Evaluating Sacrococcygeal Teratoma in an Adult Female: A Case Report.

IF 0.5 Q4 SURGERY
Case Reports in Surgery Pub Date : 2025-06-02 eCollection Date: 2025-01-01 DOI:10.1155/cris/4512252
Dikshanta Acharya, Aashis Poudel, Aashish Giri, Dinuj Shrestha, Rupesh Raut
{"title":"Evaluating Sacrococcygeal Teratoma in an Adult Female: A Case Report.","authors":"Dikshanta Acharya, Aashis Poudel, Aashish Giri, Dinuj Shrestha, Rupesh Raut","doi":"10.1155/cris/4512252","DOIUrl":null,"url":null,"abstract":"<p><p>Sacrococcygeal teratomas are rare in adults, despite being common in infants. Adult presentations are often asymptomatic and may go undetected until complications arise. We report a case of a 20-year-old female with a long-standing sacral swelling. Imaging revealed a large, well-circumscribed mixed solid-cystic mass in the presacral region causing displacement of pelvic structures. Surgical excision of the tumor was done along with the surrounding rectal wall. Early surgical intervention is essential to prevent malignant transformation and optimize outcomes.</p>","PeriodicalId":9600,"journal":{"name":"Case Reports in Surgery","volume":"2025 ","pages":"4512252"},"PeriodicalIF":0.5000,"publicationDate":"2025-06-02","publicationTypes":"Journal Article","fieldsOfStudy":null,"isOpenAccess":false,"openAccessPdf":"https://www.ncbi.nlm.nih.gov/pmc/articles/PMC12149473/pdf/","citationCount":"0","resultStr":null,"platform":"Semanticscholar","paperid":null,"PeriodicalName":"Case Reports in Surgery","FirstCategoryId":"1085","ListUrlMain":"https://doi.org/10.1155/cris/4512252","RegionNum":0,"RegionCategory":null,"ArticlePicture":[],"TitleCN":null,"AbstractTextCN":null,"PMCID":null,"EPubDate":"2025/1/1 0:00:00","PubModel":"eCollection","JCR":"Q4","JCRName":"SURGERY","Score":null,"Total":0}
引用次数: 0

Abstract

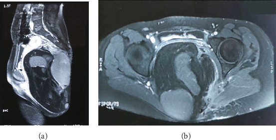
Sacrococcygeal teratomas are rare in adults, despite being common in infants. Adult presentations are often asymptomatic and may go undetected until complications arise. We report a case of a 20-year-old female with a long-standing sacral swelling. Imaging revealed a large, well-circumscribed mixed solid-cystic mass in the presacral region causing displacement of pelvic structures. Surgical excision of the tumor was done along with the surrounding rectal wall. Early surgical intervention is essential to prevent malignant transformation and optimize outcomes.

Abstract Image

Abstract Image

Abstract Image

成年女性骶尾骨畸胎瘤的评估:1例报告。
骶尾骨畸胎瘤在成人中很少见,尽管在婴儿中很常见。成人的表现通常是无症状的,在出现并发症之前可能不会被发现。我们报告一例20岁的女性长期骶骨肿胀。影像学显示骶前区有一个大的、界限清楚的混合实性囊性肿块,引起骨盆结构移位。手术切除肿瘤及周围直肠壁。早期手术干预对于预防恶性转化和优化预后至关重要。
本文章由计算机程序翻译,如有差异,请以英文原文为准。
求助全文
约1分钟内获得全文 求助全文
来源期刊
自引率
0.00%
发文量
60
审稿时长
13 weeks
×
引用
GB/T 7714-2015
复制
MLA
复制
APA
复制
导出至
BibTeX EndNote RefMan NoteFirst NoteExpress
×
提示
您的信息不完整,为了账户安全,请先补充。
现在去补充
×
提示
您因"违规操作"
具体请查看互助需知
我知道了
×
提示
确定
请完成安全验证×
copy
已复制链接
快去分享给好友吧!
我知道了
右上角分享
点击右上角分享
0
联系我们:info@booksci.cn Book学术提供免费学术资源搜索服务,方便国内外学者检索中英文文献。致力于提供最便捷和优质的服务体验。 Copyright © 2023 布克学术 All rights reserved.
京ICP备2023020795号-1
ghs 京公网安备 11010802042870号
Book学术文献互助
Book学术文献互助群
群 号:604180095
Book学术官方微信