Anti-NMDAR Encephalitis With Serial Negative MRI Findings: An Evaluation Using Autoimmune Psychosis Criteria.

IF 0.9 Q4 CLINICAL NEUROLOGY
Case Reports in Neurological Medicine Pub Date : 2025-06-02 eCollection Date: 2025-01-01 DOI:10.1155/crnm/4561447
Satoshi Saito, Go Taniguchi, Chihiro Nakata, Hideo Kato, Mao Otake, Masahiro Umeda, Yuichiro Fuji, Eiji Nakagawa
{"title":"Anti-NMDAR Encephalitis With Serial Negative MRI Findings: An Evaluation Using Autoimmune Psychosis Criteria.","authors":"Satoshi Saito, Go Taniguchi, Chihiro Nakata, Hideo Kato, Mao Otake, Masahiro Umeda, Yuichiro Fuji, Eiji Nakagawa","doi":"10.1155/crnm/4561447","DOIUrl":null,"url":null,"abstract":"<p><p>Autoimmune psychosis criteria have been proposed for autoimmune encephalitis with prominent psychiatric symptoms as an alternative to biomarker-based diagnostic approaches such as the Graus criteria. We present a case of anti-N-methyl-D-aspartate receptor (NMDAR) encephalitis that was initially misdiagnosed as a psychiatric disorder due to serial negative MRI findings and subsequently re-evaluated correctly using autoimmune psychosis criteria. A 15-year-old male developed sudden-onset generalized convulsive seizures that increased progressively in frequency and fluctuating psychiatric symptoms that gradually worsened to include reduced reactivity, language deterioration, and catatonia. On admission, both brain MRI and cerebral spinal fluid (CSF) findings were unremarkable; however, autoimmune encephalitis was strongly suspected based on autoimmune psychosis criteria and subsequently confirmed by detection of oligoclonal bands (OCBs) and anti-NMDAR antibodies in the serum and CSF. Repeated steroid pulse therapy resulted in significant clinical improvement. The patient met multiple autoimmune psychosis criteria, including subacute onset of psychiatric symptoms, catatonia, disproportionate cognitive dysfunction, decreased level of consciousness, and the emergence of seizures. These features are not typically present in primary psychiatric disorders. Anti-NMDAR encephalitis can present with a variety of symptoms, complicating its differentiation from primary psychiatric conditions. The application of autoimmune psychosis criteria may serve as a valuable diagnostic aid, particularly when MRI findings are repeatedly negative.</p>","PeriodicalId":9615,"journal":{"name":"Case Reports in Neurological Medicine","volume":"2025 ","pages":"4561447"},"PeriodicalIF":0.9000,"publicationDate":"2025-06-02","publicationTypes":"Journal Article","fieldsOfStudy":null,"isOpenAccess":false,"openAccessPdf":"https://www.ncbi.nlm.nih.gov/pmc/articles/PMC12149510/pdf/","citationCount":"0","resultStr":null,"platform":"Semanticscholar","paperid":null,"PeriodicalName":"Case Reports in Neurological Medicine","FirstCategoryId":"1085","ListUrlMain":"https://doi.org/10.1155/crnm/4561447","RegionNum":0,"RegionCategory":null,"ArticlePicture":[],"TitleCN":null,"AbstractTextCN":null,"PMCID":null,"EPubDate":"2025/1/1 0:00:00","PubModel":"eCollection","JCR":"Q4","JCRName":"CLINICAL NEUROLOGY","Score":null,"Total":0}
引用次数: 0

Abstract

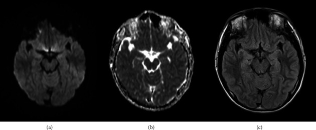
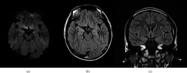
Autoimmune psychosis criteria have been proposed for autoimmune encephalitis with prominent psychiatric symptoms as an alternative to biomarker-based diagnostic approaches such as the Graus criteria. We present a case of anti-N-methyl-D-aspartate receptor (NMDAR) encephalitis that was initially misdiagnosed as a psychiatric disorder due to serial negative MRI findings and subsequently re-evaluated correctly using autoimmune psychosis criteria. A 15-year-old male developed sudden-onset generalized convulsive seizures that increased progressively in frequency and fluctuating psychiatric symptoms that gradually worsened to include reduced reactivity, language deterioration, and catatonia. On admission, both brain MRI and cerebral spinal fluid (CSF) findings were unremarkable; however, autoimmune encephalitis was strongly suspected based on autoimmune psychosis criteria and subsequently confirmed by detection of oligoclonal bands (OCBs) and anti-NMDAR antibodies in the serum and CSF. Repeated steroid pulse therapy resulted in significant clinical improvement. The patient met multiple autoimmune psychosis criteria, including subacute onset of psychiatric symptoms, catatonia, disproportionate cognitive dysfunction, decreased level of consciousness, and the emergence of seizures. These features are not typically present in primary psychiatric disorders. Anti-NMDAR encephalitis can present with a variety of symptoms, complicating its differentiation from primary psychiatric conditions. The application of autoimmune psychosis criteria may serve as a valuable diagnostic aid, particularly when MRI findings are repeatedly negative.

Abstract Image

Abstract Image

Abstract Image

具有一系列MRI阴性表现的抗nmdar脑炎:使用自身免疫性精神病标准的评估
自身免疫性精神病标准已被提出用于具有突出精神症状的自身免疫性脑炎,作为基于生物标志物的诊断方法(如Graus标准)的替代方法。我们报告了一例抗n -甲基- d -天冬氨酸受体(NMDAR)脑炎,由于一系列MRI阴性结果,最初被误诊为精神疾病,随后使用自身免疫性精神病标准重新正确评估。15岁男性突发全身性惊厥发作,频率逐渐增加,精神症状波动,逐渐恶化,包括反应性降低、语言退化和紧张症。入院时,脑MRI和脑脊液(CSF)检查结果均无明显差异;然而,根据自身免疫性精神病标准,自身免疫性脑炎被强烈怀疑,随后通过检测血清和脑脊液中的寡克隆带(ocb)和抗nmdar抗体得到证实。反复类固醇脉冲治疗导致显著的临床改善。患者符合多种自身免疫性精神病标准,包括亚急性发作的精神症状、紧张症、不相称的认知功能障碍、意识水平下降和癫痫发作的出现。这些特征在原发性精神疾病中并不典型。抗nmdar脑炎可表现出多种症状,使其与原发性精神疾病的区分复杂化。应用自身免疫性精神病标准可作为有价值的诊断辅助,特别是当MRI结果反复阴性时。
本文章由计算机程序翻译,如有差异,请以英文原文为准。
求助全文
约1分钟内获得全文 求助全文
来源期刊
自引率
0.00%
发文量
26
审稿时长
11 weeks
×
引用
GB/T 7714-2015
复制
MLA
复制
APA
复制
导出至
BibTeX EndNote RefMan NoteFirst NoteExpress
×
提示
您的信息不完整,为了账户安全,请先补充。
现在去补充
×
提示
您因"违规操作"
具体请查看互助需知
我知道了
×
提示
确定
请完成安全验证×
copy
已复制链接
快去分享给好友吧!
我知道了
右上角分享
点击右上角分享
0
联系我们:info@booksci.cn Book学术提供免费学术资源搜索服务,方便国内外学者检索中英文文献。致力于提供最便捷和优质的服务体验。 Copyright © 2023 布克学术 All rights reserved.
京ICP备2023020795号-1
ghs 京公网安备 11010802042870号
Book学术文献互助
Book学术文献互助群
群 号:604180095
Book学术官方微信