Sclerosing Angiomatoid Nodular Transformation of Spleen (SANTS); Case Report of a 12-Year-Old Patient.

Q3 Medicine
Iranian Journal of Pathology Pub Date : 2025-01-01 Epub Date: 2025-03-10 DOI:10.30699/ijp.2025.2034980.3332
Farzaneh Ramezani, Sare Kamali, Ramin Mashoufi, Seyed Ali Ebrahimi, Maryam Soltan
{"title":"Sclerosing Angiomatoid Nodular Transformation of Spleen (SANTS); Case Report of a 12-Year-Old Patient.","authors":"Farzaneh Ramezani, Sare Kamali, Ramin Mashoufi, Seyed Ali Ebrahimi, Maryam Soltan","doi":"10.30699/ijp.2025.2034980.3332","DOIUrl":null,"url":null,"abstract":"<p><strong>Background: </strong>Sclerosing angiomatoid nodular transformation of the spleen (SANT) is a rare, benign vascular lesion predominantly described in adults. Pediatric cases are exceptionally uncommon and present a diagnostic challenge due to nonspecific clinical presentations and imaging findings.</p><p><strong>Case presentation: </strong>We report the case of a 12-year-old boy presenting with recurrent abdominal pain localized around the umbilicus, accompanied by intermittent nausea over a three-month period. Physical examination revealed mild tenderness without guarding. Laboratory findings were unremarkable. Abdominal ultrasound demonstrated a hypoechoic splenic lesion, further evaluated by multidetector computed tomography (MDCT), which revealed a heterogeneous hypodense mass in the spleen. The patient underwent partial laparoscopic splenectomy. Histopathological examination showed a nodular architecture with fibrous bands, capillary-like vascular channels lined by endothelial cells, and a lymphoplasmacytic infiltrate. Immunohistochemical staining was positive for CD31, CD34, and CD8, supporting the diagnosis of SANT.</p><p><strong>Conclusion: </strong>Although benign, SANT can mimic more aggressive splenic pathologies. This case underscores the importance of considering SANT in the differential diagnosis of splenic masses in pediatric patients and highlights the role of histopathology and immunohistochemistry in achieving a definitive diagnosis.</p>","PeriodicalId":38900,"journal":{"name":"Iranian Journal of Pathology","volume":"20 2","pages":"239-243"},"PeriodicalIF":0.0000,"publicationDate":"2025-01-01","publicationTypes":"Journal Article","fieldsOfStudy":null,"isOpenAccess":false,"openAccessPdf":"https://www.ncbi.nlm.nih.gov/pmc/articles/PMC12142018/pdf/","citationCount":"0","resultStr":null,"platform":"Semanticscholar","paperid":null,"PeriodicalName":"Iranian Journal of Pathology","FirstCategoryId":"1085","ListUrlMain":"https://doi.org/10.30699/ijp.2025.2034980.3332","RegionNum":0,"RegionCategory":null,"ArticlePicture":[],"TitleCN":null,"AbstractTextCN":null,"PMCID":null,"EPubDate":"2025/3/10 0:00:00","PubModel":"Epub","JCR":"Q3","JCRName":"Medicine","Score":null,"Total":0}
引用次数: 0

Abstract

Background: Sclerosing angiomatoid nodular transformation of the spleen (SANT) is a rare, benign vascular lesion predominantly described in adults. Pediatric cases are exceptionally uncommon and present a diagnostic challenge due to nonspecific clinical presentations and imaging findings.

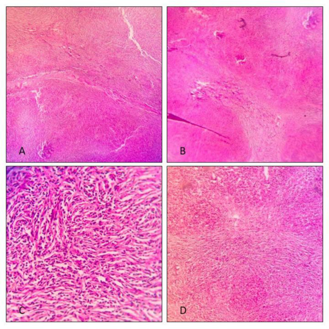
Case presentation: We report the case of a 12-year-old boy presenting with recurrent abdominal pain localized around the umbilicus, accompanied by intermittent nausea over a three-month period. Physical examination revealed mild tenderness without guarding. Laboratory findings were unremarkable. Abdominal ultrasound demonstrated a hypoechoic splenic lesion, further evaluated by multidetector computed tomography (MDCT), which revealed a heterogeneous hypodense mass in the spleen. The patient underwent partial laparoscopic splenectomy. Histopathological examination showed a nodular architecture with fibrous bands, capillary-like vascular channels lined by endothelial cells, and a lymphoplasmacytic infiltrate. Immunohistochemical staining was positive for CD31, CD34, and CD8, supporting the diagnosis of SANT.

Conclusion: Although benign, SANT can mimic more aggressive splenic pathologies. This case underscores the importance of considering SANT in the differential diagnosis of splenic masses in pediatric patients and highlights the role of histopathology and immunohistochemistry in achieving a definitive diagnosis.

Abstract Image

Abstract Image

脾脏硬化性血管瘤样结节转化;1例12岁患者报告。
背景:硬化性脾脏血管瘤样结节性转化(SANT)是一种罕见的良性血管病变,主要见于成人。儿科病例非常罕见,由于非特异性临床表现和影像学表现,诊断困难。病例介绍:我们报告的情况下,一个12岁的男孩表现为反复腹痛,局部在脐周围,并伴有间歇性恶心超过三个月的时间。体格检查发现轻度压痛,无保护。实验室检查结果无显著差异。腹部超声显示脾脏低回声病变,进一步通过多探测器计算机断层扫描(MDCT)评估,显示脾脏有一个不均匀的低密度肿块。患者行部分腹腔镜脾切除术。组织病理学检查显示结节状结构,纤维带,毛细血管样血管通道内衬内皮细胞,淋巴浆细胞浸润。免疫组化染色CD31、CD34、CD8阳性,支持SANT的诊断。结论:SANT虽然是良性的,但可以模拟更具侵袭性的脾病理。本病例强调了在小儿脾肿物鉴别诊断中考虑SANT的重要性,并强调了组织病理学和免疫组织化学在获得明确诊断中的作用。
本文章由计算机程序翻译,如有差异,请以英文原文为准。
求助全文
约1分钟内获得全文 求助全文
来源期刊
Iranian Journal of Pathology
Iranian Journal of Pathology Medicine-Pathology and Forensic Medicine
CiteScore
2.00
自引率
0.00%
发文量
99
审稿时长
20 weeks
×
引用
GB/T 7714-2015
复制
MLA
复制
APA
复制
导出至
BibTeX EndNote RefMan NoteFirst NoteExpress
×
提示
您的信息不完整,为了账户安全,请先补充。
现在去补充
×
提示
您因"违规操作"
具体请查看互助需知
我知道了
×
提示
确定
请完成安全验证×
copy
已复制链接
快去分享给好友吧!
我知道了
右上角分享
点击右上角分享
0
联系我们:info@booksci.cn Book学术提供免费学术资源搜索服务,方便国内外学者检索中英文文献。致力于提供最便捷和优质的服务体验。 Copyright © 2023 布克学术 All rights reserved.
京ICP备2023020795号-1
ghs 京公网安备 11010802042870号
Book学术文献互助
Book学术文献互助群
群 号:604180095
Book学术官方微信