Relationship between coracoid apex position and anterior shoulder instability.

IF 1.7 Q2 ORTHOPEDICS
Clinics in Shoulder and Elbow Pub Date : 2025-06-01 Epub Date: 2025-05-29 DOI:10.5397/cise.2025.00073
Haluk Yaka, Ali Adem, Baran Sarikaya, Mustafa Özer, Ulunay Kanatli
{"title":"Relationship between coracoid apex position and anterior shoulder instability.","authors":"Haluk Yaka, Ali Adem, Baran Sarikaya, Mustafa Özer, Ulunay Kanatli","doi":"10.5397/cise.2025.00073","DOIUrl":null,"url":null,"abstract":"<p><strong>Background: </strong>This study investigated whether the coracoid apex position relative to the glenoid is associated with anterior shoulder instability (ASI). We hypothesized that the coracoid apex is positioned superiorly and medially in patients with ASI.</p><p><strong>Methods: </strong>This study included 72 patients who underwent surgery for ASI and 72 age- and sex-matched controls. The sagittal central glenoid- coracoid angle (scGCA) and axial central glenoid-coracoid angle (acGCA), which assess the coracoid apex position relative to the glenoid center, the glenoid version (GV), and glenoid inclination (GI) were evaluated using magnetic resonance imaging. The critical shoulder angle (CSA) was measured using true anterior-posterior radiographs.</p><p><strong>Results: </strong>The ASI group had significantly lower scGCA and GV values than the control group (scGCA: 32.0°±4.3° vs. 39.2°±7°, P=0.004; GV: 2.2°±5.4° vs. 6.4°±5.4°, P=0.033, respectively). There was no significant difference in acGCA, GI, and CSA between the groups (P=0.377, P=0.524, P=0.847, respectively). Logistic regression analysis conducted with the scGCA, acGCA, GV, GI, and CSA parameters revealed a significant association only for scGCA (P=0.039, odds ratio: 1.28).</p><p><strong>Conclusions: </strong>Lower scGCA values, which indicate a more superior position of the coracoid apex relative to the glenoid center, are associated with ASI independently of other parameters. scGCA values below 34.5°, indicating a superiorly positioned coracoid apex, showed an 85.7% sensitivity and 73.3% specificity for ASI. Level of evidence: III.</p>","PeriodicalId":33981,"journal":{"name":"Clinics in Shoulder and Elbow","volume":"28 2","pages":"156-162"},"PeriodicalIF":1.7000,"publicationDate":"2025-06-01","publicationTypes":"Journal Article","fieldsOfStudy":null,"isOpenAccess":false,"openAccessPdf":"https://www.ncbi.nlm.nih.gov/pmc/articles/PMC12151645/pdf/","citationCount":"0","resultStr":null,"platform":"Semanticscholar","paperid":null,"PeriodicalName":"Clinics in Shoulder and Elbow","FirstCategoryId":"1085","ListUrlMain":"https://doi.org/10.5397/cise.2025.00073","RegionNum":0,"RegionCategory":null,"ArticlePicture":[],"TitleCN":null,"AbstractTextCN":null,"PMCID":null,"EPubDate":"2025/5/29 0:00:00","PubModel":"Epub","JCR":"Q2","JCRName":"ORTHOPEDICS","Score":null,"Total":0}
引用次数: 0

Abstract

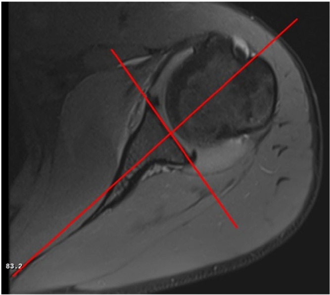
Background: This study investigated whether the coracoid apex position relative to the glenoid is associated with anterior shoulder instability (ASI). We hypothesized that the coracoid apex is positioned superiorly and medially in patients with ASI.

Methods: This study included 72 patients who underwent surgery for ASI and 72 age- and sex-matched controls. The sagittal central glenoid- coracoid angle (scGCA) and axial central glenoid-coracoid angle (acGCA), which assess the coracoid apex position relative to the glenoid center, the glenoid version (GV), and glenoid inclination (GI) were evaluated using magnetic resonance imaging. The critical shoulder angle (CSA) was measured using true anterior-posterior radiographs.

Results: The ASI group had significantly lower scGCA and GV values than the control group (scGCA: 32.0°±4.3° vs. 39.2°±7°, P=0.004; GV: 2.2°±5.4° vs. 6.4°±5.4°, P=0.033, respectively). There was no significant difference in acGCA, GI, and CSA between the groups (P=0.377, P=0.524, P=0.847, respectively). Logistic regression analysis conducted with the scGCA, acGCA, GV, GI, and CSA parameters revealed a significant association only for scGCA (P=0.039, odds ratio: 1.28).

Conclusions: Lower scGCA values, which indicate a more superior position of the coracoid apex relative to the glenoid center, are associated with ASI independently of other parameters. scGCA values below 34.5°, indicating a superiorly positioned coracoid apex, showed an 85.7% sensitivity and 73.3% specificity for ASI. Level of evidence: III.

Abstract Image

Abstract Image

Abstract Image

喙尖位置与前肩不稳的关系。
背景:本研究探讨了相对于肩胛盂的喙尖位置是否与前肩不稳(ASI)有关。我们假设在ASI患者中喙尖位于上内侧。方法:本研究包括72例接受ASI手术的患者和72例年龄和性别匹配的对照组。应用磁共振成像技术评价肩胛中央-喙状角(scGCA)和轴向中央-喙状角(acGCA),评估肩胛尖相对于肩胛中心的位置、肩胛形态(GV)和肩胛倾斜度(GI)。采用真实前后位x线片测量临界肩关节角(CSA)。结果:ASI组scGCA和GV值明显低于对照组(scGCA: 32.0°±4.3°vs 39.2°±7°,P=0.004;问:2.2°±5.4°和6.4°±5.4°,分别为P = 0.033)。acGCA、GI、CSA组间比较差异无统计学意义(P=0.377、P=0.524、P=0.847)。对scGCA、acGCA、GV、GI和CSA参数进行的Logistic回归分析显示,只有scGCA存在显著相关性(P=0.039,优势比为1.28)。结论:较低的scGCA值表明喙尖相对于盂骨中心位置更优越,与ASI相关,独立于其他参数。scGCA值低于34.5°,表明喙尖位置优越,对ASI的敏感性为85.7%,特异性为73.3%。证据水平:III。
本文章由计算机程序翻译,如有差异,请以英文原文为准。
求助全文
约1分钟内获得全文 求助全文
来源期刊
CiteScore
0.30
自引率
0.00%
发文量
55
审稿时长
15 weeks
×
引用
GB/T 7714-2015
复制
MLA
复制
APA
复制
导出至
BibTeX EndNote RefMan NoteFirst NoteExpress
×
提示
您的信息不完整,为了账户安全,请先补充。
现在去补充
×
提示
您因"违规操作"
具体请查看互助需知
我知道了
×
提示
确定
请完成安全验证×
copy
已复制链接
快去分享给好友吧!
我知道了
右上角分享
点击右上角分享
0
联系我们:info@booksci.cn Book学术提供免费学术资源搜索服务,方便国内外学者检索中英文文献。致力于提供最便捷和优质的服务体验。 Copyright © 2023 布克学术 All rights reserved.
京ICP备2023020795号-1
ghs 京公网安备 11010802042870号
Book学术文献互助
Book学术文献互助群
群 号:604180095
Book学术官方微信