Lumbar Intraspinal Calcium Pyrophosphate Deposition: A Comprehensive Case Study.

IF 2.8 Q2 CLINICAL NEUROLOGY
Journal of Central Nervous System Disease Pub Date : 2025-06-06 eCollection Date: 2025-01-01 DOI:10.1177/11795735251347335
Juan M López-Navarro, Diego A Sandoval-Lopez, Pavle Popovic, Vasileios Karantzoulis, Zeid Bittar, Edgar Santos, Farzam Vazifehdan
{"title":"Lumbar Intraspinal Calcium Pyrophosphate Deposition: A Comprehensive Case Study.","authors":"Juan M López-Navarro, Diego A Sandoval-Lopez, Pavle Popovic, Vasileios Karantzoulis, Zeid Bittar, Edgar Santos, Farzam Vazifehdan","doi":"10.1177/11795735251347335","DOIUrl":null,"url":null,"abstract":"<p><strong>Introduction: </strong>Calcium pyrophosphate deposition (CPPD) disease is characterized by calcium pyrophosphate crystals in hyaline and fibrocartilage. Chondrocalcinosis, a radiographic hallmark for CPPD, becomes more prevalent with age. Although CPPD mainly targets peripheral joints, spinal involvement, affecting intervertebral discs and spinal ligaments, is less common but significant, seen in 24.3% of hospitalized patients with CPPD disease. This report describes a rare case of spinal CPPD causing spinal canal stenosis in the lumbar region.</p><p><strong>Case description: </strong>A 79-year-old woman with a 3-year history of low back pain presented with severe left-sided pain and mobility impairment. Initial examination showed lumbar tenderness and normal muscle strength. Computed tomography (CT) and magnetic resonance imaging scans revealed a calcified extradural mass occupying the anterior portion of the lumbar spinal canal, most likely associated with the posterior longitudinal ligament. The patient underwent L3-L5 hemilaminectomies and dorsal spondylodesis, removing a whitish intraspinal mass. Histopathology confirmed CPPD. Post-surgery, the patient experienced initial pain relief but required emergency surgery due to complications. Over the next year, her mobility and pain improved significantly.</p><p><strong>Discussion: </strong>Spinal CPPD manifests with varied clinical presentations, complicating diagnosis. Imaging reveals calcifications ranging from deposits to mass-like lesions causing compression. CT provides detailed visualization of characteristic calcifications, aiding in diagnosis, while histopathology remains the gold standard. Multidisciplinary collaboration is vital for accurate diagnosis and optimal management.</p>","PeriodicalId":15218,"journal":{"name":"Journal of Central Nervous System Disease","volume":"17 ","pages":"11795735251347335"},"PeriodicalIF":2.8000,"publicationDate":"2025-06-06","publicationTypes":"Journal Article","fieldsOfStudy":null,"isOpenAccess":false,"openAccessPdf":"https://www.ncbi.nlm.nih.gov/pmc/articles/PMC12144363/pdf/","citationCount":"0","resultStr":null,"platform":"Semanticscholar","paperid":null,"PeriodicalName":"Journal of Central Nervous System Disease","FirstCategoryId":"1085","ListUrlMain":"https://doi.org/10.1177/11795735251347335","RegionNum":0,"RegionCategory":null,"ArticlePicture":[],"TitleCN":null,"AbstractTextCN":null,"PMCID":null,"EPubDate":"2025/1/1 0:00:00","PubModel":"eCollection","JCR":"Q2","JCRName":"CLINICAL NEUROLOGY","Score":null,"Total":0}
引用次数: 0

