Intubated patient of malignant central airway obstruction due to advanced esophageal cancer on ventilator support treated with radiotherapy: a case report.

IF 1.3 Q4 ONCOLOGY
ecancermedicalscience Pub Date : 2025-04-17 eCollection Date: 2025-01-01 DOI:10.3332/ecancer.2025.1895
Shubham Dokania, Ajay K Choubey, Shashank Tiwari, Prasenjit Nath, Jhansi Pattanaik, Sambit S Nanda, Ashutosh Mukherji, Satyajit Pradhan
{"title":"Intubated patient of malignant central airway obstruction due to advanced esophageal cancer on ventilator support treated with radiotherapy: a case report.","authors":"Shubham Dokania, Ajay K Choubey, Shashank Tiwari, Prasenjit Nath, Jhansi Pattanaik, Sambit S Nanda, Ashutosh Mukherji, Satyajit Pradhan","doi":"10.3332/ecancer.2025.1895","DOIUrl":null,"url":null,"abstract":"<p><p>Malignancies, associated directly or indirectly with airways, can cause a fatal condition, called malignant central airway obstruction (MCAO). Both endoluminal and extraluminal MCAO are conventionally treated using bronchoscopy-mediated therapies, but in patients unsuitable for bronchoscopic interventions, there are very limited options, especially if the patient needs ventilator support due to the obstruction. Few patients of carcinoma lung with MCAO needing ventilator support have been treated using radiotherapy (RT), with appreciable results. Though multiple risks are associated with shifting such patients out of the intensive care unit, these steps had to be carried out when RT was deemed the only possible solution. In this rare case of carcinoma esophagus with MCAO needing ventilator support and treated with RT, we have shown how RT can be used to increase the possibility of extubation of the patient. Hence, respiratory relief and extubation were aimed and achieved with RT in this case.</p>","PeriodicalId":11460,"journal":{"name":"ecancermedicalscience","volume":"19 ","pages":"1895"},"PeriodicalIF":1.3000,"publicationDate":"2025-04-17","publicationTypes":"Journal Article","fieldsOfStudy":null,"isOpenAccess":false,"openAccessPdf":"https://www.ncbi.nlm.nih.gov/pmc/articles/PMC12149233/pdf/","citationCount":"0","resultStr":null,"platform":"Semanticscholar","paperid":null,"PeriodicalName":"ecancermedicalscience","FirstCategoryId":"1085","ListUrlMain":"https://doi.org/10.3332/ecancer.2025.1895","RegionNum":0,"RegionCategory":null,"ArticlePicture":[],"TitleCN":null,"AbstractTextCN":null,"PMCID":null,"EPubDate":"2025/1/1 0:00:00","PubModel":"eCollection","JCR":"Q4","JCRName":"ONCOLOGY","Score":null,"Total":0}
引用次数: 0

Abstract

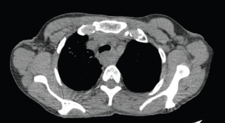
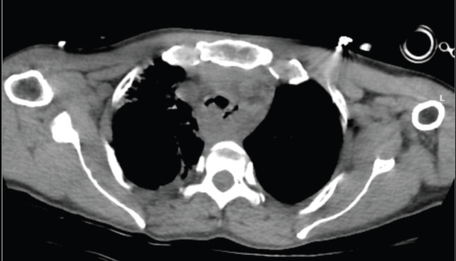
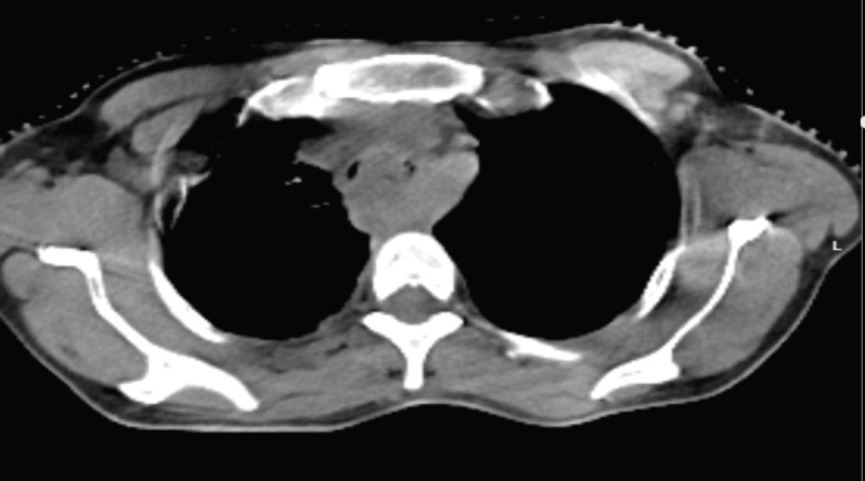
Malignancies, associated directly or indirectly with airways, can cause a fatal condition, called malignant central airway obstruction (MCAO). Both endoluminal and extraluminal MCAO are conventionally treated using bronchoscopy-mediated therapies, but in patients unsuitable for bronchoscopic interventions, there are very limited options, especially if the patient needs ventilator support due to the obstruction. Few patients of carcinoma lung with MCAO needing ventilator support have been treated using radiotherapy (RT), with appreciable results. Though multiple risks are associated with shifting such patients out of the intensive care unit, these steps had to be carried out when RT was deemed the only possible solution. In this rare case of carcinoma esophagus with MCAO needing ventilator support and treated with RT, we have shown how RT can be used to increase the possibility of extubation of the patient. Hence, respiratory relief and extubation were aimed and achieved with RT in this case.

Abstract Image

Abstract Image

Abstract Image

晚期食管癌恶性中央气道梗阻插管患者在呼吸机支持下行放疗1例。
恶性肿瘤,直接或间接与气道相关,可导致致命的情况,称为恶性中央气道阻塞(MCAO)。腔内和腔外MCAO的常规治疗方法都是使用支气管镜介导的治疗方法,但对于不适合支气管镜干预的患者,选择非常有限,特别是当患者因阻塞而需要呼吸机支持时。很少有需要呼吸机支持的MCAO肺癌患者使用放疗(RT)治疗,效果明显。尽管将这类患者转出重症监护室存在多重风险,但当RT被认为是唯一可能的解决方案时,必须执行这些步骤。在这个罕见的食管癌合并MCAO需要呼吸机支持并接受RT治疗的病例中,我们展示了如何使用RT来增加患者拔管的可能性。因此,在本病例中,呼吸缓解和拔管是通过RT实现的。
本文章由计算机程序翻译,如有差异,请以英文原文为准。
求助全文
约1分钟内获得全文 求助全文
来源期刊
CiteScore
3.80
自引率
5.60%
发文量
138
审稿时长
27 weeks
×
引用
GB/T 7714-2015
复制
MLA
复制
APA
复制
导出至
BibTeX EndNote RefMan NoteFirst NoteExpress
×
提示
您的信息不完整,为了账户安全,请先补充。
现在去补充
×
提示
您因"违规操作"
具体请查看互助需知
我知道了
×
提示
确定
请完成安全验证×
copy
已复制链接
快去分享给好友吧!
我知道了
右上角分享
点击右上角分享
0
联系我们:info@booksci.cn Book学术提供免费学术资源搜索服务,方便国内外学者检索中英文文献。致力于提供最便捷和优质的服务体验。 Copyright © 2023 布克学术 All rights reserved.
京ICP备2023020795号-1
ghs 京公网安备 11010802042870号
Book学术文献互助
Book学术文献互助群
群 号:604180095
Book学术官方微信