Immune checkpoint inhibitor therapy in metastatic renal cell carcinoma: tumour response and immune-related renal vasculitis following cytoreductive nephrectomy.

IF 2.9 Q1 PATHOLOGY
PATHOLOGICA Pub Date : 2025-06-01 Epub Date: 2025-06-06 DOI:10.32074/1591-951X-N998
Ekta Jain, Jorge A Diaz, Mustafa Goksel, Arnab Basu, Cristina Magi-Galluzzi
{"title":"Immune checkpoint inhibitor therapy in metastatic renal cell carcinoma: tumour response and immune-related renal vasculitis following cytoreductive nephrectomy.","authors":"Ekta Jain, Jorge A Diaz, Mustafa Goksel, Arnab Basu, Cristina Magi-Galluzzi","doi":"10.32074/1591-951X-N998","DOIUrl":null,"url":null,"abstract":"<p><strong>Objective: </strong>Therapeutic landscape of metastatic renal cell carcinoma (mRCC) has transformed over the last 2 decades, particularly with the advent of immune checkpoint inhibitors (ICI). While ICI offer therapeutic benefits, they can also provoke immune-related adverse events (iRAEs). Vasculitis as a clinical iRAE from ICI is rare in association with RCC treatment.</p><p><strong>Methods: </strong>This study included patients treated at our institution with ICI for mRCC (2019-2024). We collected clinicopathologic data and type and duration of immunotherapy. Histologic sections of tumors were re-reviewed by two pathologists to determine pathologic response and features of ICI-related renal injuries.</p><p><strong>Results: </strong>We identified 8 patients (median age 61.5 years) of which six (75%) presented with metastases at multiple sites, while two had recurrent oligometastatic disease post-partial nephrectomy. All patients were treated with ICI for a duration ranging from 6 to 20 months; 7 patients received combination therapy (CT) [iplimumab & nivolumab (n = 3), pembrolizumab & lenvatinib (n = 2), nivolumab & carbozantinib (n = 1), pembrolizumab & axitinib (n = 1)], while one received monotherapy (MT) (pembrolizumab). Patients were poor surgical candidates at diagnosis (25% Stage 3, 75% stage 4). Six (75%) patients had clear cell RCC (CCRCC), 2 patients had RCC with papillary and eosinophilic features. Tumor necrosis was noted in 75% of cases. Partial tumor response occurred in 7 (87.5%) patients, with 3 (37.5%) achieving tumor downstaging. One patient showed stable primary disease despite resolution of metastatic burden and none of the patients achieved complete response. Three patients (37.5%) had histopathological confirmed renal iRAEs. Two (25%) patients displayed vascular lymphocytic infiltrates, consistent with medium vessels vasculitis; they received CT for 6 months. One patient, who received CT for 20 months, showed a non-necrotizing granuloma.</p><p><strong>Conclusions: </strong>This study highlights the potential of ICIs for tumor downstaging and disease control in mRCC, though further investigation is warranted to optimize management of iRAEs and long-term outcomes. ICI-associated renal vasculitis is likely underrecognized and underreported highlighting the need for thorough pathological evaluation of non-neoplastic renal tissue in patients receiving ICI.</p>","PeriodicalId":45893,"journal":{"name":"PATHOLOGICA","volume":" ","pages":"249-257"},"PeriodicalIF":2.9000,"publicationDate":"2025-06-01","publicationTypes":"Journal Article","fieldsOfStudy":null,"isOpenAccess":false,"openAccessPdf":"https://www.ncbi.nlm.nih.gov/pmc/articles/PMC12236139/pdf/","citationCount":"0","resultStr":null,"platform":"Semanticscholar","paperid":null,"PeriodicalName":"PATHOLOGICA","FirstCategoryId":"1085","ListUrlMain":"https://doi.org/10.32074/1591-951X-N998","RegionNum":0,"RegionCategory":null,"ArticlePicture":[],"TitleCN":null,"AbstractTextCN":null,"PMCID":null,"EPubDate":"2025/6/6 0:00:00","PubModel":"Epub","JCR":"Q1","JCRName":"PATHOLOGY","Score":null,"Total":0}
引用次数: 0

Abstract

Objective: Therapeutic landscape of metastatic renal cell carcinoma (mRCC) has transformed over the last 2 decades, particularly with the advent of immune checkpoint inhibitors (ICI). While ICI offer therapeutic benefits, they can also provoke immune-related adverse events (iRAEs). Vasculitis as a clinical iRAE from ICI is rare in association with RCC treatment.

Methods: This study included patients treated at our institution with ICI for mRCC (2019-2024). We collected clinicopathologic data and type and duration of immunotherapy. Histologic sections of tumors were re-reviewed by two pathologists to determine pathologic response and features of ICI-related renal injuries.