Abstract

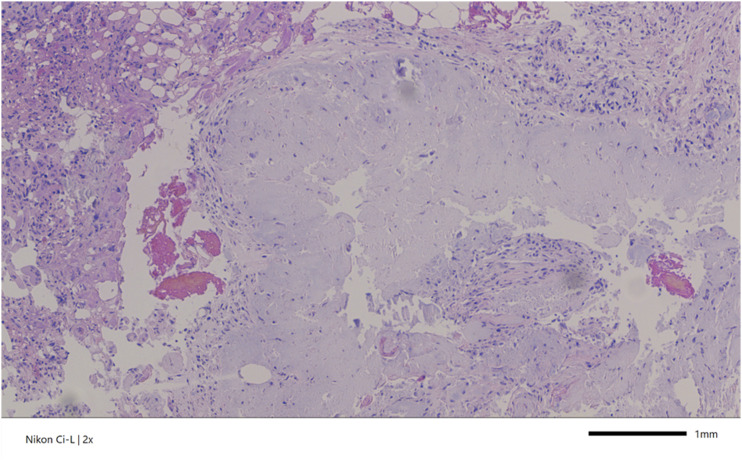
Introduction: Calcium pyrophosphate deposition (CPPD) disease is characterized by calcium pyrophosphate crystals in hyaline and fibrocartilage. Chondrocalcinosis, a radiographic hallmark for CPPD, becomes more prevalent with age. Although CPPD mainly targets peripheral joints, spinal involvement, affecting intervertebral discs and spinal ligaments, is less common but significant, seen in 24.3% of hospitalized patients with CPPD disease. This report describes a rare case of spinal CPPD causing spinal canal stenosis in the lumbar region.

Case description: A 79-year-old woman with a 3-year history of low back pain presented with severe left-sided pain and mobility impairment. Initial examination showed lumbar tenderness and normal muscle strength. Computed tomography (CT) and magnetic resonance imaging scans revealed a calcified extradural mass occupying the anterior portion of the lumbar spinal canal, most likely associated with the posterior longitudinal ligament. The patient underwent L3-L5 hemilaminectomies and dorsal spondylodesis, removing a whitish intraspinal mass. Histopathology confirmed CPPD. Post-surgery, the patient experienced initial pain relief but required emergency surgery due to complications. Over the next year, her mobility and pain improved significantly.

Discussion: Spinal CPPD manifests with varied clinical presentations, complicating diagnosis. Imaging reveals calcifications ranging from deposits to mass-like lesions causing compression. CT provides detailed visualization of characteristic calcifications, aiding in diagnosis, while histopathology remains the gold standard. Multidisciplinary collaboration is vital for accurate diagnosis and optimal management.

Abstract Image

Abstract Image

Abstract Image

腰椎椎管内焦磷酸钙沉积:一个全面的案例研究。
焦磷酸钙沉积症(CPPD)的特点是焦磷酸钙晶体在透明软骨和纤维软骨。软骨钙化症,CPPD的影像学标志,随着年龄的增长而变得更加普遍。虽然CPPD主要作用于周围关节,但脊柱受累,影响椎间盘和脊柱韧带,不太常见,但明显,在住院的CPPD患者中有24.3%。本文报告一例罕见的脊髓CPPD导致腰椎椎管狭窄的病例。病例描述:79岁女性,3年腰痛病史,左侧严重疼痛和活动障碍。初步检查显示腰痛,肌肉力量正常。计算机断层扫描(CT)和磁共振成像扫描显示一个钙化的硬膜外肿块占据腰椎管前部,很可能与后纵韧带有关。患者接受L3-L5半椎板切除术和脊椎病切除术,切除了一个白色的椎内肿块。组织病理学证实为CPPD。术后,患者经历了最初的疼痛缓解,但由于并发症需要紧急手术。在接下来的一年里,她的活动能力和疼痛明显改善。讨论:脊柱CPPD临床表现多样,诊断复杂。影像学显示钙化,范围从沉积物到团块样病变,造成压迫。CT提供特征性钙化的详细可视化,帮助诊断,而组织病理学仍然是金标准。多学科合作对于准确诊断和优化管理至关重要。
本文章由计算机程序翻译,如有差异,请以英文原文为准。
求助全文
约1分钟内获得全文 求助全文
来源期刊
CiteScore
6.90
自引率
0.00%
发文量
39
审稿时长
8 weeks
×
引用
GB/T 7714-2015
复制
MLA
复制
APA
复制
导出至
BibTeX EndNote RefMan NoteFirst NoteExpress
×
提示
您的信息不完整,为了账户安全,请先补充。
现在去补充
×
提示
您因"违规操作"
具体请查看互助需知
我知道了
×
提示
确定
请完成安全验证×
copy
已复制链接
快去分享给好友吧!
我知道了
右上角分享
点击右上角分享
0
联系我们:info@booksci.cn Book学术提供免费学术资源搜索服务,方便国内外学者检索中英文文献。致力于提供最便捷和优质的服务体验。 Copyright © 2023 布克学术 All rights reserved.
京ICP备2023020795号-1
ghs 京公网安备 11010802042870号
Book学术文献互助
Book学术文献互助群
群 号:604180095
Book学术官方微信