Neoadjuvant lenvatinib in a patient with invasive poorly differentiated thyroid cancer.

IF 1.3 Q4 ONCOLOGY
ecancermedicalscience Pub Date : 2025-04-25 eCollection Date: 2025-01-01 DOI:10.3332/ecancer.2025.1902
Santiago Zund, Inés Califano, Fernando Carrizo, Sergio Quildrian
{"title":"Neoadjuvant lenvatinib in a patient with invasive poorly differentiated thyroid cancer.","authors":"Santiago Zund, Inés Califano, Fernando Carrizo, Sergio Quildrian","doi":"10.3332/ecancer.2025.1902","DOIUrl":null,"url":null,"abstract":"<p><strong>Background: </strong>A limited number of case reports have investigated the role of tyrosine kinase inhibitors as neoadjuvant therapy in locally invasive poorly differentiated thyroid cancer (PDTC).</p><p><strong>Case report: </strong>A 69-year-old female patient presented with a large mass in the right thyroid lobe measuring 10 × 8 cm. A computed tomography scan showed a mass with no cleavage plane between the tumour and both the laryngotracheal and esophageal right lateral wall. A core needle biopsy was performed and confirmed PDTC. The case was considered unresectable. After a trial of neoadjuvant lenvatinib was administered, a partial response of 50% was achieved and surgery could be performed with favourable surgical outcomes. The patient did not resume lenvatinib after surgery, as no evidence of structural disease was found. At publication, she remains free of structural disease with an incomplete biochemical response.</p><p><strong>Conclusion: </strong>Neadjuvant lenvatinib can be a therapeutic option to reduce primary tumour extent, in order to perform surgery and achieve better outcomes. However, this requires a highly selected patient group. Neoadjuvant-targeted therapy holds significant promise and warrants further investigation.</p>","PeriodicalId":11460,"journal":{"name":"ecancermedicalscience","volume":"19 ","pages":"1902"},"PeriodicalIF":1.3000,"publicationDate":"2025-04-25","publicationTypes":"Journal Article","fieldsOfStudy":null,"isOpenAccess":false,"openAccessPdf":"https://www.ncbi.nlm.nih.gov/pmc/articles/PMC12149226/pdf/","citationCount":"0","resultStr":null,"platform":"Semanticscholar","paperid":null,"PeriodicalName":"ecancermedicalscience","FirstCategoryId":"1085","ListUrlMain":"https://doi.org/10.3332/ecancer.2025.1902","RegionNum":0,"RegionCategory":null,"ArticlePicture":[],"TitleCN":null,"AbstractTextCN":null,"PMCID":null,"EPubDate":"2025/1/1 0:00:00","PubModel":"eCollection","JCR":"Q4","JCRName":"ONCOLOGY","Score":null,"Total":0}
引用次数: 0

Abstract

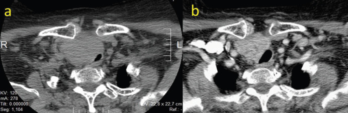
Background: A limited number of case reports have investigated the role of tyrosine kinase inhibitors as neoadjuvant therapy in locally invasive poorly differentiated thyroid cancer (PDTC).

Case report: A 69-year-old female patient presented with a large mass in the right thyroid lobe measuring 10 × 8 cm. A computed tomography scan showed a mass with no cleavage plane between the tumour and both the laryngotracheal and esophageal right lateral wall. A core needle biopsy was performed and confirmed PDTC. The case was considered unresectable. After a trial of neoadjuvant lenvatinib was administered, a partial response of 50% was achieved and surgery could be performed with favourable surgical outcomes. The patient did not resume lenvatinib after surgery, as no evidence of structural disease was found. At publication, she remains free of structural disease with an incomplete biochemical response.

Conclusion: Neadjuvant lenvatinib can be a therapeutic option to reduce primary tumour extent, in order to perform surgery and achieve better outcomes. However, this requires a highly selected patient group. Neoadjuvant-targeted therapy holds significant promise and warrants further investigation.

Abstract Image

Abstract Image

Abstract Image

新辅助lenvatinib治疗侵袭性低分化甲状腺癌。
背景:有限数量的病例报告研究了酪氨酸激酶抑制剂作为局部侵袭性低分化甲状腺癌(PDTC)新辅助治疗的作用。病例报告:一名69岁的女性患者,在右侧甲状腺叶有一个大肿块,大小为10 × 8厘米。计算机断层扫描显示肿瘤与喉气管和食管右侧壁之间无劈裂面。核心穿刺活检证实为PDTC。该病例被认为无法切除。在给予新辅助lenvatinib的试验后,达到了50%的部分缓解,可以进行手术并获得良好的手术结果。手术后患者没有恢复lenvatinib,因为没有发现结构性疾病的证据。在发表时,她仍然没有结构性疾病,生化反应不完全。结论:新辅助lenvatinib可作为减少原发肿瘤范围的治疗选择,以进行手术治疗并获得更好的结果。然而,这需要一个经过精心挑选的患者群体。新辅助靶向治疗具有重要的前景,值得进一步研究。
本文章由计算机程序翻译,如有差异,请以英文原文为准。
求助全文
约1分钟内获得全文 求助全文
来源期刊
CiteScore
3.80
自引率
5.60%
发文量
138
审稿时长
27 weeks
×
引用
GB/T 7714-2015
复制
MLA
复制
APA
复制
导出至
BibTeX EndNote RefMan NoteFirst NoteExpress
×
提示
您的信息不完整,为了账户安全,请先补充。
现在去补充
×
提示
您因"违规操作"
具体请查看互助需知
我知道了
×
提示
确定
请完成安全验证×
copy
已复制链接
快去分享给好友吧!
我知道了
右上角分享
点击右上角分享
0
联系我们:info@booksci.cn Book学术提供免费学术资源搜索服务,方便国内外学者检索中英文文献。致力于提供最便捷和优质的服务体验。 Copyright © 2023 布克学术 All rights reserved.
京ICP备2023020795号-1
ghs 京公网安备 11010802042870号
Book学术文献互助
Book学术文献互助群
群 号:604180095
Book学术官方微信