The Negative Effects of Subclinical Pregnancy Toxaemia on Fetal Skeletal Muscle Development and Evaluation of the Protective Effects of Dietary l-Carnitine Supplementation in Sheep.

IF 1.7 3区 农林科学 Q2 AGRICULTURE, DAIRY & ANIMAL SCIENCE
Ali Osman Turgut, Banu Kandil, Ebru Karakaya Bilen, Davut Koca, Ali Ünver, Fatma İşbilir, Özgür Özöner, Rahmi Doğan, Muhammed Furkan Önen, Mehmet Eroğlu, Sait Şendağ, Axel Wehrend
{"title":"The Negative Effects of Subclinical Pregnancy Toxaemia on Fetal Skeletal Muscle Development and Evaluation of the Protective Effects of Dietary l-Carnitine Supplementation in Sheep.","authors":"Ali Osman Turgut, Banu Kandil, Ebru Karakaya Bilen, Davut Koca, Ali Ünver, Fatma İşbilir, Özgür Özöner, Rahmi Doğan, Muhammed Furkan Önen, Mehmet Eroğlu, Sait Şendağ, Axel Wehrend","doi":"10.1111/rda.70088","DOIUrl":null,"url":null,"abstract":"<p><p>This study evaluated the effects of subclinical pregnancy toxaemia (SPT) on fetal skeletal muscle development and assessed the potential protective role of L-carnitine supplementation during gestation. A total of 18 crossbred Hamdani ewes underwent oestrous synchronisation, natural mating and pregnancy confirmation via ultrasonography on day 45 post-mating. The ewes were managed according to NRC (2007) dietary guidelines until day 100 of gestation, after which they were assigned to three experimental groups: subclinical PT group (group 1; G1, n = 6), treatment group (subclinical PT + L-carnitine, group 2; G2, n = 6) and control group (group 3; G3, n = 6). Blood β-hydroxybutyrate (βHBA) concentrations were measured on day 100 and 138 of the gestation. Then, all ewes were slaughtered for fetal muscle sampling from the Musculus Longissimus Dorsi (MLD) and Vastus Lateralis (VL). Results indicated a significant reduction in muscle fibre number and fibre diameter in both MLD and VL in the SPT group (G1) compared to the control (G3) (p < 0.05). No significant differences were observed between G1 and G2 or between G2 and G3 for these parameters (p > 0.05). On the other hand, large effect sizes for group and pairwise comparisons imply that SPT may negatively affect prenatal muscle development and L-carnitine supports muscle development during the prepartum period. These findings highlight the negative effects of SPT and protective effects of L-carnitine supplementation on fetal skeletal muscle development in ewes with SPT. The observed deficits may negatively impact postnatal growth, survival rates and meat quality. Further investigations are warranted to optimise maternal nutrition strategies and evaluate therapeutic interventions aimed at mitigating the adverse impacts of SPT on fetal muscle development in ruminants. Furthermore, L-carnitine supplementation may be a useful in compensating for the negative effects of SPT.</p>","PeriodicalId":21035,"journal":{"name":"Reproduction in Domestic Animals","volume":"60 6","pages":"e70088"},"PeriodicalIF":1.7000,"publicationDate":"2025-06-01","publicationTypes":"Journal Article","fieldsOfStudy":null,"isOpenAccess":false,"openAccessPdf":"https://www.ncbi.nlm.nih.gov/pmc/articles/PMC12146946/pdf/","citationCount":"0","resultStr":null,"platform":"Semanticscholar","paperid":null,"PeriodicalName":"Reproduction in Domestic Animals","FirstCategoryId":"97","ListUrlMain":"https://doi.org/10.1111/rda.70088","RegionNum":3,"RegionCategory":"农林科学","ArticlePicture":[],"TitleCN":null,"AbstractTextCN":null,"PMCID":null,"EPubDate":"","PubModel":"","JCR":"Q2","JCRName":"AGRICULTURE, DAIRY & ANIMAL SCIENCE","Score":null,"Total":0}
引用次数: 0

