Primary renal diffuse large B-cell lymphoma presenting as new-onset kidney failure.

IF 2.6 3区 医学 Q1 PEDIATRICS
Pediatric Nephrology Pub Date : 2025-10-01 Epub Date: 2025-06-10 DOI:10.1007/s00467-025-06833-y
Massimiliano Bertacchi, Lea Vasey, Alexandra Wilhelm-Bals, Anne-Laure Rougemont, Frederic Baleydier, Paloma Parvex
{"title":"Primary renal diffuse large B-cell lymphoma presenting as new-onset kidney failure.","authors":"Massimiliano Bertacchi, Lea Vasey, Alexandra Wilhelm-Bals, Anne-Laure Rougemont, Frederic Baleydier, Paloma Parvex","doi":"10.1007/s00467-025-06833-y","DOIUrl":null,"url":null,"abstract":"<p><strong>Background: </strong>Primary renal lymphoma is a rare form of kidney tumor, accounting for less than 1% of all kidney masses, and with only a few pediatric cases reported in the literature. Bilateral forms can present with kidney failure, constituting a therapeutic challenge for both hematologists and nephrologists, with the need to combine complex chemotherapy regimens and kidney replacement therapy.</p><p><strong>Methods: </strong>We present a rare case of primary bilateral renal diffuse large B-cell lymphoma in a teenage girl presenting with kidney failure (eGFR of 7 ml/min/1.73 m<sup>2</sup>), proposing a practical approach to optimize chemotherapy on kidney replacement therapy. We discuss diagnostic methods, the management and adjustment of chemotherapy and hyperhydration protocols, and the tailoring of highly efficient hemodiafiltration sessions to grant sufficient drug exposure while avoiding drug accumulation and toxicity in the context of kidney failure.</p><p><strong>Results: </strong>This approach permitted a substantial reduction of chemotherapy adverse effects while inducing remission and partial recovery of kidney function in our patient, with hemodialysis discontinuation after 6 months, and an eGFR that had improved to 28 ml/min/1.73 m<sup>2</sup> at 12 months.</p><p><strong>Conclusions: </strong>Managing complex chemotherapy protocols in kidney failure can be challenging, and the collaboration of a multidisciplinary team is essential. The adjustment of drug dosing and the tailoring of hemodialysis can increase patients' tolerance while maintaining chemotherapy efficiency.</p>","PeriodicalId":19735,"journal":{"name":"Pediatric Nephrology","volume":" ","pages":"3181-3186"},"PeriodicalIF":2.6000,"publicationDate":"2025-10-01","publicationTypes":"Journal Article","fieldsOfStudy":null,"isOpenAccess":false,"openAccessPdf":"https://www.ncbi.nlm.nih.gov/pmc/articles/PMC12401750/pdf/","citationCount":"0","resultStr":null,"platform":"Semanticscholar","paperid":null,"PeriodicalName":"Pediatric Nephrology","FirstCategoryId":"3","ListUrlMain":"https://doi.org/10.1007/s00467-025-06833-y","RegionNum":3,"RegionCategory":"医学","ArticlePicture":[],"TitleCN":null,"AbstractTextCN":null,"PMCID":null,"EPubDate":"2025/6/10 0:00:00","PubModel":"Epub","JCR":"Q1","JCRName":"PEDIATRICS","Score":null,"Total":0}
引用次数: 0

Abstract

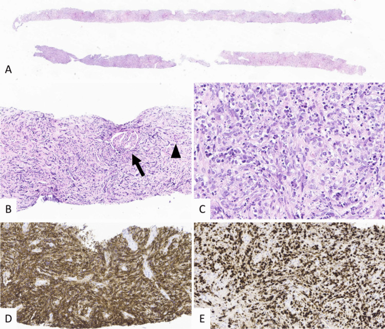
Background: Primary renal lymphoma is a rare form of kidney tumor, accounting for less than 1% of all kidney masses, and with only a few pediatric cases reported in the literature. Bilateral forms can present with kidney failure, constituting a therapeutic challenge for both hematologists and nephrologists, with the need to combine complex chemotherapy regimens and kidney replacement therapy.

