Achilles tendon allograft versus fascia lata autograft as the interpositional graft in arthroscopically assisted lower trapezius tendon transfer for irreparable posterosuperior rotator cuff tear.

IF 1.7 Q2 ORTHOPEDICS
Clinics in Shoulder and Elbow Pub Date : 2025-06-01 Epub Date: 2025-05-29 DOI:10.5397/cise.2024.00598
Chang Hee Baek, Chaemoon Lim, Jung Gon Kim, Bo Taek Kim, Seung Jin Kim
{"title":"Achilles tendon allograft versus fascia lata autograft as the interpositional graft in arthroscopically assisted lower trapezius tendon transfer for irreparable posterosuperior rotator cuff tear.","authors":"Chang Hee Baek, Chaemoon Lim, Jung Gon Kim, Bo Taek Kim, Seung Jin Kim","doi":"10.5397/cise.2024.00598","DOIUrl":null,"url":null,"abstract":"<p><strong>Background: </strong>Although arthroscopically assisted lower trapezius tendon transfer (aLTT) is an effective treatment option for posterosuperior irreparable rotator cuff tear (PSIRCT), interpositional grafts should be used because of the length limitations of the LTT. This study compared the radiologic and clinical results of an Achilles tendon allograft (ATA) versus a fascia lata autograft (FLA) as the interpositional graft.</p><p><strong>Methods: </strong>This study included 64 and 26 patients treated with aLTT using an ATA or FLA, respectively. Clinical outcomes were compared using the visual analog scale score, University of California Los Angeles shoulder score, American Shoulder and Elbow Surgeons score, Constant shoulder score, activities of daily living that require active external rotation score, and range of motion. Arthritic changes of the glenohumeral joint were evaluated by acromiohumeral distance (AHD) and Hamada grade. Extent of arthritis was evaluated by magnetic resonance imaging.</p><p><strong>Results: </strong>Both groups showed significant improvement after the surgery in intra-group analysis, and no significant difference in clinical outcomes were observed between the two groups. AHD and Hamada grades were also comparable. The rate of graft retear was higher in the ATA group than in the FLA group, but without statistical significance.</p><p><strong>Conclusions: </strong>aLTT may lead to significant improvement in clinical and radiologic outcomes in PSIRCT, regardless of whether an ATA or FLA is used as the interpositional graft. The retear rate of the interpositional bridging graft was not associated with graft status. However, measures to promote graft healing should be considered. Level of evidence: III.</p>","PeriodicalId":33981,"journal":{"name":"Clinics in Shoulder and Elbow","volume":"28 2","pages":"170-179"},"PeriodicalIF":1.7000,"publicationDate":"2025-06-01","publicationTypes":"Journal Article","fieldsOfStudy":null,"isOpenAccess":false,"openAccessPdf":"https://www.ncbi.nlm.nih.gov/pmc/articles/PMC12151646/pdf/","citationCount":"0","resultStr":null,"platform":"Semanticscholar","paperid":null,"PeriodicalName":"Clinics in Shoulder and Elbow","FirstCategoryId":"1085","ListUrlMain":"https://doi.org/10.5397/cise.2024.00598","RegionNum":0,"RegionCategory":null,"ArticlePicture":[],"TitleCN":null,"AbstractTextCN":null,"PMCID":null,"EPubDate":"2025/5/29 0:00:00","PubModel":"Epub","JCR":"Q2","JCRName":"ORTHOPEDICS","Score":null,"Total":0}
引用次数: 0

Abstract

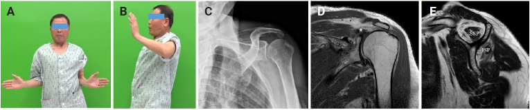
Background: Although arthroscopically assisted lower trapezius tendon transfer (aLTT) is an effective treatment option for posterosuperior irreparable rotator cuff tear (PSIRCT), interpositional grafts should be used because of the length limitations of the LTT. This study compared the radiologic and clinical results of an Achilles tendon allograft (ATA) versus a fascia lata autograft (FLA) as the interpositional graft.

Methods: This study included 64 and 26 patients treated with aLTT using an ATA or FLA, respectively. Clinical outcomes were compared using the visual analog scale score, University of California Los Angeles shoulder score, American Shoulder and Elbow Surgeons score, Constant shoulder score, activities of daily living that require active external rotation score, and range of motion. Arthritic changes of the glenohumeral joint were evaluated by acromiohumeral distance (AHD) and Hamada grade. Extent of arthritis was evaluated by magnetic resonance imaging.

Results: Both groups showed significant improvement after the surgery in intra-group analysis, and no significant difference in clinical outcomes were observed between the two groups. AHD and Hamada grades were also comparable. The rate of graft retear was higher in the ATA group than in the FLA group, but without statistical significance.

Conclusions: aLTT may lead to significant improvement in clinical and radiologic outcomes in PSIRCT, regardless of whether an ATA or FLA is used as the interpositional graft. The retear rate of the interpositional bridging graft was not associated with graft status. However, measures to promote graft healing should be considered. Level of evidence: III.

Abstract Image

Abstract Image

Abstract Image

异体跟腱移植与自体阔筋膜移植在关节镜辅助下斜方肌腱转移治疗不可修复的后上肩袖撕裂中的应用。
背景:虽然关节镜辅助下斜方肌腱转移(aLTT)是治疗后上不可修复肩袖撕裂(PSIRCT)的有效选择,但由于LTT的长度限制,应使用间位移植物。本研究比较了异体跟腱移植(ATA)与自体阔筋膜移植(FLA)作为间位移植物的影像学和临床结果。方法:本研究分别纳入64例和26例使用ATA或FLA进行aLTT治疗的患者。临床结果采用视觉模拟量表评分、加州大学洛杉矶分校肩部评分、美国肩关节外科医生评分、肩部恒定评分、需要主动外旋的日常生活活动评分和活动范围进行比较。采用肩肱骨距离(AHD)和Hamada分级评价关节关节的变化。通过磁共振成像评估关节炎的程度。结果:组内分析两组术后均有明显改善,两组临床结局无明显差异。AHD和Hamada评分也具有可比性。ATA组移植物返出率高于FLA组,但无统计学意义。结论:aLTT可能导致PSIRCT临床和影像学结果的显著改善,无论是否使用ATA或FLA作为间位移植物。间置桥移植的恢复率与移植状态无关。然而,应考虑促进移植物愈合的措施。证据水平:III。
本文章由计算机程序翻译,如有差异,请以英文原文为准。
求助全文
约1分钟内获得全文 求助全文
来源期刊
CiteScore
0.30
自引率
0.00%
发文量
55
审稿时长
15 weeks
×
引用
GB/T 7714-2015
复制
MLA
复制
APA
复制
导出至
BibTeX EndNote RefMan NoteFirst NoteExpress
×
提示
您的信息不完整,为了账户安全,请先补充。
现在去补充
×
提示
您因"违规操作"
具体请查看互助需知
我知道了
×
提示
确定
请完成安全验证×
copy
已复制链接
快去分享给好友吧!
我知道了
右上角分享
点击右上角分享
0
联系我们:info@booksci.cn Book学术提供免费学术资源搜索服务,方便国内外学者检索中英文文献。致力于提供最便捷和优质的服务体验。 Copyright © 2023 布克学术 All rights reserved.
京ICP备2023020795号-1
ghs 京公网安备 11010802042870号
Book学术文献互助
Book学术文献互助群
群 号:604180095
Book学术官方微信