Imaging features of a brown tumor with extensive skull involvement: Relevance for dental radiology.

Q2 Dentistry
Artemisa Fernanda Moura Ferreira, Francisco de Assis Limeira-Júnior, José Jhenikártery Maia de Oliveira, Paulo Rogerio Ferreti Bonan, Marcelo Augusto Oliveira de Sales
{"title":"Imaging features of a brown tumor with extensive skull involvement: Relevance for dental radiology.","authors":"Artemisa Fernanda Moura Ferreira, Francisco de Assis Limeira-Júnior, José Jhenikártery Maia de Oliveira, Paulo Rogerio Ferreti Bonan, Marcelo Augusto Oliveira de Sales","doi":"10.4317/jced.62709","DOIUrl":null,"url":null,"abstract":"<p><p>This case report describes a rare, asymptomatic brown tumor in a patient with end-stage renal disease. The lesion was incidentally detected during a computed tomography (CT) scan of the paranasal sinuses, performed upon a dentist's recommendation to investigate maxillary sinusitis. CT imaging revealed an expansive osteolytic lesion with irregular margins and a ground-glass appearance involving the left side of the sphenoid and frontal sinuses. Subsequent magnetic resonance imaging (MRI) with multiplanar T1 and T2-weighted sequences without contrast demonstrated a solid tissue-like expansive lesion affecting the left frontal and sphenoid bones, mildly compressing adjacent cerebral parenchyma. Despite these findings, the patient remained asymptomatic. Conservative management, including pharmacological therapy with calcimimetics to control parathyroid hormone levels, was initiated. A follow-up MRI after five years showed lesion stability without significant changes. The patient later underwent a renal transplant, which effectively stabilized the bone disease and improved his quality of life. This case underscores the pivotal role of computed tomography (CT) in detecting incidental systemic skeletal changes and the indispensable importance of interdisciplinary collaboration in managing complex conditions in systemically compromised patients, where each professional's expertise is crucial for the patient's well-being. <b>Key words:</b>Sinusitis, Brown Tumor, Hyperparathyroidism, Multidetector Computed Tomography, Magnetic Resonance Imaging, Multidisciplinary Care Teams.</p>","PeriodicalId":15376,"journal":{"name":"Journal of Clinical and Experimental Dentistry","volume":"17 5","pages":"e604-e607"},"PeriodicalIF":0.0000,"publicationDate":"2025-05-01","publicationTypes":"Journal Article","fieldsOfStudy":null,"isOpenAccess":false,"openAccessPdf":"https://www.ncbi.nlm.nih.gov/pmc/articles/PMC12142367/pdf/","citationCount":"0","resultStr":null,"platform":"Semanticscholar","paperid":null,"PeriodicalName":"Journal of Clinical and Experimental Dentistry","FirstCategoryId":"1085","ListUrlMain":"https://doi.org/10.4317/jced.62709","RegionNum":0,"RegionCategory":null,"ArticlePicture":[],"TitleCN":null,"AbstractTextCN":null,"PMCID":null,"EPubDate":"","PubModel":"","JCR":"Q2","JCRName":"Dentistry","Score":null,"Total":0}
引用次数: 0

