Silencing of STX4 inhibits the proliferation, migration and invasion of ovarian cancer cells via EMT/MMP2/ CCND1 signaling pathway.

IF 4.2 3区 医学 Q1 REPRODUCTIVE BIOLOGY
Wenfeng Ye, Chunyan Xue, Linlin Chen, Xiangnan Chen, Dachuan Zhang
{"title":"Silencing of STX4 inhibits the proliferation, migration and invasion of ovarian cancer cells via EMT/MMP2/ CCND1 signaling pathway.","authors":"Wenfeng Ye, Chunyan Xue, Linlin Chen, Xiangnan Chen, Dachuan Zhang","doi":"10.1186/s13048-025-01705-3","DOIUrl":null,"url":null,"abstract":"<p><strong>Background: </strong>Ovarian cancer (OC) is one of the most common malignant tumors of the female reproductive system and 55-75% of patients relapse after surgery and standard postoperative chemotherapy and radiotherapy. Syntaxin4 (STX4) is localized in the plasma membrane and plays a role in the occurrence, development, invasion and metastasis of cancer cells.</p><p><strong>Objective: </strong>To investigate the changes in the biological behavior and effects of STX4 gene silencing on the invasion and metastasis of OC cell lines.</p><p><strong>Methods: </strong>The proliferation, migration and invasion abilities of two groups of OC cell lines SK-OV-3 and CAOV-3 constructed with an interfering plasmid (pLVX-shRNA1-STX4-shRNA) and a negative control plasmid (pLVX-shRNA1-nonspecific-shRNA), were examined via Cell Counting Kit-8, Transwell and scratch assays. The EMT markers vimentin and E-cadherin, MMPs (MMP1, MMP2 and MMP9) and CCND1 were used to explore the possible molecular mechanism of STX4 by which STX4 affects OC cells behavior, after which the effect of STX4 gene silencing on the proliferation of OC cells in vivo was tested.</p><p><strong>Results: </strong>After STX4 silencing, the biological behaviors of ovarian cancer cells including proliferation, migration and invasion, were significantly weakened. The results revealed that the E-cadherin, MMP2 and CCND1 levels of both OC cell lines were decreased after STX4 gene silencing. Animal models of STX4 gene silencing showed the tumorigenicity of tumor cells was reduced.</p><p><strong>Conclusion: </strong>We demonstrated for the first time that STX4, an important regulator of OC progression, was associated with the growth and metastasis of OC cells through correlations with EMT, MMP2, and CCND1, suggesting its potential as a new therapeutic target for OC.</p>","PeriodicalId":16610,"journal":{"name":"Journal of Ovarian Research","volume":"18 1","pages":"124"},"PeriodicalIF":4.2000,"publicationDate":"2025-06-07","publicationTypes":"Journal Article","fieldsOfStudy":null,"isOpenAccess":false,"openAccessPdf":"https://www.ncbi.nlm.nih.gov/pmc/articles/PMC12144715/pdf/","citationCount":"0","resultStr":null,"platform":"Semanticscholar","paperid":null,"PeriodicalName":"Journal of Ovarian Research","FirstCategoryId":"3","ListUrlMain":"https://doi.org/10.1186/s13048-025-01705-3","RegionNum":3,"RegionCategory":"医学","ArticlePicture":[],"TitleCN":null,"AbstractTextCN":null,"PMCID":null,"EPubDate":"","PubModel":"","JCR":"Q1","JCRName":"REPRODUCTIVE BIOLOGY","Score":null,"Total":0}
引用次数: 0

Abstract

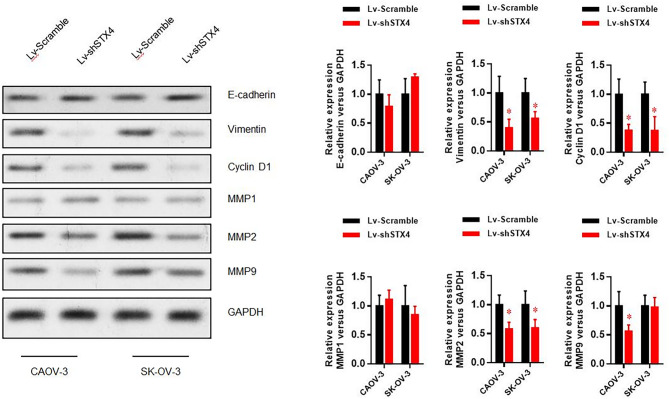
Background: Ovarian cancer (OC) is one of the most common malignant tumors of the female reproductive system and 55-75% of patients relapse after surgery and standard postoperative chemotherapy and radiotherapy. Syntaxin4 (STX4) is localized in the plasma membrane and plays a role in the occurrence, development, invasion and metastasis of cancer cells.