Methods: We present a rare case of primary bilateral renal diffuse large B-cell lymphoma in a teenage girl presenting with kidney failure (eGFR of 7 ml/min/1.73 m2), proposing a practical approach to optimize chemotherapy on kidney replacement therapy. We discuss diagnostic methods, the management and adjustment of chemotherapy and hyperhydration protocols, and the tailoring of highly efficient hemodiafiltration sessions to grant sufficient drug exposure while avoiding drug accumulation and toxicity in the context of kidney failure.

Results: This approach permitted a substantial reduction of chemotherapy adverse effects while inducing remission and partial recovery of kidney function in our patient, with hemodialysis discontinuation after 6 months, and an eGFR that had improved to 28 ml/min/1.73 m2 at 12 months.

Conclusions: Managing complex chemotherapy protocols in kidney failure can be challenging, and the collaboration of a multidisciplinary team is essential. The adjustment of drug dosing and the tailoring of hemodialysis can increase patients' tolerance while maintaining chemotherapy efficiency.

Abstract Image

Abstract Image

Abstract Image

原发性肾弥漫性大b细胞淋巴瘤表现为新发肾衰竭。
背景:原发性肾淋巴瘤是一种罕见的肾脏肿瘤,占所有肾脏肿块的不到1%,文献中仅有少数儿科病例报道。双侧形式可表现为肾衰竭,对血液学家和肾病学家构成治疗挑战,需要结合复杂的化疗方案和肾脏替代治疗。方法:我们报告一例罕见的原发性双侧肾弥漫性大b细胞淋巴瘤,以肾衰竭为表现(eGFR为7 ml/min/1.73 m2),提出了一种优化肾脏替代治疗化疗的实用方法。我们讨论了诊断方法,化疗和高水合治疗方案的管理和调整,以及在肾衰竭的情况下,高效血液滤过的剪裁,以给予足够的药物暴露,同时避免药物积累和毒性。结果:该方法大大减少了化疗不良反应,同时诱导患者缓解和部分肾功能恢复,6个月后血液透析停止,12个月时eGFR改善至28 ml/min/1.73 m2。结论:管理复杂的肾衰竭化疗方案是具有挑战性的,多学科团队的合作是必不可少的。药物剂量的调整和血液透析的量身定制可以在保持化疗效率的同时增加患者的耐受性。
本文章由计算机程序翻译,如有差异,请以英文原文为准。
求助全文
约1分钟内获得全文 求助全文
来源期刊
Pediatric Nephrology
Pediatric Nephrology 医学-泌尿学与肾脏学
CiteScore
4.70
自引率
20.00%
发文量
465
审稿时长
1 months
期刊介绍: International Pediatric Nephrology Association Pediatric Nephrology publishes original clinical research related to acute and chronic diseases that affect renal function, blood pressure, and fluid and electrolyte disorders in children. Studies may involve medical, surgical, nutritional, physiologic, biochemical, genetic, pathologic or immunologic aspects of disease, imaging techniques or consequences of acute or chronic kidney disease. There are 12 issues per year that contain Editorial Commentaries, Reviews, Educational Reviews, Original Articles, Brief Reports, Rapid Communications, Clinical Quizzes, and Letters to the Editors.
×
引用
GB/T 7714-2015
复制
MLA
复制
APA
复制
导出至
BibTeX EndNote RefMan NoteFirst NoteExpress
×
提示
您的信息不完整,为了账户安全,请先补充。
现在去补充
×
提示
您因"违规操作"
具体请查看互助需知
我知道了
×
提示
确定
请完成安全验证×
copy
已复制链接
快去分享给好友吧!
我知道了
右上角分享
点击右上角分享
0
联系我们:info@booksci.cn Book学术提供免费学术资源搜索服务,方便国内外学者检索中英文文献。致力于提供最便捷和优质的服务体验。 Copyright © 2023 布克学术 All rights reserved.
京ICP备2023020795号-1
ghs 京公网安备 11010802042870号
Book学术文献互助
Book学术文献互助群
群 号:604180095
Book学术官方微信