Cyclooxygenase-2 Overexpression and its Association with Histopathological Features of Human Malignant Melanoma.

Q3 Medicine
Iranian Journal of Pathology Pub Date : 2025-01-01 Epub Date: 2025-03-10 DOI:10.30699/ijp.2025.2042091.3357
Nasrin Shayanfar, Zeinab Gholizade, Fatemeh Montazer, Kambiz Kamyab, Aram Nazari, Ali Zare Mirzaie
{"title":"Cyclooxygenase-2 Overexpression and its Association with Histopathological Features of Human Malignant Melanoma.","authors":"Nasrin Shayanfar, Zeinab Gholizade, Fatemeh Montazer, Kambiz Kamyab, Aram Nazari, Ali Zare Mirzaie","doi":"10.30699/ijp.2025.2042091.3357","DOIUrl":null,"url":null,"abstract":"<p><strong>Background & objective: </strong>Melanoma is one of the most common types of skin cancer with an annually increasing mortality rate. Cyclooxygenase-2 (COX-2) plays an imperative role as a cancer biomarker in the biosynthesis of prostaglandin and thromboxane during inflammatory reactions. Its overexpression has been demonstrated in various cancer types, including melanoma. However, its clinicopathological association with melanoma is controversial. We aimed to immunohistochemically evaluate COX-2 expression in malignant melanoma (MM) tumors.</p><p><strong>Methods: </strong>In this cross-sectional retrospective study, blocks from patients with MM who were referred to Rasool-Akram and Razi hospitals between 2011 and 2020 were collected and immunohistochemically evaluated using COX-2 antibody. The intensity and percentage of COX-2 expression was determined in tumoral tissues, and its association with clinical and histological features of patients were evaluated.</p><p><strong>Results: </strong>A total of 39 patients diagnosed with MM were included in this study, of whom 20 (51.3%) were male and 19 (48.7%) were female, with an average age of 57.28 ± 14.37 (range 14-87 years). The most common histological subtypes were acral melanoma (30.8%) and nodular melanoma (20.5%). The most common locations of tumor involvement were the lower (33.3%) and upper limbs (23.1%). Ulcers and vascular-lymphatic invasion were observed in 33.3% and 5.1% of cases, respectively. 38.5% of tumors were in level IV according to Clark's level. Elastosis was present in 13% of samples. Approximately 87% of MM samples showed COX-2 expression, 61.5% of which were strong. There was a significant association between COX-2 expression and tumor location (P = .04).</p><p><strong>Conclusion: </strong>\n <b>Our findings highlight that the COX-2 protein is considerably expressed in MM tumors. Therefore, therapeutic strategies with the aim of targeting COX-2 might be considered in the prevention or treatment of MM. However, it remains to be explored whether COX-2 might be a prognostic marker of MM.</b>\n </p>","PeriodicalId":38900,"journal":{"name":"Iranian Journal of Pathology","volume":"20 2","pages":"207-216"},"PeriodicalIF":0.0000,"publicationDate":"2025-01-01","publicationTypes":"Journal Article","fieldsOfStudy":null,"isOpenAccess":false,"openAccessPdf":"https://www.ncbi.nlm.nih.gov/pmc/articles/PMC12142022/pdf/","citationCount":"0","resultStr":null,"platform":"Semanticscholar","paperid":null,"PeriodicalName":"Iranian Journal of Pathology","FirstCategoryId":"1085","ListUrlMain":"https://doi.org/10.30699/ijp.2025.2042091.3357","RegionNum":0,"RegionCategory":null,"ArticlePicture":[],"TitleCN":null,"AbstractTextCN":null,"PMCID":null,"EPubDate":"2025/3/10 0:00:00","PubModel":"Epub","JCR":"Q3","JCRName":"Medicine","Score":null,"Total":0}
引用次数: 0

Abstract

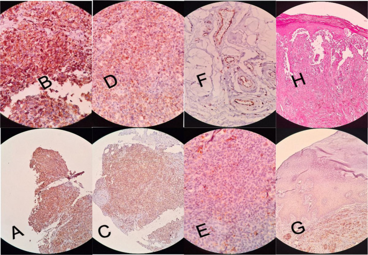
Background & objective: Melanoma is one of the most common types of skin cancer with an annually increasing mortality rate. Cyclooxygenase-2 (COX-2) plays an imperative role as a cancer biomarker in the biosynthesis of prostaglandin and thromboxane during inflammatory reactions. Its overexpression has been demonstrated in various cancer types, including melanoma. However, its clinicopathological association with melanoma is controversial. We aimed to immunohistochemically evaluate COX-2 expression in malignant melanoma (MM) tumors.