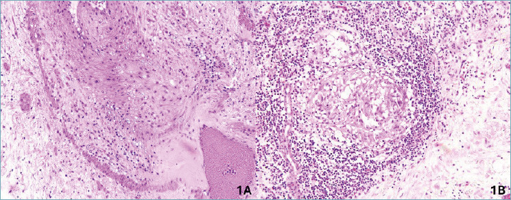
Results: We identified 8 patients (median age 61.5 years) of which six (75%) presented with metastases at multiple sites, while two had recurrent oligometastatic disease post-partial nephrectomy. All patients were treated with ICI for a duration ranging from 6 to 20 months; 7 patients received combination therapy (CT) [iplimumab & nivolumab (n = 3), pembrolizumab & lenvatinib (n = 2), nivolumab & carbozantinib (n = 1), pembrolizumab & axitinib (n = 1)], while one received monotherapy (MT) (pembrolizumab). Patients were poor surgical candidates at diagnosis (25% Stage 3, 75% stage 4). Six (75%) patients had clear cell RCC (CCRCC), 2 patients had RCC with papillary and eosinophilic features. Tumor necrosis was noted in 75% of cases. Partial tumor response occurred in 7 (87.5%) patients, with 3 (37.5%) achieving tumor downstaging. One patient showed stable primary disease despite resolution of metastatic burden and none of the patients achieved complete response. Three patients (37.5%) had histopathological confirmed renal iRAEs. Two (25%) patients displayed vascular lymphocytic infiltrates, consistent with medium vessels vasculitis; they received CT for 6 months. One patient, who received CT for 20 months, showed a non-necrotizing granuloma.

Conclusions: This study highlights the potential of ICIs for tumor downstaging and disease control in mRCC, though further investigation is warranted to optimize management of iRAEs and long-term outcomes. ICI-associated renal vasculitis is likely underrecognized and underreported highlighting the need for thorough pathological evaluation of non-neoplastic renal tissue in patients receiving ICI.

Abstract Image

免疫检查点抑制剂治疗转移性肾癌:肿瘤反应和细胞减少性肾切除术后的免疫相关肾血管炎。
目的:转移性肾细胞癌(mRCC)的治疗前景在过去20年中发生了变化,特别是随着免疫检查点抑制剂(ICI)的出现。虽然ICI提供治疗益处,但它们也可能引起免疫相关不良事件(iRAEs)。血管炎作为ICI的临床iRAE与RCC治疗相关是罕见的。方法:本研究纳入了在我院接受ICI治疗的mRCC患者(2019-2024)。我们收集了临床病理资料和免疫治疗的类型和持续时间。两名病理学家重新检查肿瘤的组织学切片,以确定ici相关肾损伤的病理反应和特征。结果:我们确定了8例患者(中位年龄61.5岁),其中6例(75%)出现多部位转移,2例在部分肾切除术后复发少转移性疾病。所有患者均接受ICI治疗,疗程为6至20个月;7例患者接受联合治疗(CT) [iplimumab + nivolumab (n = 3), pembrolizumab + lenvatinib (n = 2), nivolumab + carbozantinib (n = 1), pembrolizumab + axitinib (n = 1)], 1例患者接受单药治疗(MT) (pembrolizumab)。患者在诊断时不适合手术(25%为3期,75%为4期)。6例(75%)为透明细胞RCC (CCRCC), 2例为具有乳头状和嗜酸性特征的RCC。75%的病例出现肿瘤坏死。7例(87.5%)患者出现部分肿瘤缓解,3例(37.5%)患者达到肿瘤降期。1例患者的原发病情稳定,尽管转移性负担得到缓解,但没有一例患者获得完全缓解。3例(37.5%)经组织病理学证实为肾性irae。2例(25%)患者表现为血管淋巴细胞浸润,符合中血管血管炎;连续6个月接受CT检查。其中一名患者接受了20个月的CT检查,显示为非坏死性肉芽肿。结论:本研究强调了ICIs在mRCC中降低肿瘤分期和疾病控制的潜力,但需要进一步研究以优化iRAEs的管理和长期预后。ICI相关的肾血管炎可能未被充分认识和报道,这突出了对ICI患者非肿瘤性肾组织进行彻底病理评估的必要性。
本文章由计算机程序翻译,如有差异,请以英文原文为准。
求助全文
约1分钟内获得全文 求助全文
来源期刊
PATHOLOGICA
PATHOLOGICA PATHOLOGY-
CiteScore
5.90
自引率
5.70%
发文量
108
×
引用
GB/T 7714-2015
复制
MLA
复制
APA
复制
导出至
BibTeX EndNote RefMan NoteFirst NoteExpress
×
提示
您的信息不完整,为了账户安全,请先补充。
现在去补充
×
提示
您因"违规操作"
具体请查看互助需知
我知道了
×
提示
确定
请完成安全验证×
copy
已复制链接
快去分享给好友吧!
我知道了
右上角分享
点击右上角分享
0
联系我们:info@booksci.cn Book学术提供免费学术资源搜索服务,方便国内外学者检索中英文文献。致力于提供最便捷和优质的服务体验。 Copyright © 2023 布克学术 All rights reserved.
京ICP备2023020795号-1
ghs 京公网安备 11010802042870号
Book学术文献互助
Book学术文献互助群
群 号:604180095
Book学术官方微信