Cutaneous miliary Lymphocytoma: A Case Report with Immunohistochemical Findings.

Q3 Medicine
Iranian Journal of Pathology Pub Date : 2025-01-01 Epub Date: 2025-03-10 DOI:10.30699/iijp.2024.2025080.3287
Shatila Torabi, Sima Davoodi, Mostafa Izanlu, Pouria Etesamizade, Naser Tayebi Meibodi
{"title":"Cutaneous miliary Lymphocytoma: A Case Report with Immunohistochemical Findings.","authors":"Shatila Torabi, Sima Davoodi, Mostafa Izanlu, Pouria Etesamizade, Naser Tayebi Meibodi","doi":"10.30699/iijp.2024.2025080.3287","DOIUrl":null,"url":null,"abstract":"<p><p>Cutaneous pseudolymphomas (PSLs) as lymphocytic infiltrates are benign lesions that clinically and histopathologically mimic lymphomas. Miliarial type lymphocytoma cutis is an uncommon type of pseudolymphoma that is characterized by multiple semi-translucent micropapules on the sun-exposed regions. We present a 61-year-old woman who was admitted to our clinic with diffuse, sand-like, and erythematous micropapules on her face. Microscopic findings revealed nodular lymphoid aggregation, with the germinal center formation consisting of polyclonal lymphoid infiltrate confirmed by Immunohistochemistry (IHC) studies. According to this clinicopathological correlation, the miliarial type pseudolymphoma was confirmed and she was treated with topical corticosteroid ointment with a good response.</p>","PeriodicalId":38900,"journal":{"name":"Iranian Journal of Pathology","volume":"20 2","pages":"235-238"},"PeriodicalIF":0.0000,"publicationDate":"2025-01-01","publicationTypes":"Journal Article","fieldsOfStudy":null,"isOpenAccess":false,"openAccessPdf":"https://www.ncbi.nlm.nih.gov/pmc/articles/PMC12142020/pdf/","citationCount":"0","resultStr":null,"platform":"Semanticscholar","paperid":null,"PeriodicalName":"Iranian Journal of Pathology","FirstCategoryId":"1085","ListUrlMain":"https://doi.org/10.30699/iijp.2024.2025080.3287","RegionNum":0,"RegionCategory":null,"ArticlePicture":[],"TitleCN":null,"AbstractTextCN":null,"PMCID":null,"EPubDate":"2025/3/10 0:00:00","PubModel":"Epub","JCR":"Q3","JCRName":"Medicine","Score":null,"Total":0}
引用次数: 0

Abstract

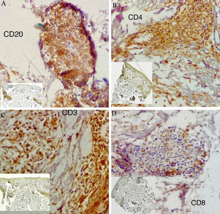
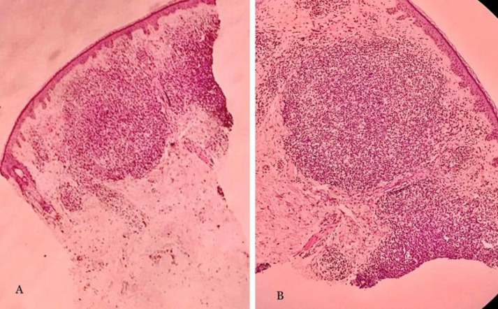
Cutaneous pseudolymphomas (PSLs) as lymphocytic infiltrates are benign lesions that clinically and histopathologically mimic lymphomas. Miliarial type lymphocytoma cutis is an uncommon type of pseudolymphoma that is characterized by multiple semi-translucent micropapules on the sun-exposed regions. We present a 61-year-old woman who was admitted to our clinic with diffuse, sand-like, and erythematous micropapules on her face. Microscopic findings revealed nodular lymphoid aggregation, with the germinal center formation consisting of polyclonal lymphoid infiltrate confirmed by Immunohistochemistry (IHC) studies. According to this clinicopathological correlation, the miliarial type pseudolymphoma was confirmed and she was treated with topical corticosteroid ointment with a good response.

Abstract Image

Abstract Image

Abstract Image

皮肤军事性淋巴细胞瘤:1例免疫组化结果报告。
皮肤假性淋巴瘤(PSLs)是一种淋巴细胞浸润的良性病变,在临床和病理组织学上与淋巴瘤相似。皮肤粟粒型淋巴细胞瘤是一种罕见的假性淋巴瘤,其特征是在阳光照射的区域有多个半透明的微丘疹。我们报告一位61岁的女性,她因面部弥漫性,沙样红斑性微丘疹而入院。镜下发现结节性淋巴细胞聚集,免疫组化(IHC)证实生发中心形成由多克隆淋巴细胞浸润组成。根据这一临床病理相关性,确诊为粟粒型假性淋巴瘤,并给予局部皮质类固醇软膏治疗,效果良好。
本文章由计算机程序翻译,如有差异,请以英文原文为准。
求助全文
约1分钟内获得全文 求助全文
来源期刊
Iranian Journal of Pathology
Iranian Journal of Pathology Medicine-Pathology and Forensic Medicine
CiteScore
2.00
自引率
0.00%
发文量
99
审稿时长
20 weeks
×
引用
GB/T 7714-2015
复制
MLA
复制
APA
复制
导出至
BibTeX EndNote RefMan NoteFirst NoteExpress
×
提示
您的信息不完整,为了账户安全,请先补充。
现在去补充
×
提示
您因"违规操作"
具体请查看互助需知
我知道了
×
提示
确定
请完成安全验证×
copy
已复制链接
快去分享给好友吧!
我知道了
右上角分享
点击右上角分享
0
联系我们:info@booksci.cn Book学术提供免费学术资源搜索服务,方便国内外学者检索中英文文献。致力于提供最便捷和优质的服务体验。 Copyright © 2023 布克学术 All rights reserved.
京ICP备2023020795号-1
ghs 京公网安备 11010802042870号
Book学术文献互助
Book学术文献互助群
群 号:604180095
Book学术官方微信