"Attenuated" Pulmonary Tumor Thrombotic Microangiopathy on Anti-Vascular Endothelial Growth Factor Treatment: A Case Report.

IF 0.7 Q4 ONCOLOGY
Case Reports in Oncology Pub Date : 2025-05-14 eCollection Date: 2025-01-01 DOI:10.1159/000543930
Haruka Ozaki, Takeshi Yamaguchi, Rika Kizawa, Yuko Tanabe, Koichi Suyama, Yuji Miura
{"title":"\"Attenuated\" Pulmonary Tumor Thrombotic Microangiopathy on Anti-Vascular Endothelial Growth Factor Treatment: A Case Report.","authors":"Haruka Ozaki, Takeshi Yamaguchi, Rika Kizawa, Yuko Tanabe, Koichi Suyama, Yuji Miura","doi":"10.1159/000543930","DOIUrl":null,"url":null,"abstract":"<p><strong>Introduction: </strong>Antemortem diagnosis of pulmonary tumor thrombotic microangiopathy (PTTM) is challenging because of rapidly worsening respiratory failure. Vascular endothelial growth factor (VEGF) is involved in PTTM pathogenesis; however, the clinical picture of PTTM in patients with cancer receiving anti-VEGF treatment is unknown.</p><p><strong>Case presentation: </strong>A 40-year-old man with advanced gastric adenocarcinoma on paclitaxel plus ramucirumab developed a dry cough and, after 2 months of a stable period, dyspnea on exertion. Chest computed tomography (CT) showed bilateral diffuse patchy ground-glass opacities (GGOs). Transbronchial biopsy revealed alveolar hemorrhage and small pulmonary arteries occluded with fibrocellular intimal proliferation, but no tumor cells. Suspecting chemotherapy-induced lung injury, we discontinued the chemotherapy and monitored him carefully without treatment. However, his dyspnea worsened, and follow-up chest CT showed worsening GGOs and right atrial and pulmonary arterial dilatation. Ultrasound cardiography indicated reduced right ventricular function. Lung perfusion scintigraphy confirmed numerous bilateral defects. Right heart catheterization revealed pulmonary hypertension, but no tumor cells on pulmonary wedge aspiration cytology. We clinically diagnosed the patient with PTTM. Three weeks after his initial visit for dyspnea, he was started on nivolumab. One week after treatment, he required home oxygen therapy at 1 L/min on exertion. After two doses of nivolumab, he no longer had dyspnea and discontinued oxygen therapy. Follow-up ultrasound cardiography showed normal pulmonary arterial pressure, and almost all GGOs on chest CT were resolved.</p><p><strong>Conclusion: </strong>VEGF inhibitors may attenuate PTTM symptoms. Even with mild respiratory symptoms, oncologists should consider PTTM in patients with cancer on VEGF inhibitors.</p>","PeriodicalId":9625,"journal":{"name":"Case Reports in Oncology","volume":"18 1","pages":"659-666"},"PeriodicalIF":0.7000,"publicationDate":"2025-05-14","publicationTypes":"Journal Article","fieldsOfStudy":null,"isOpenAccess":false,"openAccessPdf":"https://www.ncbi.nlm.nih.gov/pmc/articles/PMC12140605/pdf/","citationCount":"0","resultStr":null,"platform":"Semanticscholar","paperid":null,"PeriodicalName":"Case Reports in Oncology","FirstCategoryId":"1085","ListUrlMain":"https://doi.org/10.1159/000543930","RegionNum":0,"RegionCategory":null,"ArticlePicture":[],"TitleCN":null,"AbstractTextCN":null,"PMCID":null,"EPubDate":"2025/1/1 0:00:00","PubModel":"eCollection","JCR":"Q4","JCRName":"ONCOLOGY","Score":null,"Total":0}
引用次数: 0

Abstract

Introduction: Antemortem diagnosis of pulmonary tumor thrombotic microangiopathy (PTTM) is challenging because of rapidly worsening respiratory failure. Vascular endothelial growth factor (VEGF) is involved in PTTM pathogenesis; however, the clinical picture of PTTM in patients with cancer receiving anti-VEGF treatment is unknown.

