An Exuberant Calcifying Epithelial Odontogenic Tumor in the Posterior Maxilla: A Case Report.

Q2 Dentistry
Rodrigo Silva, Carolina Ruppel, Ramon Cesar Godoy Gonçalves, Roberto de Oliveira Jabur, Ana Luiza Oliveira Corrêa Roza, Pablo Agustin Vargas, Marcelo Carlos Bortoluzzi
{"title":"An Exuberant Calcifying Epithelial Odontogenic Tumor in the Posterior Maxilla: A Case Report.","authors":"Rodrigo Silva, Carolina Ruppel, Ramon Cesar Godoy Gonçalves, Roberto de Oliveira Jabur, Ana Luiza Oliveira Corrêa Roza, Pablo Agustin Vargas, Marcelo Carlos Bortoluzzi","doi":"10.4317/jced.62701","DOIUrl":null,"url":null,"abstract":"<p><p>This case report presents a rare instance of a Calcifying Epithelial Odontogenic Tumor (CEOT) in the maxilla of a 52-year-old male, characterized by a painless, growing mass and facial asymmetry. Imaging revealed extensive involvement of the maxillary sinus, nasal cavity, pterygoid plate, and infraorbital margin. Histopathological analysis confirmed the diagnosis, showing polyhedral odontogenic epithelium with amyloid-like material. The patient underwent conservative surgical excision, preserving function and aesthetics, with no recurrence observed at 16 months postoperatively. This case underscores the importance of a multidisciplinary approach in managing CEOT, particularly in complex anatomical regions, to achieve favorable outcomes. Long-term follow-up remains essential. <b>Key words:</b>Calcifying Epithelial Odontogenic; Pindborg tumor; CEOT; maxilla; odontogenic tumors.</p>","PeriodicalId":15376,"journal":{"name":"Journal of Clinical and Experimental Dentistry","volume":"17 5","pages":"e599-e603"},"PeriodicalIF":0.0000,"publicationDate":"2025-05-01","publicationTypes":"Journal Article","fieldsOfStudy":null,"isOpenAccess":false,"openAccessPdf":"https://www.ncbi.nlm.nih.gov/pmc/articles/PMC12142358/pdf/","citationCount":"0","resultStr":null,"platform":"Semanticscholar","paperid":null,"PeriodicalName":"Journal of Clinical and Experimental Dentistry","FirstCategoryId":"1085","ListUrlMain":"https://doi.org/10.4317/jced.62701","RegionNum":0,"RegionCategory":null,"ArticlePicture":[],"TitleCN":null,"AbstractTextCN":null,"PMCID":null,"EPubDate":"","PubModel":"","JCR":"Q2","JCRName":"Dentistry","Score":null,"Total":0}
引用次数: 0

