Spinal Metastases from Gastrointestinal Stromal Tumor: A Case Report.

IF 0.7 Q4 ONCOLOGY
Case Reports in Oncology Pub Date : 2025-05-14 eCollection Date: 2025-01-01 DOI:10.1159/000543568
Pashayar P Lookian, Luke J Weisbrod, Jordan M Rasmussen, Landon D Ehlers, Jie Chen, Tyler R Teichmeier, Miki Katzir
{"title":"Spinal Metastases from Gastrointestinal Stromal Tumor: A Case Report.","authors":"Pashayar P Lookian, Luke J Weisbrod, Jordan M Rasmussen, Landon D Ehlers, Jie Chen, Tyler R Teichmeier, Miki Katzir","doi":"10.1159/000543568","DOIUrl":null,"url":null,"abstract":"<p><strong>Introduction: </strong>Gastrointestinal stromal tumors (GISTs) arise from the interstitial cells of Cajal and are the most common form of gastrointestinal (GI) mesenchymal tumors. Bony metastasis is rare, with the spine being the most common location of osseous metastasis.</p><p><strong>Case presentation: </strong>A 56-year-old female with presentation of acute on chronic mechanical low back pain was found to have multiple lytic lesions throughout the thoracolumbar spine arising from GIST metastases. Magnetic resonance imaging of the thoracic spine revealed a dorsal epidural enhancing mass spanning the T6-T8 levels with associated spinal cord compression and spinal cord signal change. The patient underwent urgent surgical decompression and resection of epidural tumor through T5-T8 decompressive laminectomy. Postoperatively, the patient initially did well with improvement in bilateral lower extremity sensation and bladder function. The patient passed away while at home due to undetermined causes 6 weeks postoperatively.</p><p><strong>Conclusion: </strong>Here we present the case of a patient with metastatic GIST to the thoracic spine presenting with acute spinal cord compression treated with surgical resection, in addition to reviewing the literature of previous patients with metastatic GIST to the spine. We recommend that patients undergo surgical resection with adjuvant tyrosine kinase inhibitor therapy.</p>","PeriodicalId":9625,"journal":{"name":"Case Reports in Oncology","volume":"18 1","pages":"675-681"},"PeriodicalIF":0.7000,"publicationDate":"2025-05-14","publicationTypes":"Journal Article","fieldsOfStudy":null,"isOpenAccess":false,"openAccessPdf":"https://www.ncbi.nlm.nih.gov/pmc/articles/PMC12143870/pdf/","citationCount":"0","resultStr":null,"platform":"Semanticscholar","paperid":null,"PeriodicalName":"Case Reports in Oncology","FirstCategoryId":"1085","ListUrlMain":"https://doi.org/10.1159/000543568","RegionNum":0,"RegionCategory":null,"ArticlePicture":[],"TitleCN":null,"AbstractTextCN":null,"PMCID":null,"EPubDate":"2025/1/1 0:00:00","PubModel":"eCollection","JCR":"Q4","JCRName":"ONCOLOGY","Score":null,"Total":0}
引用次数: 0

Abstract

Introduction: Gastrointestinal stromal tumors (GISTs) arise from the interstitial cells of Cajal and are the most common form of gastrointestinal (GI) mesenchymal tumors. Bony metastasis is rare, with the spine being the most common location of osseous metastasis.

