Pudendal Nerve Irritation as Unique Symptom of Pelvic Congestion Syndrome.

IF 0.9 Q4 CLINICAL NEUROLOGY
Case Reports in Neurological Medicine Pub Date : 2025-06-03 eCollection Date: 2025-01-01 DOI:10.1155/crnm/7952359
Christos Dimopoulos, Sotirios Bisdas, Theodosios Bisdas
{"title":"Pudendal Nerve Irritation as Unique Symptom of Pelvic Congestion Syndrome.","authors":"Christos Dimopoulos, Sotirios Bisdas, Theodosios Bisdas","doi":"10.1155/crnm/7952359","DOIUrl":null,"url":null,"abstract":"<p><p>Pelvic congestion syndrome (PCS) is an underdiagnosed but not rare cause of chronic pelvic pain, affecting approximately 10%-30% of women of reproductive age. It is characterized by venous insufficiency and dilation of the ovarian and pelvic veins, often presenting with symptoms that worsen during menstruation or prolonged standing, and improve in the supine position. Dyspareunia and a sensation of pelvic heaviness are also frequently reported. Neurological manifestations-such as pudendal or femoral nerve irritation-are rare but may offer key diagnostic clues. We present a case of a 30-year-old woman with right-sided pelvic pain radiating to the groin and proximal thigh, consistent with neural irritation. Magnetic neurography revealed dilated pelvic veins in close proximity to the right psoas muscle and the L5 nerve root, suggesting perineural venous engorgement. Selective venography confirmed bilateral ovarian vein insufficiency, and the patient underwent successful embolization with Ruby coils and adjunct sclerotherapy. Postoperative recovery was uneventful, with complete resolution of symptoms. Follow-up at 1 year showed no recurrence, and the patient later achieved a successful pregnancy. This case highlights the potential for pelvic venous congestion to mimic or cause neural symptoms and emphasizes the diagnostic value of magnetic neurography in complex pain presentations. Endovascular treatment proved safe and effective, even in cases with neurological involvement.</p>","PeriodicalId":9615,"journal":{"name":"Case Reports in Neurological Medicine","volume":"2025 ","pages":"7952359"},"PeriodicalIF":0.9000,"publicationDate":"2025-06-03","publicationTypes":"Journal Article","fieldsOfStudy":null,"isOpenAccess":false,"openAccessPdf":"https://www.ncbi.nlm.nih.gov/pmc/articles/PMC12151622/pdf/","citationCount":"0","resultStr":null,"platform":"Semanticscholar","paperid":null,"PeriodicalName":"Case Reports in Neurological Medicine","FirstCategoryId":"1085","ListUrlMain":"https://doi.org/10.1155/crnm/7952359","RegionNum":0,"RegionCategory":null,"ArticlePicture":[],"TitleCN":null,"AbstractTextCN":null,"PMCID":null,"EPubDate":"2025/1/1 0:00:00","PubModel":"eCollection","JCR":"Q4","JCRName":"CLINICAL NEUROLOGY","Score":null,"Total":0}
引用次数: 0

Abstract

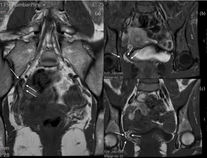
Pelvic congestion syndrome (PCS) is an underdiagnosed but not rare cause of chronic pelvic pain, affecting approximately 10%-30% of women of reproductive age. It is characterized by venous insufficiency and dilation of the ovarian and pelvic veins, often presenting with symptoms that worsen during menstruation or prolonged standing, and improve in the supine position. Dyspareunia and a sensation of pelvic heaviness are also frequently reported. Neurological manifestations-such as pudendal or femoral nerve irritation-are rare but may offer key diagnostic clues. We present a case of a 30-year-old woman with right-sided pelvic pain radiating to the groin and proximal thigh, consistent with neural irritation. Magnetic neurography revealed dilated pelvic veins in close proximity to the right psoas muscle and the L5 nerve root, suggesting perineural venous engorgement. Selective venography confirmed bilateral ovarian vein insufficiency, and the patient underwent successful embolization with Ruby coils and adjunct sclerotherapy. Postoperative recovery was uneventful, with complete resolution of symptoms. Follow-up at 1 year showed no recurrence, and the patient later achieved a successful pregnancy. This case highlights the potential for pelvic venous congestion to mimic or cause neural symptoms and emphasizes the diagnostic value of magnetic neurography in complex pain presentations. Endovascular treatment proved safe and effective, even in cases with neurological involvement.

Abstract Image

Abstract Image

阴部神经刺激是盆腔充血综合征的独特症状。
盆腔充血综合征(PCS)是一种未被诊断但并不罕见的慢性盆腔疼痛的原因,影响了大约10%-30%的育龄妇女。以卵巢和盆腔静脉功能不全、扩张为特征,常表现为月经期或长时间站立时症状加重,仰卧位时症状改善。性交困难和骨盆沉重的感觉也经常被报道。神经系统的表现,如阴部或股神经的刺激,是罕见的,但可能提供关键的诊断线索。我们提出一个病例30岁的妇女右侧骨盆疼痛放射到腹股沟和大腿近端,与神经刺激一致。磁神经造影显示骨盆静脉扩张靠近右侧腰肌和L5神经根,提示神经周围静脉充血。选择性静脉造影证实双侧卵巢静脉功能不全,患者成功接受Ruby线圈栓塞和辅助硬化治疗。术后恢复顺利,症状完全缓解。随访1年未见复发,患者妊娠成功。本病例强调盆腔静脉充血可能模仿或引起神经症状,并强调磁神经造影在复杂疼痛表现中的诊断价值。血管内治疗被证明是安全有效的,即使在神经系统受累的情况下也是如此。
本文章由计算机程序翻译,如有差异,请以英文原文为准。
求助全文
约1分钟内获得全文 求助全文
来源期刊
自引率
0.00%
发文量
26
审稿时长
11 weeks
×
引用
GB/T 7714-2015
复制
MLA
复制
APA
复制
导出至
BibTeX EndNote RefMan NoteFirst NoteExpress
×
提示
您的信息不完整,为了账户安全,请先补充。
现在去补充
×
提示
您因"违规操作"
具体请查看互助需知
我知道了
×
提示
确定
请完成安全验证×
copy
已复制链接
快去分享给好友吧!
我知道了
右上角分享
点击右上角分享
0
联系我们:info@booksci.cn Book学术提供免费学术资源搜索服务,方便国内外学者检索中英文文献。致力于提供最便捷和优质的服务体验。 Copyright © 2023 布克学术 All rights reserved.
京ICP备2023020795号-1
ghs 京公网安备 11010802042870号
Book学术文献互助
Book学术文献互助群
群 号:604180095
Book学术官方微信