Abstract

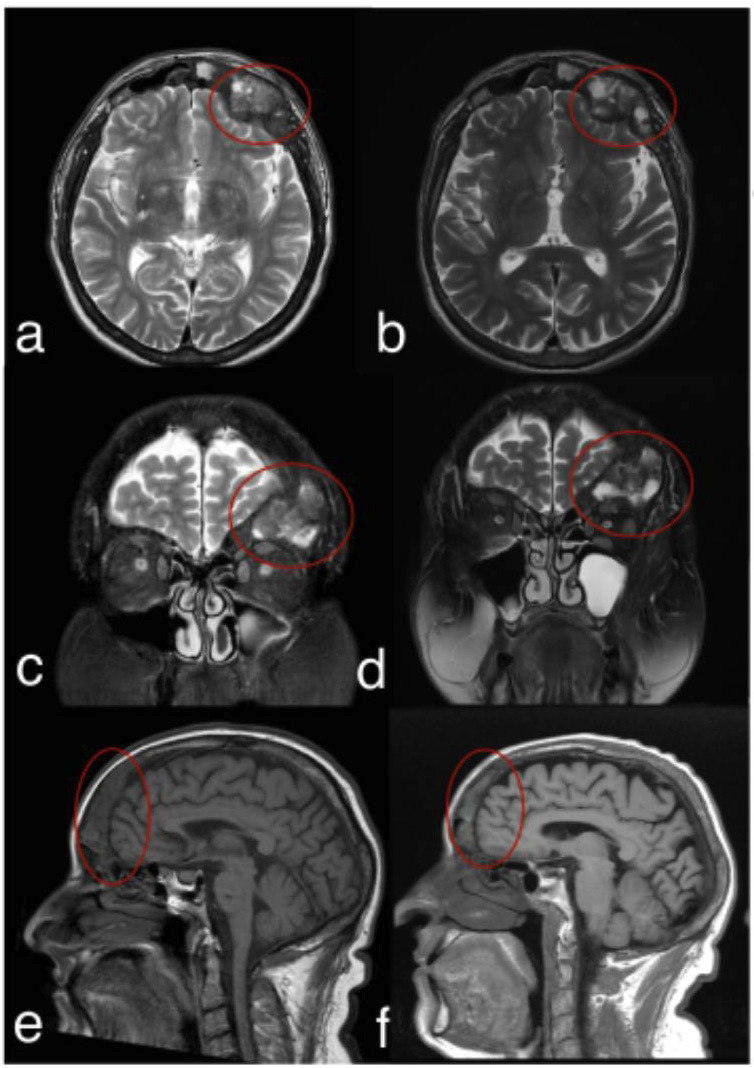
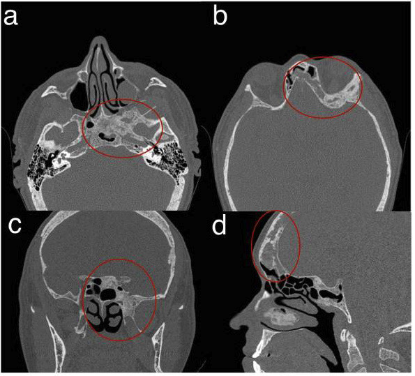
This case report describes a rare, asymptomatic brown tumor in a patient with end-stage renal disease. The lesion was incidentally detected during a computed tomography (CT) scan of the paranasal sinuses, performed upon a dentist's recommendation to investigate maxillary sinusitis. CT imaging revealed an expansive osteolytic lesion with irregular margins and a ground-glass appearance involving the left side of the sphenoid and frontal sinuses. Subsequent magnetic resonance imaging (MRI) with multiplanar T1 and T2-weighted sequences without contrast demonstrated a solid tissue-like expansive lesion affecting the left frontal and sphenoid bones, mildly compressing adjacent cerebral parenchyma. Despite these findings, the patient remained asymptomatic. Conservative management, including pharmacological therapy with calcimimetics to control parathyroid hormone levels, was initiated. A follow-up MRI after five years showed lesion stability without significant changes. The patient later underwent a renal transplant, which effectively stabilized the bone disease and improved his quality of life. This case underscores the pivotal role of computed tomography (CT) in detecting incidental systemic skeletal changes and the indispensable importance of interdisciplinary collaboration in managing complex conditions in systemically compromised patients, where each professional's expertise is crucial for the patient's well-being. Key words:Sinusitis, Brown Tumor, Hyperparathyroidism, Multidetector Computed Tomography, Magnetic Resonance Imaging, Multidisciplinary Care Teams.

Abstract Image

Abstract Image

广泛累及颅骨的棕色肿瘤的影像学特征:与牙科放射学的相关性。
这个病例报告描述了一个罕见的,无症状的棕色肿瘤患者终末期肾脏疾病。病变是偶然发现在计算机断层扫描(CT)的鼻窦,在牙医的建议下进行调查上颌鼻窦炎。CT显示左侧蝶窦及额窦为一扩张性溶骨性病变,边缘不规则,呈磨玻璃样。随后的磁共振成像(MRI)多平面T1和t2加权序列无对比显示实性组织样扩张病变影响左额骨和蝶骨,轻度压迫邻近的脑实质。尽管有这些发现,患者仍无症状。保守治疗,包括钙化剂药物治疗以控制甲状旁腺激素水平。5年后复查MRI显示病变稳定,无明显变化。患者后来接受了肾脏移植,有效地稳定了骨病,提高了他的生活质量。本病例强调了计算机断层扫描(CT)在检测偶然的系统性骨骼变化中的关键作用,以及在管理系统性受损患者的复杂情况时跨学科合作的不可缺少的重要性,其中每个专业人员的专业知识对患者的健康至关重要。关键词:鼻窦炎,棕色肿瘤,甲状旁腺功能亢进,多探测器计算机断层扫描,磁共振成像,多学科护理团队。
本文章由计算机程序翻译,如有差异,请以英文原文为准。
求助全文
约1分钟内获得全文 求助全文
来源期刊
CiteScore
2.70
自引率
0.00%
发文量
118
期刊介绍: Indexed in PUBMED, PubMed Central® (PMC) since 2012 and SCOPUSJournal of Clinical and Experimental Dentistry is an Open Access (free access on-line) - http://www.medicinaoral.com/odo/indice.htm. The aim of the Journal of Clinical and Experimental Dentistry is: - Periodontology - Community and Preventive Dentistry - Esthetic Dentistry - Biomaterials and Bioengineering in Dentistry - Operative Dentistry and Endodontics - Prosthetic Dentistry - Orthodontics - Oral Medicine and Pathology - Odontostomatology for the disabled or special patients - Oral Surgery
×
引用
GB/T 7714-2015
复制
MLA
复制
APA
复制
导出至
BibTeX EndNote RefMan NoteFirst NoteExpress
×
提示
您的信息不完整,为了账户安全,请先补充。
现在去补充
×
提示
您因"违规操作"
具体请查看互助需知
我知道了
×
提示
确定
请完成安全验证×
copy
已复制链接
快去分享给好友吧!
我知道了
右上角分享
点击右上角分享
0
联系我们:info@booksci.cn Book学术提供免费学术资源搜索服务,方便国内外学者检索中英文文献。致力于提供最便捷和优质的服务体验。 Copyright © 2023 布克学术 All rights reserved.
京ICP备2023020795号-1
ghs 京公网安备 11010802042870号
Book学术文献互助
Book学术文献互助群
群 号:604180095
Book学术官方微信