Clinical pathological and molecular features of 100 patients with gastric-type cervical adenocarcinoma.

IF 2.3 3区 医学 Q2 PATHOLOGY
Shangshu Gao, Yan Song
{"title":"Clinical pathological and molecular features of 100 patients with gastric-type cervical adenocarcinoma.","authors":"Shangshu Gao, Yan Song","doi":"10.1186/s13000-025-01666-7","DOIUrl":null,"url":null,"abstract":"<p><strong>Objective: </strong>To investigate the clinicopathological and molecular features, diagnosis, and differential diagnosis of gastric-type cervical adenocarcinoma (GAS).</p><p><strong>Methods: </strong>A retrospective analysis was conducted on 100 patients diagnosed with GAS at the National Cancer Center/National Clinical Research Center for Cancer/Cancer Hospital, Chinese Academy of Medical Sciences, from January 2017 to January 2025. Clinicopathological data, histological characteristics, and immunohistochemical expression patterns were analyzed. Targeted next-generation sequencing (NGS) was performed on 11 cases.</p><p><strong>Results: </strong>The cohort comprised 100 GAS patients (median age 50 years). Common clinical manifestations included abnormal uterine bleeding and vaginal discharge, with a significant proportion presenting at advanced FIGO stages (II-IV). Histological features were characteristic, and immunohistochemistry, including markers like MUC6, p16, PAX8, and PAX2, was crucial for diagnosis and differential diagnosis. Molecular analysis of 11 cases revealed a distinct high-frequency somatic mutation profile, including TP53 (72.7%), KRAS (45.5%), SMAD4 (45.5%), CDKN2A (36.4%), PIK3CA (27.3%) and STK11 (18.2%). This profile showed molecular homology with pancreaticobiliary adenocarcinoma and was characterized by microsatellite stable (MSS) and low tumor mutational burden (TMB). Regarding molecular markers and prognosis, aberrant p53 expression was frequent (50%, 37/74) but showed no significant association with clinicopathological factors or survival outcomes (p > 0.05). In contrast, PD-L1 expression (CPS ≥ 1) was significantly associated with higher FIGO stage (p = 0.021) and shorter progression-free survival (PFS) (p = 0.046).</p><p><strong>Conclusions: </strong>GAS is a highly malignant, HPV-independent cervical adenocarcinoma characterized by atypical clinical symptoms and complex histology. This study, representing a large cohort from Northern China, provides comprehensive insights into its clinicopathological and molecular landscape. We characterized its unique molecular profile and, importantly, identified PD-L1 (CPS ≥ 1) as a potential prognostic marker associated with shorter PFS. These findings contribute to improving diagnosis, understanding biological behavior, and identifying potential therapeutic targets for this aggressive subtype.</p>","PeriodicalId":11237,"journal":{"name":"Diagnostic Pathology","volume":"20 1","pages":"73"},"PeriodicalIF":2.3000,"publicationDate":"2025-06-10","publicationTypes":"Journal Article","fieldsOfStudy":null,"isOpenAccess":false,"openAccessPdf":"https://www.ncbi.nlm.nih.gov/pmc/articles/PMC12150475/pdf/","citationCount":"0","resultStr":null,"platform":"Semanticscholar","paperid":null,"PeriodicalName":"Diagnostic Pathology","FirstCategoryId":"3","ListUrlMain":"https://doi.org/10.1186/s13000-025-01666-7","RegionNum":3,"RegionCategory":"医学","ArticlePicture":[],"TitleCN":null,"AbstractTextCN":null,"PMCID":null,"EPubDate":"","PubModel":"","JCR":"Q2","JCRName":"PATHOLOGY","Score":null,"Total":0}
引用次数: 0

Abstract

Objective: To investigate the clinicopathological and molecular features, diagnosis, and differential diagnosis of gastric-type cervical adenocarcinoma (GAS).

Methods: A retrospective analysis was conducted on 100 patients diagnosed with GAS at the National Cancer Center/National Clinical Research Center for Cancer/Cancer Hospital, Chinese Academy of Medical Sciences, from January 2017 to January 2025. Clinicopathological data, histological characteristics, and immunohistochemical expression patterns were analyzed. Targeted next-generation sequencing (NGS) was performed on 11 cases.

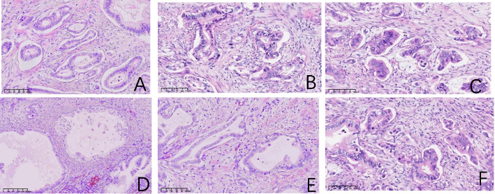
Results: The cohort comprised 100 GAS patients (median age 50 years). Common clinical manifestations included abnormal uterine bleeding and vaginal discharge, with a significant proportion presenting at advanced FIGO stages (II-IV). Histological features were characteristic, and immunohistochemistry, including markers like MUC6, p16, PAX8, and PAX2, was crucial for diagnosis and differential diagnosis. Molecular analysis of 11 cases revealed a distinct high-frequency somatic mutation profile, including TP53 (72.7%), KRAS (45.5%), SMAD4 (45.5%), CDKN2A (36.4%), PIK3CA (27.3%) and STK11 (18.2%). This profile showed molecular homology with pancreaticobiliary adenocarcinoma and was characterized by microsatellite stable (MSS) and low tumor mutational burden (TMB). Regarding molecular markers and prognosis, aberrant p53 expression was frequent (50%, 37/74) but showed no significant association with clinicopathological factors or survival outcomes (p > 0.05). In contrast, PD-L1 expression (CPS ≥ 1) was significantly associated with higher FIGO stage (p = 0.021) and shorter progression-free survival (PFS) (p = 0.046).