Methods: In this cross-sectional retrospective study, blocks from patients with MM who were referred to Rasool-Akram and Razi hospitals between 2011 and 2020 were collected and immunohistochemically evaluated using COX-2 antibody. The intensity and percentage of COX-2 expression was determined in tumoral tissues, and its association with clinical and histological features of patients were evaluated.

Results: A total of 39 patients diagnosed with MM were included in this study, of whom 20 (51.3%) were male and 19 (48.7%) were female, with an average age of 57.28 ± 14.37 (range 14-87 years). The most common histological subtypes were acral melanoma (30.8%) and nodular melanoma (20.5%). The most common locations of tumor involvement were the lower (33.3%) and upper limbs (23.1%). Ulcers and vascular-lymphatic invasion were observed in 33.3% and 5.1% of cases, respectively. 38.5% of tumors were in level IV according to Clark's level. Elastosis was present in 13% of samples. Approximately 87% of MM samples showed COX-2 expression, 61.5% of which were strong. There was a significant association between COX-2 expression and tumor location (P = .04).

Conclusion: Our findings highlight that the COX-2 protein is considerably expressed in MM tumors. Therefore, therapeutic strategies with the aim of targeting COX-2 might be considered in the prevention or treatment of MM. However, it remains to be explored whether COX-2 might be a prognostic marker of MM.

Abstract Image

环氧合酶-2过表达及其与人类恶性黑色素瘤组织病理特征的关系
背景与目的:黑色素瘤是最常见的皮肤癌类型之一,其死亡率每年都在上升。环氧合酶-2 (COX-2)作为癌症生物标志物在炎症反应中前列腺素和凝血素的生物合成中发挥着重要作用。它的过度表达已经在各种癌症类型中得到证实,包括黑色素瘤。然而,其与黑色素瘤的临床病理关联是有争议的。我们的目的是免疫组织化学评估COX-2在恶性黑色素瘤(MM)肿瘤中的表达。方法:在这项横断面回顾性研究中,收集2011年至2020年间转介至Rasool-Akram和Razi医院的MM患者的块,并使用COX-2抗体进行免疫组织化学评估。测定肿瘤组织中COX-2表达的强度和百分比,并评估其与患者临床和组织学特征的相关性。结果:本研究共纳入39例MM患者,其中男性20例(51.3%),女性19例(48.7%),平均年龄57.28±14.37(14 ~ 87岁)。最常见的组织学亚型是肢端黑色素瘤(30.8%)和结节性黑色素瘤(20.5%)。最常见的肿瘤受累部位为下肢(33.3%)和上肢(23.1%)。溃疡和血管淋巴浸润分别占33.3%和5.1%。根据克拉克分级,38.5%的肿瘤为IV级。13%的样本中存在弹性增生。大约87%的MM样品显示COX-2表达,其中61.5%为强表达。COX-2表达与肿瘤部位有显著相关性(P = 0.04)。结论:我们的研究结果表明COX-2蛋白在MM肿瘤中大量表达。因此,以COX-2为靶点的治疗策略在MM的预防或治疗中可能被考虑。然而,COX-2是否可能是MM的预后标志物仍有待探讨。
本文章由计算机程序翻译,如有差异,请以英文原文为准。
求助全文
约1分钟内获得全文 求助全文
来源期刊
Iranian Journal of Pathology
Iranian Journal of Pathology Medicine-Pathology and Forensic Medicine
CiteScore
2.00
自引率
0.00%
发文量
99
审稿时长
20 weeks
×
引用
GB/T 7714-2015
复制
MLA
复制
APA
复制
导出至
BibTeX EndNote RefMan NoteFirst NoteExpress
×
提示
您的信息不完整,为了账户安全,请先补充。
现在去补充
×
提示
您因"违规操作"
具体请查看互助需知
我知道了
×
提示
确定
请完成安全验证×
copy
已复制链接
快去分享给好友吧!
我知道了
右上角分享
点击右上角分享
0
联系我们:info@booksci.cn Book学术提供免费学术资源搜索服务,方便国内外学者检索中英文文献。致力于提供最便捷和优质的服务体验。 Copyright © 2023 布克学术 All rights reserved.
京ICP备2023020795号-1
ghs 京公网安备 11010802042870号
Book学术文献互助
Book学术文献互助群
群 号:604180095
Book学术官方微信