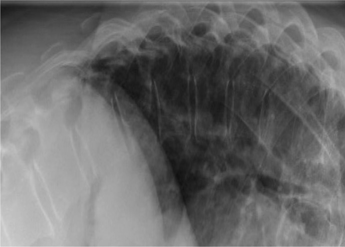
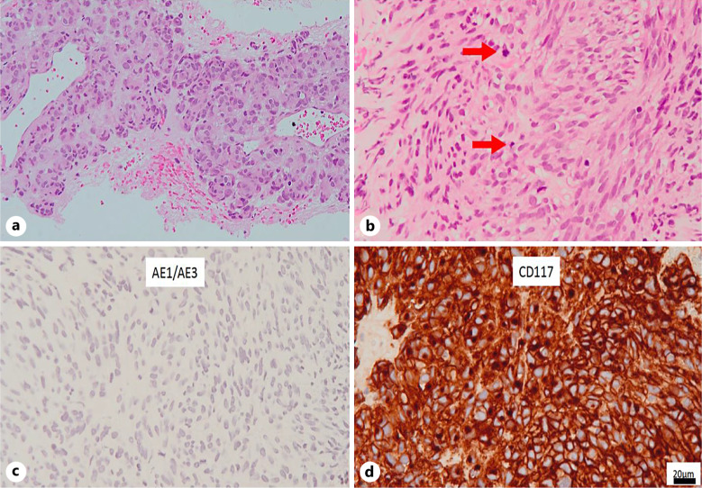
Case presentation: A 56-year-old female with presentation of acute on chronic mechanical low back pain was found to have multiple lytic lesions throughout the thoracolumbar spine arising from GIST metastases. Magnetic resonance imaging of the thoracic spine revealed a dorsal epidural enhancing mass spanning the T6-T8 levels with associated spinal cord compression and spinal cord signal change. The patient underwent urgent surgical decompression and resection of epidural tumor through T5-T8 decompressive laminectomy. Postoperatively, the patient initially did well with improvement in bilateral lower extremity sensation and bladder function. The patient passed away while at home due to undetermined causes 6 weeks postoperatively.

Conclusion: Here we present the case of a patient with metastatic GIST to the thoracic spine presenting with acute spinal cord compression treated with surgical resection, in addition to reviewing the literature of previous patients with metastatic GIST to the spine. We recommend that patients undergo surgical resection with adjuvant tyrosine kinase inhibitor therapy.

Abstract Image

Abstract Image

Abstract Image

胃肠道间质瘤脊柱转移1例。
胃肠道间质瘤(gist)起源于Cajal间质细胞,是胃肠道间质肿瘤中最常见的一种。骨转移是罕见的,与脊柱是最常见的位置骨转移。病例介绍:一名56岁女性,表现为急性或慢性机械性腰痛,被发现在整个胸腰椎有多个溶解性病变,由GIST转移引起。胸椎磁共振成像显示背侧硬膜外强化肿块横跨T6-T8节段,伴脊髓压迫和脊髓信号改变。患者通过T5-T8椎板减压术紧急手术减压并切除硬膜外肿瘤。术后,患者最初表现良好,双侧下肢感觉和膀胱功能均有改善。患者术后6周因不明原因在家中去世。结论:在此,我们报告了一例转移性GIST到胸椎的患者,在回顾以往转移性GIST到脊柱的患者的文献的基础上,还提出了手术切除治疗急性脊髓压迫的病例。我们建议患者行手术切除配合辅助酪氨酸激酶抑制剂治疗。
本文章由计算机程序翻译,如有差异,请以英文原文为准。
求助全文
约1分钟内获得全文 求助全文
来源期刊
CiteScore
1.40
自引率
12.50%
发文量
151
审稿时长
7 weeks
×
引用
GB/T 7714-2015
复制
MLA
复制
APA
复制
导出至
BibTeX EndNote RefMan NoteFirst NoteExpress
×
提示
您的信息不完整,为了账户安全,请先补充。
现在去补充
×
提示
您因"违规操作"
具体请查看互助需知
我知道了
×
提示
确定
请完成安全验证×
copy
已复制链接
快去分享给好友吧!
我知道了
右上角分享
点击右上角分享
0
联系我们:info@booksci.cn Book学术提供免费学术资源搜索服务,方便国内外学者检索中英文文献。致力于提供最便捷和优质的服务体验。 Copyright © 2023 布克学术 All rights reserved.
京ICP备2023020795号-1
ghs 京公网安备 11010802042870号
Book学术文献互助
Book学术文献互助群
群 号:604180095
Book学术官方微信