Abstract

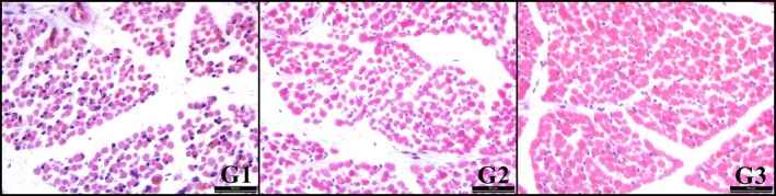
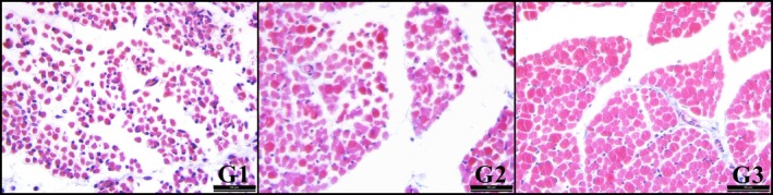
This study evaluated the effects of subclinical pregnancy toxaemia (SPT) on fetal skeletal muscle development and assessed the potential protective role of L-carnitine supplementation during gestation. A total of 18 crossbred Hamdani ewes underwent oestrous synchronisation, natural mating and pregnancy confirmation via ultrasonography on day 45 post-mating. The ewes were managed according to NRC (2007) dietary guidelines until day 100 of gestation, after which they were assigned to three experimental groups: subclinical PT group (group 1; G1, n = 6), treatment group (subclinical PT + L-carnitine, group 2; G2, n = 6) and control group (group 3; G3, n = 6). Blood β-hydroxybutyrate (βHBA) concentrations were measured on day 100 and 138 of the gestation. Then, all ewes were slaughtered for fetal muscle sampling from the Musculus Longissimus Dorsi (MLD) and Vastus Lateralis (VL). Results indicated a significant reduction in muscle fibre number and fibre diameter in both MLD and VL in the SPT group (G1) compared to the control (G3) (p < 0.05). No significant differences were observed between G1 and G2 or between G2 and G3 for these parameters (p > 0.05). On the other hand, large effect sizes for group and pairwise comparisons imply that SPT may negatively affect prenatal muscle development and L-carnitine supports muscle development during the prepartum period. These findings highlight the negative effects of SPT and protective effects of L-carnitine supplementation on fetal skeletal muscle development in ewes with SPT. The observed deficits may negatively impact postnatal growth, survival rates and meat quality. Further investigations are warranted to optimise maternal nutrition strategies and evaluate therapeutic interventions aimed at mitigating the adverse impacts of SPT on fetal muscle development in ruminants. Furthermore, L-carnitine supplementation may be a useful in compensating for the negative effects of SPT.

Abstract Image

Abstract Image

亚临床妊娠毒血症对绵羊胎儿骨骼肌发育的负面影响及饲粮中添加左旋肉碱的保护作用评价
本研究评估了亚临床妊娠毒血症(SPT)对胎儿骨骼肌发育的影响,并评估了妊娠期间补充左旋肉碱的潜在保护作用。18只杂交Hamdani母羊在交配后第45天进行了排卵同步、自然交配和超声确认妊娠。根据NRC(2007)膳食指南对母羊进行管理,直到妊娠第100天,之后将母羊分为三个实验组:亚临床PT组(第1组;G1, n = 6),治疗组(亚临床PT +左旋肉碱,2组;G2, n = 6)和对照组(第3组;G3, n = 6)。在妊娠第100天和第138天测定血中β-羟基丁酸(βHBA)浓度。然后屠宰所有母羊,从背最长肌(MLD)和股外侧肌(VL)采集胎儿肌肉。结果显示,与对照组(G3)相比,SPT组(G1) MLD和VL的肌纤维数量和纤维直径均显著减少(p 0.05)。另一方面,组间和两两比较的大效应量表明,SPT可能会对产前肌肉发育产生负面影响,而左旋肉碱在准备期间支持肌肉发育。这些发现强调了SPT的负面影响和补充左旋肉碱对SPT母羊胎儿骨骼肌发育的保护作用。观察到的缺陷可能会对出生后的生长、存活率和肉质产生负面影响。有必要进一步研究以优化产妇营养策略,并评估旨在减轻SPT对反刍动物胎儿肌肉发育不利影响的治疗干预措施。此外,补充左旋肉碱可能有助于补偿SPT的负面影响。
本文章由计算机程序翻译,如有差异,请以英文原文为准。
求助全文
约1分钟内获得全文 求助全文
来源期刊
Reproduction in Domestic Animals
Reproduction in Domestic Animals 农林科学-奶制品与动物科学
CiteScore
3.00
自引率
5.90%
发文量
238
审稿时长
4-8 weeks
期刊介绍: The journal offers comprehensive information concerning physiology, pathology, and biotechnology of reproduction. Topical results are currently published in original papers, reviews, and short communications with particular attention to investigations on practicable techniques. Carefully selected reports, e. g. on embryo transfer and associated biotechnologies, gene transfer, and spermatology provide a link between basic research and clinical application. The journal applies to breeders, veterinarians, and biologists, and is also of interest in human medicine. Interdisciplinary cooperation is documented in the proceedings of the joint annual meetings. Fields of interest: Animal reproduction and biotechnology with special regard to investigations on applied and clinical research.
×
引用
GB/T 7714-2015
复制
MLA
复制
APA
复制
导出至
BibTeX EndNote RefMan NoteFirst NoteExpress
×
提示
您的信息不完整,为了账户安全,请先补充。
现在去补充
×
提示
您因"违规操作"
具体请查看互助需知
我知道了
×
提示
确定
请完成安全验证×
copy
已复制链接
快去分享给好友吧!
我知道了
右上角分享
点击右上角分享
0
联系我们:info@booksci.cn Book学术提供免费学术资源搜索服务,方便国内外学者检索中英文文献。致力于提供最便捷和优质的服务体验。 Copyright © 2023 布克学术 All rights reserved.
京ICP备2023020795号-1
ghs 京公网安备 11010802042870号
Book学术文献互助
Book学术文献互助群
群 号:604180095
Book学术官方微信