Movement Disorders in CSF1R -Related Leukoencephalopathy: A Case Series.

IF 1.8 4区 医学 Q3 CLINICAL NEUROLOGY
Annals of Indian Academy of Neurology Pub Date : 2025-07-01 Epub Date: 2025-06-12 DOI:10.4103/aian.aian_51_25
Nitish Kamble, R S Harishma, Vikram V Holla, Shweta Prasad, Jitender Saini, Pramod K Pal
{"title":"Movement Disorders in CSF1R -Related Leukoencephalopathy: A Case Series.","authors":"Nitish Kamble, R S Harishma, Vikram V Holla, Shweta Prasad, Jitender Saini, Pramod K Pal","doi":"10.4103/aian.aian_51_25","DOIUrl":null,"url":null,"abstract":"<p><strong>Abstract: </strong>CSF1R -related leukoencephalopathy is a rare, dominantly inherited leukoencephalopathy caused by mutations in the CSF1R gene that codes for colony-stimulating factor 1 receptor. We describe the clinical and neuroimaging features in three genetically confirmed cases (two women) of CSF1R -related leukoencephalopathy. The age at onset ranged from 41 to 45 years. Cognitive and behavioral disturbances were seen in all patients, and one patient had epilepsy. The movement disorders included parkinsonism, freezing of gait, cerebellar ataxia, tremors, etc., Pyramidal signs were noted in two patients. Magnetic resonance imaging of the brain showed signal changes in the white matter. Whole-exome sequencing revealed mutation in the CSF1R gene, confirming the diagnosis. A combination of rapidly progressive cognitive and behavioral disturbances with involvement of pyramidal, extrapyramidal, and characteristic neuroimaging suggests diagnosis. Currently, the treatment is symptomatic as there is no specific treatment for the disease and a multidisciplinary team is required for managing these patients. Hematopoietic stem cell transplantation has shown to benefit a few patients.</p>","PeriodicalId":8036,"journal":{"name":"Annals of Indian Academy of Neurology","volume":" ","pages":"596-598"},"PeriodicalIF":1.8000,"publicationDate":"2025-07-01","publicationTypes":"Journal Article","fieldsOfStudy":null,"isOpenAccess":false,"openAccessPdf":"https://www.ncbi.nlm.nih.gov/pmc/articles/PMC12393857/pdf/","citationCount":"0","resultStr":null,"platform":"Semanticscholar","paperid":null,"PeriodicalName":"Annals of Indian Academy of Neurology","FirstCategoryId":"3","ListUrlMain":"https://doi.org/10.4103/aian.aian_51_25","RegionNum":4,"RegionCategory":"医学","ArticlePicture":[],"TitleCN":null,"AbstractTextCN":null,"PMCID":null,"EPubDate":"2025/6/12 0:00:00","PubModel":"Epub","JCR":"Q3","JCRName":"CLINICAL NEUROLOGY","Score":null,"Total":0}
引用次数: 0

Abstract

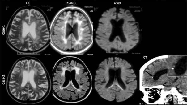
Abstract: CSF1R -related leukoencephalopathy is a rare, dominantly inherited leukoencephalopathy caused by mutations in the CSF1R gene that codes for colony-stimulating factor 1 receptor. We describe the clinical and neuroimaging features in three genetically confirmed cases (two women) of CSF1R -related leukoencephalopathy. The age at onset ranged from 41 to 45 years. Cognitive and behavioral disturbances were seen in all patients, and one patient had epilepsy. The movement disorders included parkinsonism, freezing of gait, cerebellar ataxia, tremors, etc., Pyramidal signs were noted in two patients. Magnetic resonance imaging of the brain showed signal changes in the white matter. Whole-exome sequencing revealed mutation in the CSF1R gene, confirming the diagnosis. A combination of rapidly progressive cognitive and behavioral disturbances with involvement of pyramidal, extrapyramidal, and characteristic neuroimaging suggests diagnosis. Currently, the treatment is symptomatic as there is no specific treatment for the disease and a multidisciplinary team is required for managing these patients. Hematopoietic stem cell transplantation has shown to benefit a few patients.

Abstract Image

csf1r相关白质脑病的运动障碍:一个病例系列。
摘要:CSF1R相关脑白质病是由编码集落刺激因子1受体的CSF1R基因突变引起的一种罕见的显性遗传性脑白质病。我们描述了三例遗传确诊的csf1r相关白质脑病的临床和神经影像学特征(两名女性)。发病年龄41 ~ 45岁。所有患者均出现认知和行为障碍,其中一名患者患有癫痫。运动障碍包括帕金森病、步态冻结、小脑性共济失调、震颤等,2例患者出现锥体征。大脑的核磁共振成像显示白质中的信号变化。全外显子组测序显示CSF1R基因突变,证实了诊断。快速进行性认知和行为障碍,锥体、锥体外锥体和特征性神经影像学累及,提示诊断。目前,治疗是对症的,因为没有针对这种疾病的特异性治疗方法,需要一个多学科团队来管理这些患者。造血干细胞移植已显示对少数患者有益。
本文章由计算机程序翻译,如有差异,请以英文原文为准。
求助全文
约1分钟内获得全文 求助全文
来源期刊
Annals of Indian Academy of Neurology
Annals of Indian Academy of Neurology Nervous System Diseases-
CiteScore
2.20
自引率
11.80%
发文量
293
审稿时长
29 weeks
期刊介绍: The journal has a clinical foundation and has been utilized most by clinical neurologists for improving the practice of neurology. While the focus is on neurology in India, the journal publishes manuscripts of high value from all parts of the world. Journal publishes reviews of various types, original articles, short communications, interesting images and case reports. The journal respects the scientific submission of its authors and believes in following an expeditious double-blind peer review process and endeavors to complete the review process within scheduled time frame. A significant effort from the author and the journal perhaps enables to strike an equilibrium to meet the professional expectations of the peers in the world of scientific publication. AIAN believes in safeguarding the privacy rights of human subjects. In order to comply with it, the journal instructs all authors when uploading the manuscript to also add the ethical clearance (human/animals)/ informed consent of subject in the manuscript. This applies to the study/case report that involves animal/human subjects/human specimens e.g. extracted tooth part/soft tissue for biopsy/in vitro analysis.
×
引用
GB/T 7714-2015
复制
MLA
复制
APA
复制
导出至
BibTeX EndNote RefMan NoteFirst NoteExpress
×
提示
您的信息不完整,为了账户安全,请先补充。
现在去补充
×
提示
您因"违规操作"
具体请查看互助需知
我知道了
×
提示
确定
请完成安全验证×
copy
已复制链接
快去分享给好友吧!
我知道了
右上角分享
点击右上角分享
0
联系我们:info@booksci.cn Book学术提供免费学术资源搜索服务,方便国内外学者检索中英文文献。致力于提供最便捷和优质的服务体验。 Copyright © 2023 布克学术 All rights reserved.
京ICP备2023020795号-1
ghs 京公网安备 11010802042870号
Book学术文献互助
Book学术文献互助群
群 号:604180095
Book学术官方微信