Objective: To investigate the changes in the biological behavior and effects of STX4 gene silencing on the invasion and metastasis of OC cell lines.

Methods: The proliferation, migration and invasion abilities of two groups of OC cell lines SK-OV-3 and CAOV-3 constructed with an interfering plasmid (pLVX-shRNA1-STX4-shRNA) and a negative control plasmid (pLVX-shRNA1-nonspecific-shRNA), were examined via Cell Counting Kit-8, Transwell and scratch assays. The EMT markers vimentin and E-cadherin, MMPs (MMP1, MMP2 and MMP9) and CCND1 were used to explore the possible molecular mechanism of STX4 by which STX4 affects OC cells behavior, after which the effect of STX4 gene silencing on the proliferation of OC cells in vivo was tested.

Results: After STX4 silencing, the biological behaviors of ovarian cancer cells including proliferation, migration and invasion, were significantly weakened. The results revealed that the E-cadherin, MMP2 and CCND1 levels of both OC cell lines were decreased after STX4 gene silencing. Animal models of STX4 gene silencing showed the tumorigenicity of tumor cells was reduced.

Conclusion: We demonstrated for the first time that STX4, an important regulator of OC progression, was associated with the growth and metastasis of OC cells through correlations with EMT, MMP2, and CCND1, suggesting its potential as a new therapeutic target for OC.

Abstract Image

Abstract Image

Abstract Image

STX4的沉默通过EMT/MMP2/ CCND1信号通路抑制卵巢癌细胞的增殖、迁移和侵袭。
背景:卵巢癌(Ovarian cancer, OC)是女性生殖系统最常见的恶性肿瘤之一,55-75%的患者在手术及术后标准放化疗后复发。Syntaxin4 (STX4)定位于质膜,参与癌细胞的发生、发展、侵袭和转移。目的:探讨STX4基因沉默对卵巢癌细胞株侵袭转移的生物学行为变化及影响。方法:用干扰质粒(pLVX-shRNA1-STX4-shRNA)和阴性质粒(plvx - shrna1 -非特异性shrna)构建两组OC细胞株SK-OV-3和CAOV-3,通过细胞计数试剂盒-8、Transwell和scratch检测细胞的增殖、迁移和侵袭能力。利用EMT标志物vimentin和E-cadherin、MMPs (MMP1、MMP2和MMP9)和CCND1,探索STX4影响OC细胞行为的可能分子机制,并在体内检测STX4基因沉默对OC细胞增殖的影响。结果:STX4沉默后,卵巢癌细胞的增殖、迁移、侵袭等生物学行为明显减弱。结果显示,STX4基因沉默后,两种OC细胞株的E-cadherin、MMP2和CCND1水平均下降。STX4基因沉默的动物模型显示肿瘤细胞的致瘤性降低。结论:我们首次证实,作为OC进展的重要调节因子,STX4通过与EMT、MMP2和CCND1的相关性与OC细胞的生长和转移相关,提示其可能成为OC的新治疗靶点。
本文章由计算机程序翻译,如有差异,请以英文原文为准。
求助全文
约1分钟内获得全文 求助全文
来源期刊
Journal of Ovarian Research
Journal of Ovarian Research REPRODUCTIVE BIOLOGY-
CiteScore
6.20
自引率
2.50%
发文量
125
审稿时长
>12 weeks
期刊介绍: Journal of Ovarian Research is an open access, peer reviewed, online journal that aims to provide a forum for high-quality basic and clinical research on ovarian function, abnormalities, and cancer. The journal focuses on research that provides new insights into ovarian functions as well as prevention and treatment of diseases afflicting the organ. Topical areas include, but are not restricted to: Ovary development, hormone secretion and regulation Follicle growth and ovulation Infertility and Polycystic ovarian syndrome Regulation of pituitary and other biological functions by ovarian hormones Ovarian cancer, its prevention, diagnosis and treatment Drug development and screening Role of stem cells in ovary development and function.
×
引用
GB/T 7714-2015
复制
MLA
复制
APA
复制
导出至
BibTeX EndNote RefMan NoteFirst NoteExpress
×
提示
您的信息不完整,为了账户安全,请先补充。
现在去补充
×
提示
您因"违规操作"
具体请查看互助需知
我知道了
×
提示
确定
请完成安全验证×
copy
已复制链接
快去分享给好友吧!
我知道了
右上角分享
点击右上角分享
0
联系我们:info@booksci.cn Book学术提供免费学术资源搜索服务,方便国内外学者检索中英文文献。致力于提供最便捷和优质的服务体验。 Copyright © 2023 布克学术 All rights reserved.
京ICP备2023020795号-1
ghs 京公网安备 11010802042870号
Book学术文献互助
Book学术文献互助群
群 号:604180095
Book学术官方微信