Persistent Asymptomatic Pneumoperitoneum With Spontaneously Resolving Idiopathic Pneumatosis Intestinalis: A Case Report.

IF 0.5 Q4 SURGERY
Case Reports in Surgery Pub Date : 2025-06-04 eCollection Date: 2025-01-01 DOI:10.1155/cris/5524896
John P Ratanawong, Tzu Han Huang, Torben H Urdahl, Katherine Weir, Anthony T Rezcallah
{"title":"Persistent Asymptomatic Pneumoperitoneum With Spontaneously Resolving Idiopathic Pneumatosis Intestinalis: A Case Report.","authors":"John P Ratanawong, Tzu Han Huang, Torben H Urdahl, Katherine Weir, Anthony T Rezcallah","doi":"10.1155/cris/5524896","DOIUrl":null,"url":null,"abstract":"<p><p>We present our experience with a patient with acute-on-chronic asymptomatic pneumoperitoneum with spontaneously resolving idiopathic pneumatosis intestinalis that was solely managed on close observation alone. This case is unique in that it details the approach to nonoperative management of massive free air under the diaphragm identified incidentally on routine preventative health screening and longitudinal follow-up over an 8-month period. In the absence of known and underlying systemic disease, efficient and coordinated clinical work-up and evaluation for comorbid diagnoses associated with pneumoperitoneum can serve to guide management and avoid unnecessary surgery for stable and asymptomatic patients.</p>","PeriodicalId":9600,"journal":{"name":"Case Reports in Surgery","volume":"2025 ","pages":"5524896"},"PeriodicalIF":0.5000,"publicationDate":"2025-06-04","publicationTypes":"Journal Article","fieldsOfStudy":null,"isOpenAccess":false,"openAccessPdf":"https://www.ncbi.nlm.nih.gov/pmc/articles/PMC12158569/pdf/","citationCount":"0","resultStr":null,"platform":"Semanticscholar","paperid":null,"PeriodicalName":"Case Reports in Surgery","FirstCategoryId":"1085","ListUrlMain":"https://doi.org/10.1155/cris/5524896","RegionNum":0,"RegionCategory":null,"ArticlePicture":[],"TitleCN":null,"AbstractTextCN":null,"PMCID":null,"EPubDate":"2025/1/1 0:00:00","PubModel":"eCollection","JCR":"Q4","JCRName":"SURGERY","Score":null,"Total":0}
引用次数: 0

Abstract

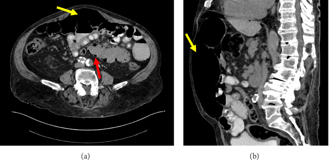
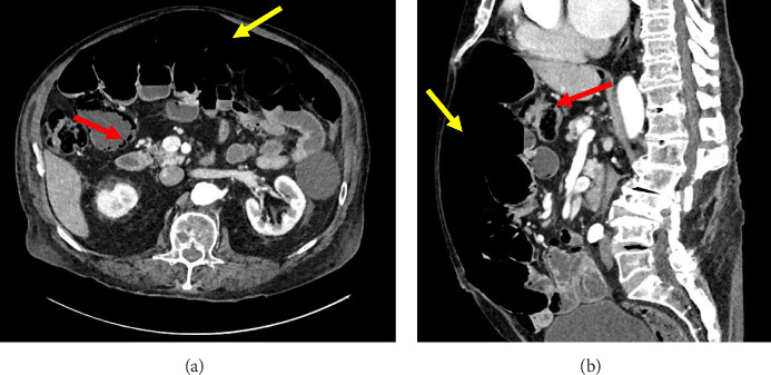
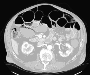
We present our experience with a patient with acute-on-chronic asymptomatic pneumoperitoneum with spontaneously resolving idiopathic pneumatosis intestinalis that was solely managed on close observation alone. This case is unique in that it details the approach to nonoperative management of massive free air under the diaphragm identified incidentally on routine preventative health screening and longitudinal follow-up over an 8-month period. In the absence of known and underlying systemic disease, efficient and coordinated clinical work-up and evaluation for comorbid diagnoses associated with pneumoperitoneum can serve to guide management and avoid unnecessary surgery for stable and asymptomatic patients.

Abstract Image

Abstract Image

Abstract Image

持续性无症状气腹伴自发性特发性肠气病1例报告。
我们介绍了我们的经验,患者的急性慢性无症状气腹与自发解决特发性肠气病,这是完全管理的密切观察单独。本病例的独特之处在于,它详细介绍了在常规预防性健康筛查和8个月的纵向随访中偶然发现的隔膜下大量自由空气的非手术治疗方法。在没有已知和潜在的全身性疾病的情况下,有效和协调的临床检查和评估与气腹相关的合并症诊断可以指导管理并避免对稳定和无症状患者进行不必要的手术。
本文章由计算机程序翻译,如有差异,请以英文原文为准。
求助全文
约1分钟内获得全文 求助全文
来源期刊
自引率
0.00%
发文量
60
审稿时长
13 weeks
×
引用
GB/T 7714-2015
复制
MLA
复制
APA
复制
导出至
BibTeX EndNote RefMan NoteFirst NoteExpress
×
提示
您的信息不完整,为了账户安全,请先补充。
现在去补充
×
提示
您因"违规操作"
具体请查看互助需知
我知道了
×
提示
确定
请完成安全验证×
copy
已复制链接
快去分享给好友吧!
我知道了
右上角分享
点击右上角分享
0
联系我们:info@booksci.cn Book学术提供免费学术资源搜索服务,方便国内外学者检索中英文文献。致力于提供最便捷和优质的服务体验。 Copyright © 2023 布克学术 All rights reserved.
京ICP备2023020795号-1
ghs 京公网安备 11010802042870号
Book学术文献互助
Book学术文献互助群
群 号:604180095
Book学术官方微信