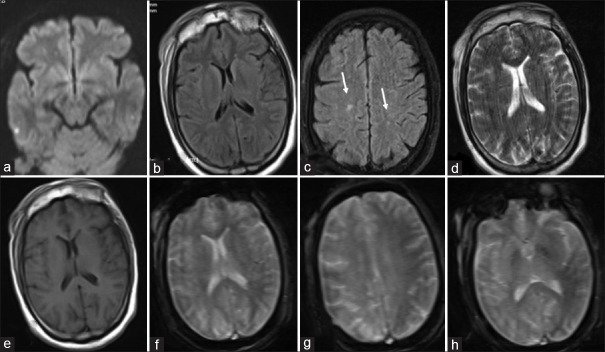
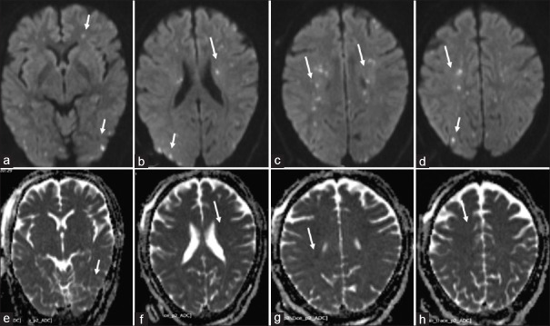
Isolated Starfield Pattern and the Type 1 Cerebral Fat Microembolism: A Radiological Perspective.

IF 1.8 4区 医学 Q3 CLINICAL NEUROLOGY
Annals of Indian Academy of Neurology Pub Date : 2025-05-01 Epub Date: 2025-06-09 DOI:10.4103/aian.aian_1042_24
Sandhya Manorenj, Sara Sravan Kumar, Sravan Kumur Marupaka, Farah Naaz
{"title":"Isolated Starfield Pattern and the Type 1 Cerebral Fat Microembolism: A Radiological Perspective.","authors":"Sandhya Manorenj, Sara Sravan Kumar, Sravan Kumur Marupaka, Farah Naaz","doi":"10.4103/aian.aian_1042_24","DOIUrl":null,"url":null,"abstract":"","PeriodicalId":8036,"journal":{"name":"Annals of Indian Academy of Neurology","volume":" ","pages":"435-436"},"PeriodicalIF":1.8000,"publicationDate":"2025-05-01","publicationTypes":"Journal Article","fieldsOfStudy":null,"isOpenAccess":false,"openAccessPdf":"https://www.ncbi.nlm.nih.gov/pmc/articles/PMC12192386/pdf/","citationCount":"0","resultStr":null,"platform":"Semanticscholar","paperid":null,"PeriodicalName":"Annals of Indian Academy of Neurology","FirstCategoryId":"3","ListUrlMain":"https://doi.org/10.4103/aian.aian_1042_24","RegionNum":4,"RegionCategory":"医学","ArticlePicture":[],"TitleCN":null,"AbstractTextCN":null,"PMCID":null,"EPubDate":"2025/6/9 0:00:00","PubModel":"Epub","JCR":"Q3","JCRName":"CLINICAL NEUROLOGY","Score":null,"Total":0}
引用次数: 0

Abstract Image

Abstract Image

孤立的星场模式和1型脑脂肪微栓塞:放射学角度。
本文章由计算机程序翻译,如有差异,请以英文原文为准。
求助全文
约1分钟内获得全文 求助全文
来源期刊
Annals of Indian Academy of Neurology
Annals of Indian Academy of Neurology Nervous System Diseases-
CiteScore
2.20
自引率
11.80%
发文量
293
审稿时长
29 weeks
期刊介绍: The journal has a clinical foundation and has been utilized most by clinical neurologists for improving the practice of neurology. While the focus is on neurology in India, the journal publishes manuscripts of high value from all parts of the world. Journal publishes reviews of various types, original articles, short communications, interesting images and case reports. The journal respects the scientific submission of its authors and believes in following an expeditious double-blind peer review process and endeavors to complete the review process within scheduled time frame. A significant effort from the author and the journal perhaps enables to strike an equilibrium to meet the professional expectations of the peers in the world of scientific publication. AIAN believes in safeguarding the privacy rights of human subjects. In order to comply with it, the journal instructs all authors when uploading the manuscript to also add the ethical clearance (human/animals)/ informed consent of subject in the manuscript. This applies to the study/case report that involves animal/human subjects/human specimens e.g. extracted tooth part/soft tissue for biopsy/in vitro analysis.
×
引用
GB/T 7714-2015
复制
MLA
复制
APA
复制
导出至
BibTeX EndNote RefMan NoteFirst NoteExpress
×
提示
您的信息不完整,为了账户安全,请先补充。
现在去补充
×
提示
您因"违规操作"
具体请查看互助需知
我知道了
×
提示
确定
请完成安全验证×
copy
已复制链接
快去分享给好友吧!
我知道了
右上角分享
点击右上角分享
0
联系我们:info@booksci.cn Book学术提供免费学术资源搜索服务,方便国内外学者检索中英文文献。致力于提供最便捷和优质的服务体验。 Copyright © 2023 布克学术 All rights reserved.
京ICP备2023020795号-1
ghs 京公网安备 11010802042870号
Book学术文献互助
Book学术文献互助群
群 号:604180095
Book学术官方微信