Abstract

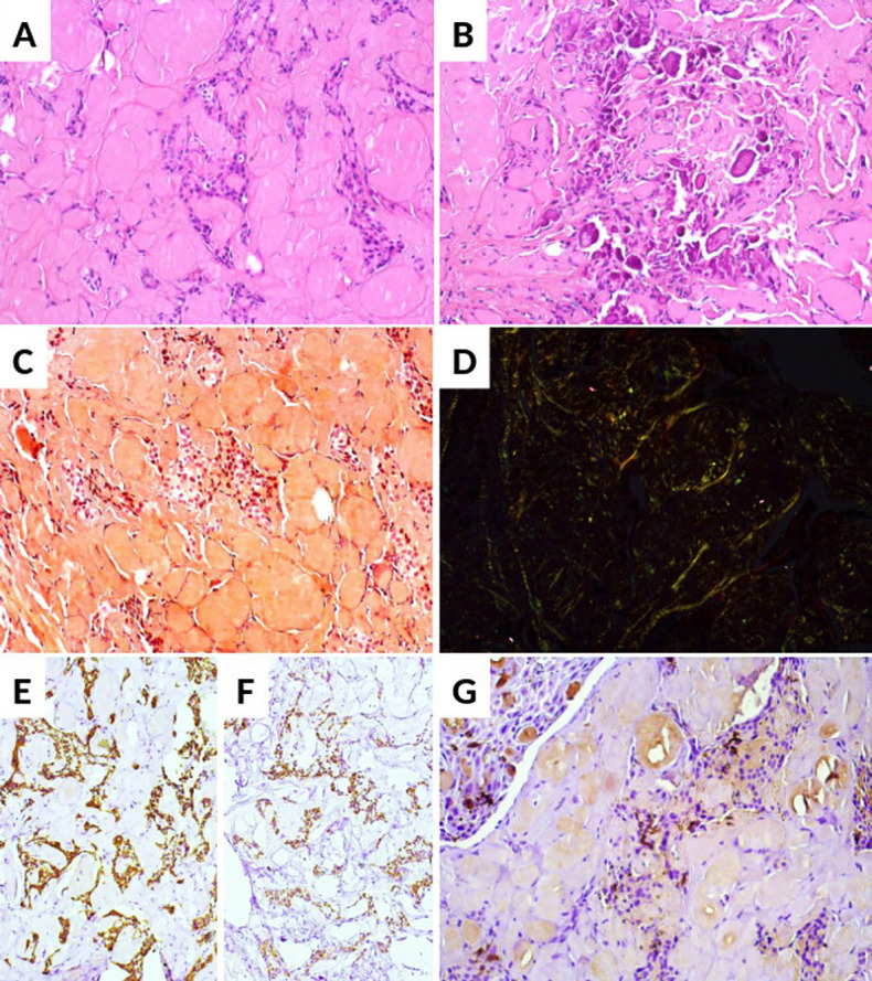
This case report presents a rare instance of a Calcifying Epithelial Odontogenic Tumor (CEOT) in the maxilla of a 52-year-old male, characterized by a painless, growing mass and facial asymmetry. Imaging revealed extensive involvement of the maxillary sinus, nasal cavity, pterygoid plate, and infraorbital margin. Histopathological analysis confirmed the diagnosis, showing polyhedral odontogenic epithelium with amyloid-like material. The patient underwent conservative surgical excision, preserving function and aesthetics, with no recurrence observed at 16 months postoperatively. This case underscores the importance of a multidisciplinary approach in managing CEOT, particularly in complex anatomical regions, to achieve favorable outcomes. Long-term follow-up remains essential. Key words:Calcifying Epithelial Odontogenic; Pindborg tumor; CEOT; maxilla; odontogenic tumors.

Abstract Image

Abstract Image

上颌后牙源性增生钙化上皮肿瘤1例。
本病例报告一例罕见的上颌骨钙化上皮性牙源性肿瘤(CEOT),患者为52岁男性,其特征为无痛,肿块增大,面部不对称。影像学显示上颌窦、鼻腔、翼状板和眶下缘广泛受累。组织病理学分析证实了诊断,显示多面体牙源性上皮与淀粉样物质。患者行保守性手术切除,保留了功能和美观,术后16个月无复发。该病例强调了多学科治疗CEOT的重要性,特别是在复杂的解剖区域,以获得良好的结果。长期随访仍然至关重要。关键词:钙化上皮;牙源性;Pindborg肿瘤;CEOT;上颌骨;牙原性的肿瘤。
本文章由计算机程序翻译,如有差异,请以英文原文为准。
求助全文
约1分钟内获得全文 求助全文
来源期刊
CiteScore
2.70
自引率
0.00%
发文量
118
期刊介绍: Indexed in PUBMED, PubMed Central® (PMC) since 2012 and SCOPUSJournal of Clinical and Experimental Dentistry is an Open Access (free access on-line) - http://www.medicinaoral.com/odo/indice.htm. The aim of the Journal of Clinical and Experimental Dentistry is: - Periodontology - Community and Preventive Dentistry - Esthetic Dentistry - Biomaterials and Bioengineering in Dentistry - Operative Dentistry and Endodontics - Prosthetic Dentistry - Orthodontics - Oral Medicine and Pathology - Odontostomatology for the disabled or special patients - Oral Surgery
×
引用
GB/T 7714-2015
复制
MLA
复制
APA
复制
导出至
BibTeX EndNote RefMan NoteFirst NoteExpress
×
提示
您的信息不完整,为了账户安全,请先补充。
现在去补充
×
提示
您因"违规操作"
具体请查看互助需知
我知道了
×
提示
确定
请完成安全验证×
copy
已复制链接
快去分享给好友吧!
我知道了
右上角分享
点击右上角分享
0
联系我们:info@booksci.cn Book学术提供免费学术资源搜索服务,方便国内外学者检索中英文文献。致力于提供最便捷和优质的服务体验。 Copyright © 2023 布克学术 All rights reserved.
京ICP备2023020795号-1
ghs 京公网安备 11010802042870号
Book学术文献互助
Book学术文献互助群
群 号:604180095
Book学术官方微信