><p><strong>Conclusion: </strong>These results suggested that LPPp has a protective effect against ethanol-induced gastric lesions, likely involving antioxidant activity and increased gastric mucus production.</p>","PeriodicalId":93850,"journal":{"name":"Acta cirurgica brasileira","volume":"40 ","pages":"e404025"},"PeriodicalIF":1.3000,"publicationDate":"2025-06-06","publicationTypes":"Journal Article","fieldsOfStudy":null,"isOpenAccess":false,"openAccessPdf":"https://www.ncbi.nlm.nih.gov/pmc/articles/PMC12143448/pdf/","citationCount":"0","resultStr":null,"platform":"Semanticscholar","paperid":null,"PeriodicalName":"Acta cirurgica brasileira","FirstCategoryId":"1085","ListUrlMain":"https://doi.org/10.1590/acb404025","RegionNum":0,"RegionCategory":null,"ArticlePicture":[],"TitleCN":null,"AbstractTextCN":null,"PMCID":null,"EPubDate":"2025/1/1 0:00:00","PubModel":"eCollection","JCR":"","JCRName":"","Score":null,"Total":0}
引用次数: 0

Abstract

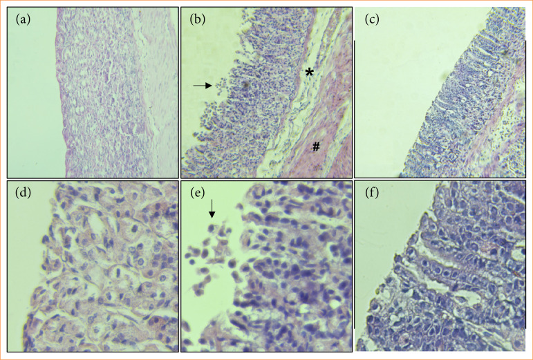
Purpose: To evaluate proteins from Plumeria pudica latex (LPPp) for their protective effect against ethanol-induced gastric injury in mice.

Methods: The LPPp fraction was obtained by collecting P. pudica latex in tubes containing distilled water, followed by centrifugation and dialysis. The female Swiss mice (Mus musculus) received saline or LPPp (40 mg/kg) intraperitoneally 1 hour before oral administration of 500 μL of 50% ethanol. One hour later, the animals were euthanized, and their stomachs were removed for evaluation of tissue lesion area, histopathological analysis, and measurements of malondialdehyde (MDA), glutathione (GSH), superoxide dismutase (SOD), and nitrate/nitrite (NO3/NO2). An independent experiment assessed the effect of LPPp on gastric mucus production.

Results: The LPPp-treated animals showed a significant reduction in the mean injured areas of gastric tissue (0.73 ± 1.01 mm2) compared to the ethanol group (37.99 ± 3.11 mm2). Histopathological analysis revealed significant preservation of tissue architecture in the LPPp group compared to ethanol group. Additionally, LPPp maintained tissue levels of MDA, GSH, SOD, and NO3/NO2 comparable to the saline group and influenced gastric mucus production favorably (p < 0.05).

Conclusion: These results suggested that LPPp has a protective effect against ethanol-induced gastric lesions, likely involving antioxidant activity and increased gastric mucus production.

Abstract Image

Abstract Image

Abstract Image

鸡蛋花乳胶提取蛋白对乙醇致小鼠胃损伤的保护作用。
目的:探讨鸡蛋鸡乳蛋白对乙醇致小鼠胃损伤的保护作用。方法:用蒸馏水管收集耻骨假体乳胶,离心、透析得到LPPp部分。雌性瑞士小鼠(小家鼠)在口服50%乙醇500 μL前1小时腹腔注射生理盐水或LPPp (40 mg/kg)。1小时后,对大鼠实施安乐死,取胃进行组织病变面积评估、组织病理学分析、丙二醛(MDA)、谷胱甘肽(GSH)、超氧化物歧化酶(SOD)、硝酸盐/亚硝酸盐(NO3/NO2)测定。一项独立实验评估了LPPp对胃粘液产生的影响。结果:与乙醇组(37.99±3.11 mm2)相比,lpp组胃组织平均损伤面积(0.73±1.01 mm2)明显减少。组织病理学分析显示,与乙醇组相比,LPPp组明显保留了组织结构。此外,与生理盐水组相比,LPPp维持了组织中MDA、GSH、SOD和NO3/NO2的水平,并有利地影响了胃粘液的产生(p < 0.05)。结论:这些结果表明,LPPp对乙醇诱导的胃病变具有保护作用,可能涉及抗氧化活性和增加胃粘液生成。
本文章由计算机程序翻译,如有差异,请以英文原文为准。
求助全文
约1分钟内获得全文 求助全文
来源期刊
自引率
0.00%
发文量
0
×
引用
GB/T 7714-2015
复制
MLA
复制
APA
复制
导出至
BibTeX EndNote RefMan NoteFirst NoteExpress
×
提示
您的信息不完整,为了账户安全,请先补充。
现在去补充
×
提示
您因"违规操作"
具体请查看互助需知
我知道了
×
提示
确定
请完成安全验证×
copy
已复制链接
快去分享给好友吧!
我知道了
右上角分享
点击右上角分享
0
联系我们:info@booksci.cn Book学术提供免费学术资源搜索服务,方便国内外学者检索中英文文献。致力于提供最便捷和优质的服务体验。 Copyright © 2023 布克学术 All rights reserved.
京ICP备2023020795号-1
ghs 京公网安备 11010802042870号
Book学术文献互助
Book学术文献互助群
群 号:604180095
Book学术官方微信