Conclusions: GAS is a highly malignant, HPV-independent cervical adenocarcinoma characterized by atypical clinical symptoms and complex histology. This study, representing a large cohort from Northern China, provides comprehensive insights into its clinicopathological and molecular landscape. We characterized its unique molecular profile and, importantly, identified PD-L1 (CPS ≥ 1) as a potential prognostic marker associated with shorter PFS. These findings contribute to improving diagnosis, understanding biological behavior, and identifying potential therapeutic targets for this aggressive subtype.

Abstract Image

Abstract Image

Abstract Image

100例胃型宫颈腺癌的临床病理及分子特征分析。
目的:探讨胃型宫颈腺癌(GAS)的临床病理、分子特征、诊断及鉴别诊断。方法:回顾性分析2017年1月至2025年1月在中国医学科学院肿瘤医院国家肿瘤中心/国家肿瘤临床研究中心诊断为GAS的100例患者。分析临床病理资料、组织学特征和免疫组织化学表达模式。对11例患者进行了靶向下一代测序(NGS)。结果:该队列包括100例GAS患者(中位年龄50岁)。常见临床表现为子宫异常出血和阴道分泌物,在FIGO晚期(II-IV期)出现的比例较大。组织学特征特征性,免疫组化包括MUC6、p16、PAX8、PAX2等标志物对诊断和鉴别诊断至关重要。11例患者的分子分析显示了明显的高频体细胞突变谱,包括TP53(72.7%)、KRAS(45.5%)、SMAD4(45.5%)、CDKN2A(36.4%)、PIK3CA(27.3%)和STK11(18.2%)。该基因谱与胰胆管腺癌具有分子同源性,具有微卫星稳定(MSS)和低肿瘤突变负担(TMB)的特征。在分子标志物和预后方面,p53异常表达频繁(50%,37/74),但与临床病理因素和生存结局无显著相关性(p < 0.05)。相反,PD-L1表达(CPS≥1)与较高的FIGO分期(p = 0.021)和较短的无进展生存期(PFS) (p = 0.046)显著相关。结论:GAS是一种高度恶性、不依赖hpv的宫颈腺癌,临床症状不典型,组织学复杂。这项研究,代表了来自中国北方的大型队列,提供了其临床病理和分子景观的全面见解。我们鉴定了其独特的分子谱,重要的是,确定了PD-L1 (CPS≥1)作为与较短PFS相关的潜在预后标志物。这些发现有助于提高诊断,理解生物学行为,并确定潜在的治疗靶点的侵袭性亚型。
本文章由计算机程序翻译,如有差异,请以英文原文为准。
求助全文
约1分钟内获得全文 求助全文
来源期刊
Diagnostic Pathology
Diagnostic Pathology 医学-病理学
CiteScore
4.60
自引率
0.00%
发文量
93
审稿时长
1 months
期刊介绍: Diagnostic Pathology is an open access, peer-reviewed, online journal that considers research in surgical and clinical pathology, immunology, and biology, with a special focus on cutting-edge approaches in diagnostic pathology and tissue-based therapy. The journal covers all aspects of surgical pathology, including classic diagnostic pathology, prognosis-related diagnosis (tumor stages, prognosis markers, such as MIB-percentage, hormone receptors, etc.), and therapy-related findings. The journal also focuses on the technological aspects of pathology, including molecular biology techniques, morphometry aspects (stereology, DNA analysis, syntactic structure analysis), communication aspects (telecommunication, virtual microscopy, virtual pathology institutions, etc.), and electronic education and quality assurance (for example interactive publication, on-line references with automated updating, etc.).
×
引用
GB/T 7714-2015
复制
MLA
复制
APA
复制
导出至
BibTeX EndNote RefMan NoteFirst NoteExpress
×
提示
您的信息不完整,为了账户安全,请先补充。
现在去补充
×
提示
您因"违规操作"
具体请查看互助需知
我知道了
×
提示
确定
请完成安全验证×
copy
已复制链接
快去分享给好友吧!
我知道了
右上角分享
点击右上角分享
0
联系我们:info@booksci.cn Book学术提供免费学术资源搜索服务,方便国内外学者检索中英文文献。致力于提供最便捷和优质的服务体验。 Copyright © 2023 布克学术 All rights reserved.
京ICP备2023020795号-1
ghs 京公网安备 11010802042870号
Book学术文献互助
Book学术文献互助群
群 号:604180095
Book学术官方微信