Absence of lipopolysaccharide (LPS) expression in breast cancer cells.

IF 4.8 2区 医学 Q2 CELL BIOLOGY
Cellular Oncology Pub Date : 2025-08-01 Epub Date: 2025-06-11 DOI:10.1007/s13402-025-01071-8
Noel F C C de Miranda, Vincent T H B M Smit, Manon van der Ploeg, Jelle Wesseling, Jacques Neefjes
{"title":"Absence of lipopolysaccharide (LPS) expression in breast cancer cells.","authors":"Noel F C C de Miranda, Vincent T H B M Smit, Manon van der Ploeg, Jelle Wesseling, Jacques Neefjes","doi":"10.1007/s13402-025-01071-8","DOIUrl":null,"url":null,"abstract":"<p><p>The relationship between bacterial activity and tumorigenesis has gained attention in recent years, complementing the well-established association between viruses and cancer. A recent study employed immunodetection of lipopolysaccharide (LPS) to demonstrate the presence of intracellular bacteria within cancer cells across various cancer types, including breast cancer. The authors proposed that these bacteria might play a role in tumor development. We sought to replicate these findings using the same experimental methods on an independent cohort of breast cancer cases. Our analysis of 129 samples revealed no evidence of LPS expression within cancer cells. Instead, LPS immunoreactivity was observed in ducts or immune cells, specifically macrophages, as expected. These discrepancies in LPS immunodetection warrant caution in interpreting the original findings, and further research is needed to clarify the potential role of intracellular bacteria in cancer development.</p>","PeriodicalId":49223,"journal":{"name":"Cellular Oncology","volume":" ","pages":"1123-1126"},"PeriodicalIF":4.8000,"publicationDate":"2025-08-01","publicationTypes":"Journal Article","fieldsOfStudy":null,"isOpenAccess":false,"openAccessPdf":"https://www.ncbi.nlm.nih.gov/pmc/articles/PMC12238110/pdf/","citationCount":"0","resultStr":null,"platform":"Semanticscholar","paperid":null,"PeriodicalName":"Cellular Oncology","FirstCategoryId":"3","ListUrlMain":"https://doi.org/10.1007/s13402-025-01071-8","RegionNum":2,"RegionCategory":"医学","ArticlePicture":[],"TitleCN":null,"AbstractTextCN":null,"PMCID":null,"EPubDate":"2025/6/11 0:00:00","PubModel":"Epub","JCR":"Q2","JCRName":"CELL BIOLOGY","Score":null,"Total":0}
引用次数: 0

Abstract

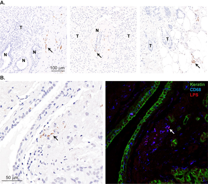
The relationship between bacterial activity and tumorigenesis has gained attention in recent years, complementing the well-established association between viruses and cancer. A recent study employed immunodetection of lipopolysaccharide (LPS) to demonstrate the presence of intracellular bacteria within cancer cells across various cancer types, including breast cancer. The authors proposed that these bacteria might play a role in tumor development. We sought to replicate these findings using the same experimental methods on an independent cohort of breast cancer cases. Our analysis of 129 samples revealed no evidence of LPS expression within cancer cells. Instead, LPS immunoreactivity was observed in ducts or immune cells, specifically macrophages, as expected. These discrepancies in LPS immunodetection warrant caution in interpreting the original findings, and further research is needed to clarify the potential role of intracellular bacteria in cancer development.

Abstract Image

脂多糖(LPS)在乳腺癌细胞中的表达缺失。
近年来,细菌活性与肿瘤发生之间的关系得到了人们的关注,补充了病毒与癌症之间已经确立的联系。最近的一项研究利用免疫检测脂多糖(LPS)来证明包括乳腺癌在内的各种癌症细胞内存在细胞内细菌。作者提出这些细菌可能在肿瘤发展中起作用。我们试图在一个独立的乳腺癌病例队列中使用相同的实验方法来重复这些发现。我们对129个样本的分析显示,没有证据表明LPS在癌细胞中表达。相反,正如预期的那样,在导管或免疫细胞,特别是巨噬细胞中观察到LPS免疫反应性。LPS免疫检测的这些差异需要谨慎解释最初的发现,需要进一步的研究来阐明细胞内细菌在癌症发展中的潜在作用。
本文章由计算机程序翻译,如有差异,请以英文原文为准。
求助全文
约1分钟内获得全文 求助全文
来源期刊
Cellular Oncology
Cellular Oncology ONCOLOGY-CELL BIOLOGY
CiteScore
10.30
自引率
1.50%
发文量
86
审稿时长
12 months
期刊介绍: The Official Journal of the International Society for Cellular Oncology Focuses on translational research Addresses the conversion of cell biology to clinical applications Cellular Oncology publishes scientific contributions from various biomedical and clinical disciplines involved in basic and translational cancer research on the cell and tissue level, technical and bioinformatics developments in this area, and clinical applications. This includes a variety of fields like genome technology, micro-arrays and other high-throughput techniques, genomic instability, SNP, DNA methylation, signaling pathways, DNA organization, (sub)microscopic imaging, proteomics, bioinformatics, functional effects of genomics, drug design and development, molecular diagnostics and targeted cancer therapies, genotype-phenotype interactions. A major goal is to translate the latest developments in these fields from the research laboratory into routine patient management. To this end Cellular Oncology forms a platform of scientific information exchange between molecular biologists and geneticists, technical developers, pathologists, (medical) oncologists and other clinicians involved in the management of cancer patients. In vitro studies are preferentially supported by validations in tumor tissue with clinicopathological associations.
×
引用
GB/T 7714-2015
复制
MLA
复制
APA
复制
导出至
BibTeX EndNote RefMan NoteFirst NoteExpress
×
提示
您的信息不完整,为了账户安全,请先补充。
现在去补充
×
提示
您因"违规操作"
具体请查看互助需知
我知道了
×
提示
确定
请完成安全验证×
copy
已复制链接
快去分享给好友吧!
我知道了
右上角分享
点击右上角分享
0
联系我们:info@booksci.cn Book学术提供免费学术资源搜索服务,方便国内外学者检索中英文文献。致力于提供最便捷和优质的服务体验。 Copyright © 2023 布克学术 All rights reserved.
京ICP备2023020795号-1
ghs 京公网安备 11010802042870号
Book学术文献互助
Book学术文献互助群
群 号:604180095
Book学术官方微信