A Large Intramural Lipoma Causing Asymptomatic Colocolic Intussusception in an Adult.

IF 0.5 Q4 SURGERY
Case Reports in Surgery Pub Date : 2025-06-02 eCollection Date: 2025-01-01 DOI:10.1155/cris/9950558
L Keiber, B Geissler, M Anthuber
{"title":"A Large Intramural Lipoma Causing Asymptomatic Colocolic Intussusception in an Adult.","authors":"L Keiber, B Geissler, M Anthuber","doi":"10.1155/cris/9950558","DOIUrl":null,"url":null,"abstract":"<p><p><b>Background:</b> Intestinal intussusception is a common condition in children, and the cause is often idiopathic. In contrast, adult intussusception is rather rare and almost always secondary due to an underlying condition such as a tumor, inflammatory disease, or a diverticulum. Hence, the treatment almost always is surgical resection of the lesion. <b>Methods:</b> We retrospectively analyzed a case of asymptomatic intussusception in a male adult using patient data retrieved from the hospital patient database. This includes findings from both physical and radiological and endoscopical examinations. The patient was contacted 4 weeks and 6 months postsurgery for a clinical follow-up. <b>Aim:</b> Until this day, there is no guideline regarding the underlying pathology. Hence, this case report wants to contribute to a field where there is only insufficient patient data. <b>Results and Discussion:</b> We presented a case of colocolic intussusception in an adult caused by a large intramural lipoma. After a full gastrointestinal diagnostic protocol and interdisciplinary case discussion, we decided to offer surgical resection, from which the patient recovered quickly. The benign nature of the tumor and the complete lack of symptoms despite significant tumor size make this case particularly interesting. We emphasize the need for a larger study group to create robust data that aid in creating care guidelines.</p>","PeriodicalId":9600,"journal":{"name":"Case Reports in Surgery","volume":"2025 ","pages":"9950558"},"PeriodicalIF":0.5000,"publicationDate":"2025-06-02","publicationTypes":"Journal Article","fieldsOfStudy":null,"isOpenAccess":false,"openAccessPdf":"https://www.ncbi.nlm.nih.gov/pmc/articles/PMC12149474/pdf/","citationCount":"0","resultStr":null,"platform":"Semanticscholar","paperid":null,"PeriodicalName":"Case Reports in Surgery","FirstCategoryId":"1085","ListUrlMain":"https://doi.org/10.1155/cris/9950558","RegionNum":0,"RegionCategory":null,"ArticlePicture":[],"TitleCN":null,"AbstractTextCN":null,"PMCID":null,"EPubDate":"2025/1/1 0:00:00","PubModel":"eCollection","JCR":"Q4","JCRName":"SURGERY","Score":null,"Total":0}
引用次数: 0

Abstract

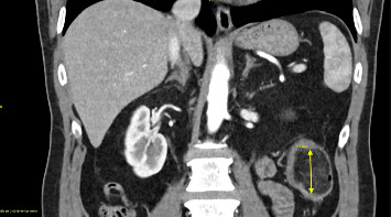
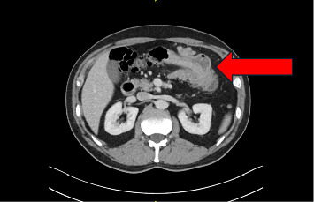
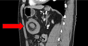
Background: Intestinal intussusception is a common condition in children, and the cause is often idiopathic. In contrast, adult intussusception is rather rare and almost always secondary due to an underlying condition such as a tumor, inflammatory disease, or a diverticulum. Hence, the treatment almost always is surgical resection of the lesion. Methods: We retrospectively analyzed a case of asymptomatic intussusception in a male adult using patient data retrieved from the hospital patient database. This includes findings from both physical and radiological and endoscopical examinations. The patient was contacted 4 weeks and 6 months postsurgery for a clinical follow-up. Aim: Until this day, there is no guideline regarding the underlying pathology. Hence, this case report wants to contribute to a field where there is only insufficient patient data. Results and Discussion: We presented a case of colocolic intussusception in an adult caused by a large intramural lipoma. After a full gastrointestinal diagnostic protocol and interdisciplinary case discussion, we decided to offer surgical resection, from which the patient recovered quickly. The benign nature of the tumor and the complete lack of symptoms despite significant tumor size make this case particularly interesting. We emphasize the need for a larger study group to create robust data that aid in creating care guidelines.

Abstract Image

Abstract Image

Abstract Image

成人无症状结肠肠套叠的腹腔内大脂肪瘤。
背景:肠套叠是儿童的常见病,其病因往往是特发性的。相比之下,成人肠套叠是相当罕见的,几乎总是继发性的,由于潜在的条件,如肿瘤,炎症性疾病,或憩室。因此,治疗几乎总是手术切除病变。方法:我们回顾性分析了一例无症状肠套叠的男性成人使用患者资料从医院的病人数据库检索。这包括物理检查、放射检查和内窥镜检查的结果。术后4周和6个月与患者联系进行临床随访。目的:直到今天,还没有关于潜在病理的指南。因此,本病例报告希望为患者数据不足的领域做出贡献。结果和讨论:我们报告了一例由大肠壁内脂肪瘤引起的成人结肠肠套叠。经过完整的胃肠道诊断方案和跨学科病例讨论,我们决定进行手术切除,患者很快恢复。尽管肿瘤很大,但肿瘤的良性性质和完全没有症状使这个病例特别有趣。我们强调需要一个更大的研究小组来创建可靠的数据,以帮助制定护理指南。
本文章由计算机程序翻译,如有差异,请以英文原文为准。
求助全文
约1分钟内获得全文 求助全文
来源期刊
自引率
0.00%
发文量
60
审稿时长
13 weeks
×
引用
GB/T 7714-2015
复制
MLA
复制
APA
复制
导出至
BibTeX EndNote RefMan NoteFirst NoteExpress
×
提示
您的信息不完整,为了账户安全,请先补充。
现在去补充
×
提示
您因"违规操作"
具体请查看互助需知
我知道了
×
提示
确定
请完成安全验证×
copy
已复制链接
快去分享给好友吧!
我知道了
右上角分享
点击右上角分享
0
联系我们:info@booksci.cn Book学术提供免费学术资源搜索服务,方便国内外学者检索中英文文献。致力于提供最便捷和优质的服务体验。 Copyright © 2023 布克学术 All rights reserved.
京ICP备2023020795号-1
ghs 京公网安备 11010802042870号
Book学术文献互助
Book学术文献互助群
群 号:604180095
Book学术官方微信