Imaging patterns and recommendations for diagnosis, staging, and management of lung cancer.

IF 2.1
BJR open Pub Date : 2025-05-21 eCollection Date: 2025-01-01 DOI:10.1093/bjro/tzaf013
Nivedita Chakrabarty, Abhishek Mahajan, Nitin Shetty, Naveen Mummudi, Devyani Niyogi, Falguni Hota, Deepak Dabkara, Reefath Jebraj, Nilendu Purandare, Vanita Noronha, Ashu Bhalla, Kumar Prabhash
{"title":"Imaging patterns and recommendations for diagnosis, staging, and management of lung cancer.","authors":"Nivedita Chakrabarty, Abhishek Mahajan, Nitin Shetty, Naveen Mummudi, Devyani Niyogi, Falguni Hota, Deepak Dabkara, Reefath Jebraj, Nilendu Purandare, Vanita Noronha, Ashu Bhalla, Kumar Prabhash","doi":"10.1093/bjro/tzaf013","DOIUrl":null,"url":null,"abstract":"<p><p>Lung cancer is the second most commonly diagnosed cancer worldwide. In the present era of targeted therapy for various lung cancer mutations, it is essential to be aware of the imaging correlates of various lung cancer mutations on contrast enhanced computed tomography of thorax. In this article, we have discussed the imaging patterns of various types of lung cancer including different mutations and also comprehensively reviewed the imaging recommendations (National Comprehensive Cancer Network [NCCN], European Society of Medical Oncology [ESMO] and American Society of Clinical Oncology [ASCO]) and management guidelines of lung cancer (non-small cell, small cell and other neuroendocrine tumours). We have also discussed guidelines for screening, diagnosis, staging (recent 9th edition tumour node metastasis [TNM]), treatment response evaluation, and follow up. Role of interventional radiology in the treatment of primary lung cancer, lung metastasis, and management of posttreatment complications, have also been described in detail in this article. In addition, current status of artificial intelligence in lung cancer has also been briefly discussed.</p>","PeriodicalId":72419,"journal":{"name":"BJR open","volume":"7 1","pages":"tzaf013"},"PeriodicalIF":2.1000,"publicationDate":"2025-05-21","publicationTypes":"Journal Article","fieldsOfStudy":null,"isOpenAccess":false,"openAccessPdf":"https://www.ncbi.nlm.nih.gov/pmc/articles/PMC12145177/pdf/","citationCount":"0","resultStr":null,"platform":"Semanticscholar","paperid":null,"PeriodicalName":"BJR open","FirstCategoryId":"1085","ListUrlMain":"https://doi.org/10.1093/bjro/tzaf013","RegionNum":0,"RegionCategory":null,"ArticlePicture":[],"TitleCN":null,"AbstractTextCN":null,"PMCID":null,"EPubDate":"2025/1/1 0:00:00","PubModel":"eCollection","JCR":"","JCRName":"","Score":null,"Total":0}
引用次数: 0

Abstract

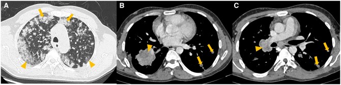
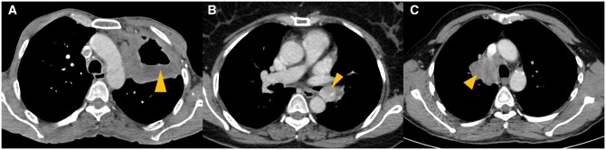
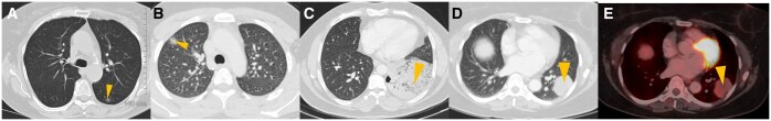
Lung cancer is the second most commonly diagnosed cancer worldwide. In the present era of targeted therapy for various lung cancer mutations, it is essential to be aware of the imaging correlates of various lung cancer mutations on contrast enhanced computed tomography of thorax. In this article, we have discussed the imaging patterns of various types of lung cancer including different mutations and also comprehensively reviewed the imaging recommendations (National Comprehensive Cancer Network [NCCN], European Society of Medical Oncology [ESMO] and American Society of Clinical Oncology [ASCO]) and management guidelines of lung cancer (non-small cell, small cell and other neuroendocrine tumours). We have also discussed guidelines for screening, diagnosis, staging (recent 9th edition tumour node metastasis [TNM]), treatment response evaluation, and follow up. Role of interventional radiology in the treatment of primary lung cancer, lung metastasis, and management of posttreatment complications, have also been described in detail in this article. In addition, current status of artificial intelligence in lung cancer has also been briefly discussed.

Abstract Image

Abstract Image

Abstract Image

肺癌的诊断、分期和治疗的影像学模式和建议。
肺癌是世界上第二常见的癌症。在目前针对各种肺癌突变进行靶向治疗的时代,了解胸腔增强ct上各种肺癌突变的影像学相关性是至关重要的。在本文中,我们讨论了包括不同突变在内的各种类型肺癌的影像学模式,并全面回顾了美国国家综合癌症网络(National Comprehensive cancer Network, NCCN)、欧洲肿瘤医学学会(European Society of Medical Oncology, ESMO)和美国临床肿瘤学会(American Society of Clinical Oncology, ASCO)的影像学建议和肺癌(非小细胞、小细胞和其他神经内分泌肿瘤)的治疗指南。我们还讨论了筛查、诊断、分期(最近的第9版肿瘤淋巴结转移[TNM])、治疗反应评估和随访的指南。介入放射学在原发性肺癌的治疗、肺转移和治疗后并发症的处理中的作用也在本文中有详细的描述。此外,对人工智能在肺癌中的研究现状也进行了简要的探讨。
本文章由计算机程序翻译,如有差异,请以英文原文为准。
求助全文
约1分钟内获得全文 求助全文
来源期刊
自引率
0.00%
发文量
0
审稿时长
18 weeks
×
引用
GB/T 7714-2015
复制
MLA
复制
APA
复制
导出至
BibTeX EndNote RefMan NoteFirst NoteExpress
×
提示
您的信息不完整,为了账户安全,请先补充。
现在去补充
×
提示
您因"违规操作"
具体请查看互助需知
我知道了
×
提示
确定
请完成安全验证×
copy
已复制链接
快去分享给好友吧!
我知道了
右上角分享
点击右上角分享
0
联系我们:info@booksci.cn Book学术提供免费学术资源搜索服务,方便国内外学者检索中英文文献。致力于提供最便捷和优质的服务体验。 Copyright © 2023 布克学术 All rights reserved.
京ICP备2023020795号-1
ghs 京公网安备 11010802042870号
Book学术文献互助
Book学术文献互助群
群 号:604180095
Book学术官方微信