Intramuscular orbital schwannoma: case report and review of the literature.

IF 0.9
Frontiers in ophthalmology Pub Date : 2025-05-23 eCollection Date: 2025-01-01 DOI:10.3389/fopht.2025.1586465
Hammam A Alotaibi, Firas Madani, Rawan N Althaqib, Hamad M AlSulaiman
{"title":"Intramuscular orbital schwannoma: case report and review of the literature.","authors":"Hammam A Alotaibi, Firas Madani, Rawan N Althaqib, Hamad M AlSulaiman","doi":"10.3389/fopht.2025.1586465","DOIUrl":null,"url":null,"abstract":"<p><p>Orbital schwannomas are benign tumors that arise from Schwann cells in the peripheral nerves in the orbit. They typically present after the second decade of life given their slow growth and rarely before then. Diagnosis is based on clinical course and specific imaging modalities; however, the definitive diagnosis is by lesion biopsy. Surgical removal is typically curative. Herein we present the case of an 8-year-old boy with proptosis and diplopia where he exhibited the clinical findings of an orbital mass, however, the characteristic picture of orbital schwannoma was observed on imaging yet found within the inferior rectus muscle, a rare finding indeed.</p>","PeriodicalId":73096,"journal":{"name":"Frontiers in ophthalmology","volume":"5 ","pages":"1586465"},"PeriodicalIF":0.9000,"publicationDate":"2025-05-23","publicationTypes":"Journal Article","fieldsOfStudy":null,"isOpenAccess":false,"openAccessPdf":"https://www.ncbi.nlm.nih.gov/pmc/articles/PMC12140979/pdf/","citationCount":"0","resultStr":null,"platform":"Semanticscholar","paperid":null,"PeriodicalName":"Frontiers in ophthalmology","FirstCategoryId":"1085","ListUrlMain":"https://doi.org/10.3389/fopht.2025.1586465","RegionNum":0,"RegionCategory":null,"ArticlePicture":[],"TitleCN":null,"AbstractTextCN":null,"PMCID":null,"EPubDate":"2025/1/1 0:00:00","PubModel":"eCollection","JCR":"","JCRName":"","Score":null,"Total":0}
引用次数: 0

Abstract

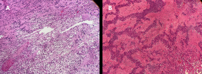
Orbital schwannomas are benign tumors that arise from Schwann cells in the peripheral nerves in the orbit. They typically present after the second decade of life given their slow growth and rarely before then. Diagnosis is based on clinical course and specific imaging modalities; however, the definitive diagnosis is by lesion biopsy. Surgical removal is typically curative. Herein we present the case of an 8-year-old boy with proptosis and diplopia where he exhibited the clinical findings of an orbital mass, however, the characteristic picture of orbital schwannoma was observed on imaging yet found within the inferior rectus muscle, a rare finding indeed.

Abstract Image

Abstract Image

Abstract Image

眼眶肌内神经鞘瘤一例报告及文献复习。
眼眶神经鞘瘤是由眼眶周围神经的雪旺细胞引起的良性肿瘤。由于生长缓慢,它们通常在生命的第二个十年之后出现,很少在此之前出现。诊断是基于临床过程和特定的成像模式;然而,明确的诊断是通过病变活检。手术切除是典型的治疗方法。在此,我们报告一例8岁男孩的突出和复视,他的临床表现为眼眶肿块,然而,在影像学上观察到眼眶神经鞘瘤的特征,但在下直肌内发现,确实是罕见的发现。
本文章由计算机程序翻译,如有差异,请以英文原文为准。
求助全文
约1分钟内获得全文 求助全文
来源期刊
CiteScore
0.50
自引率
0.00%
发文量
0
×
引用
GB/T 7714-2015
复制
MLA
复制
APA
复制
导出至
BibTeX EndNote RefMan NoteFirst NoteExpress
×
提示
您的信息不完整,为了账户安全,请先补充。
现在去补充
×
提示
您因"违规操作"
具体请查看互助需知
我知道了
×
提示
确定
请完成安全验证×
copy
已复制链接
快去分享给好友吧!
我知道了
右上角分享
点击右上角分享
0
联系我们:info@booksci.cn Book学术提供免费学术资源搜索服务,方便国内外学者检索中英文文献。致力于提供最便捷和优质的服务体验。 Copyright © 2023 布克学术 All rights reserved.
京ICP备2023020795号-1
ghs 京公网安备 11010802042870号
Book学术文献互助
Book学术文献互助群
群 号:604180095
Book学术官方微信