Comparative analysis of elbow radiographic measurements in patients with supracondylar humerus fractures and healthy controls.

IF 2.3 Q2 ORTHOPEDICS
Nuri K Ülgen, Batuhan Gencer, Özgür Doğan
{"title":"Comparative analysis of elbow radiographic measurements in patients with supracondylar humerus fractures and healthy controls.","authors":"Nuri K Ülgen, Batuhan Gencer, Özgür Doğan","doi":"10.5312/wjo.v16.i5.105734","DOIUrl":null,"url":null,"abstract":"<p><strong>Background: </strong>Supracondylar humeral fractures (SCHF) are the second most common fractures in childhood and can lead to short- and long-term complications. Despite their prevalence, the anatomical factors that predispose children to SCHF remain unclear. This study aimed to determine whether there are significant morphological differences in the elbow by comparing the radiographic angular measurements of the contralateral elbows of patients with SCHF to those of patients with distal radius fractures (DRF) and a healthy control group. We sought to explore if these morphological variations contribute to the occurrence of SCHF.</p><p><strong>Aim: </strong>To determine radiological parameters that may predispose to pediatric elbow fractures.</p><p><strong>Methods: </strong>Radiographs of 78 SCHF patients were analyzed for angular measurements of the contralateral elbow. Two control groups were used: 98 healthy children and 40 patients with DRF. Angular measurements included Baumann angle (BA), humeroulnar angle (HUA), humerus metaphysis-diaphysis angle (HMDA), humerus shaft-condylar angle (HSCA), and lateral capitellohumeral angle. Only BA, HUA, and HMDA were measured in the DRF group. Statistical analysis was performed to compare differences among groups.</p><p><strong>Results: </strong>Significant differences were found in elbow measurements between SCHF and control groups (<i>P</i> < 0.05). However, the mean values for all groups fell within the ranges described in the literature.</p><p><strong>Conclusion: </strong>While statistically significant differences were found in elbow morphology between SCHF patients and controls, these differences don't translate into clinically meaningful morphological deviations.</p>","PeriodicalId":47843,"journal":{"name":"World Journal of Orthopedics","volume":"16 5","pages":"105734"},"PeriodicalIF":2.3000,"publicationDate":"2025-05-18","publicationTypes":"Journal Article","fieldsOfStudy":null,"isOpenAccess":false,"openAccessPdf":"https://www.ncbi.nlm.nih.gov/pmc/articles/PMC12146972/pdf/","citationCount":"0","resultStr":null,"platform":"Semanticscholar","paperid":null,"PeriodicalName":"World Journal of Orthopedics","FirstCategoryId":"1085","ListUrlMain":"https://doi.org/10.5312/wjo.v16.i5.105734","RegionNum":0,"RegionCategory":null,"ArticlePicture":[],"TitleCN":null,"AbstractTextCN":null,"PMCID":null,"EPubDate":"","PubModel":"","JCR":"Q2","JCRName":"ORTHOPEDICS","Score":null,"Total":0}
引用次数: 0

Abstract

Background: Supracondylar humeral fractures (SCHF) are the second most common fractures in childhood and can lead to short- and long-term complications. Despite their prevalence, the anatomical factors that predispose children to SCHF remain unclear. This study aimed to determine whether there are significant morphological differences in the elbow by comparing the radiographic angular measurements of the contralateral elbows of patients with SCHF to those of patients with distal radius fractures (DRF) and a healthy control group. We sought to explore if these morphological variations contribute to the occurrence of SCHF.

Aim: To determine radiological parameters that may predispose to pediatric elbow fractures.

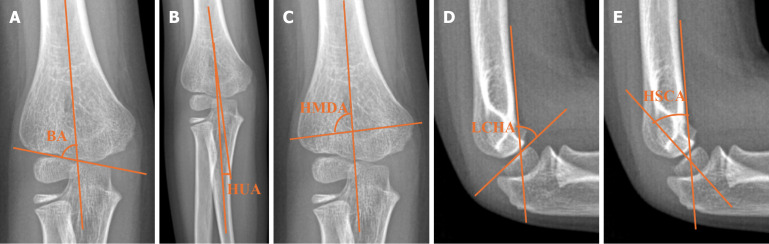
Methods: Radiographs of 78 SCHF patients were analyzed for angular measurements of the contralateral elbow. Two control groups were used: 98 healthy children and 40 patients with DRF. Angular measurements included Baumann angle (BA), humeroulnar angle (HUA), humerus metaphysis-diaphysis angle (HMDA), humerus shaft-condylar angle (HSCA), and lateral capitellohumeral angle. Only BA, HUA, and HMDA were measured in the DRF group. Statistical analysis was performed to compare differences among groups.

Results: Significant differences were found in elbow measurements between SCHF and control groups (P < 0.05). However, the mean values for all groups fell within the ranges described in the literature.

Conclusion: While statistically significant differences were found in elbow morphology between SCHF patients and controls, these differences don't translate into clinically meaningful morphological deviations.

Abstract Image

肱骨髁上骨折患者肘关节x线测量与健康对照的比较分析。
背景:肱骨髁上骨折(SCHF)是儿童第二大常见骨折,可导致短期和长期并发症。尽管其普遍存在,但儿童易患SCHF的解剖学因素仍不清楚。本研究旨在通过比较桡骨远端骨折(DRF)患者和健康对照组的桡骨远端骨折患者对侧肘关节的x线角度测量来确定肘关节是否存在显著的形态学差异。我们试图探索这些形态变化是否有助于SCHF的发生。目的:确定可能诱发儿童肘部骨折的放射学参数。方法:对78例SCHF患者的x线片进行对侧肘关节角度测量分析。采用两组对照组:98名健康儿童和40名DRF患者。角度测量包括Baumann角(BA)、肱骨尺骨角(HUA)、肱骨骨干角(HMDA)、肱骨轴髁角(HSCA)和肱骨外侧小头角。DRF组仅测量BA、HUA和HMDA。统计学分析比较各组间差异。结果:实验组与对照组肘关节测量值差异有统计学意义(P < 0.05)。然而,所有组的平均值都在文献中描述的范围内。结论:虽然SCHF患者与对照组肘部形态存在统计学差异,但这些差异并不转化为有临床意义的形态学偏差。
本文章由计算机程序翻译,如有差异,请以英文原文为准。
求助全文
约1分钟内获得全文 求助全文
来源期刊
CiteScore
3.10
自引率
0.00%
发文量
814
×
引用
GB/T 7714-2015
复制
MLA
复制
APA
复制
导出至
BibTeX EndNote RefMan NoteFirst NoteExpress
×
提示
您的信息不完整,为了账户安全,请先补充。
现在去补充
×
提示
您因"违规操作"
具体请查看互助需知
我知道了
×
提示
确定
请完成安全验证×
copy
已复制链接
快去分享给好友吧!
我知道了
右上角分享
点击右上角分享
0
联系我们:info@booksci.cn Book学术提供免费学术资源搜索服务,方便国内外学者检索中英文文献。致力于提供最便捷和优质的服务体验。 Copyright © 2023 布克学术 All rights reserved.
京ICP备2023020795号-1
ghs 京公网安备 11010802042870号
Book学术文献互助
Book学术文献互助群
群 号:604180095
Book学术官方微信