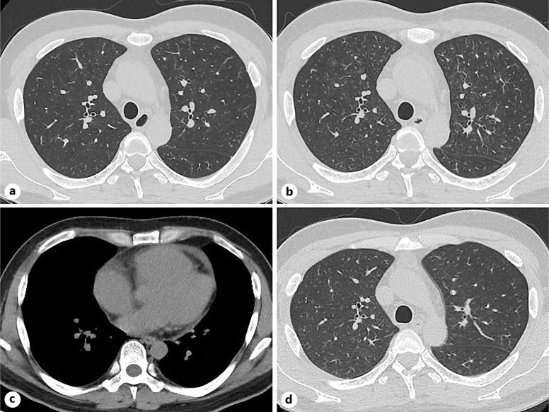
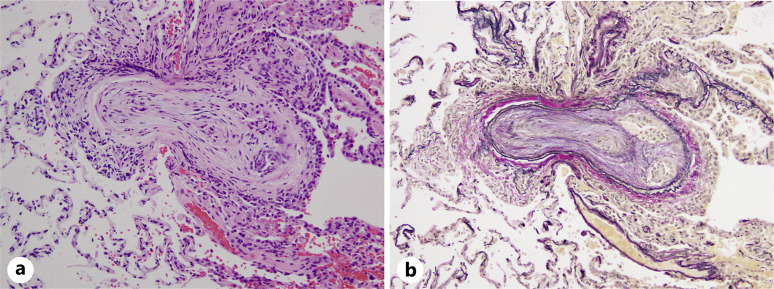
Case presentation: A 40-year-old man with advanced gastric adenocarcinoma on paclitaxel plus ramucirumab developed a dry cough and, after 2 months of a stable period, dyspnea on exertion. Chest computed tomography (CT) showed bilateral diffuse patchy ground-glass opacities (GGOs). Transbronchial biopsy revealed alveolar hemorrhage and small pulmonary arteries occluded with fibrocellular intimal proliferation, but no tumor cells. Suspecting chemotherapy-induced lung injury, we discontinued the chemotherapy and monitored him carefully without treatment. However, his dyspnea worsened, and follow-up chest CT showed worsening GGOs and right atrial and pulmonary arterial dilatation. Ultrasound cardiography indicated reduced right ventricular function. Lung perfusion scintigraphy confirmed numerous bilateral defects. Right heart catheterization revealed pulmonary hypertension, but no tumor cells on pulmonary wedge aspiration cytology. We clinically diagnosed the patient with PTTM. Three weeks after his initial visit for dyspnea, he was started on nivolumab. One week after treatment, he required home oxygen therapy at 1 L/min on exertion. After two doses of nivolumab, he no longer had dyspnea and discontinued oxygen therapy. Follow-up ultrasound cardiography showed normal pulmonary arterial pressure, and almost all GGOs on chest CT were resolved.

Conclusion: VEGF inhibitors may attenuate PTTM symptoms. Even with mild respiratory symptoms, oncologists should consider PTTM in patients with cancer on VEGF inhibitors.

Abstract Image

Abstract Image

Abstract Image

抗血管内皮生长因子治疗“减毒”肺肿瘤血栓性微血管病1例。
肺肿瘤血栓性微血管病(PTTM)的死前诊断是具有挑战性的,因为它会迅速恶化呼吸衰竭。血管内皮生长因子(VEGF)参与PTTM的发病机制;然而,接受抗vegf治疗的癌症患者PTTM的临床情况尚不清楚。病例介绍:一名40岁晚期胃腺癌患者接受紫杉醇加ramucirumab治疗后出现干咳,2个月后稳定期,用力时出现呼吸困难。胸部CT示双侧弥漫性斑片状磨玻璃影。经支气管活检显示肺泡出血和小肺动脉闭塞,纤维细胞内膜增生,但未见肿瘤细胞。我们怀疑是化疗引起的肺损伤,停止了化疗,并在没有治疗的情况下对他进行了仔细的监测。然而,他的呼吸困难加重,随访胸部CT显示GGOs恶化,右心房和肺动脉扩张。超声心动图显示右心室功能减退。肺灌注显像证实大量双侧缺陷。右心导管示肺动脉高压,肺楔吸细胞学未见肿瘤细胞。临床诊断为PTTM。在因呼吸困难首次就诊三周后,他开始使用纳武单抗。治疗一周后,患者在家中以1l /min吸氧。两剂纳武单抗后,他不再有呼吸困难,并停止了氧气治疗。随访超声心动图显示肺动脉压正常,胸部CT显示的ggo几乎全部消除。结论:VEGF抑制剂可减轻PTTM症状。即使有轻微的呼吸道症状,肿瘤学家也应该考虑使用VEGF抑制剂的癌症患者的PTTM。
本文章由计算机程序翻译,如有差异,请以英文原文为准。
求助全文
约1分钟内获得全文 求助全文
来源期刊
CiteScore
1.40
自引率
12.50%
发文量
151
审稿时长
7 weeks
×
引用
GB/T 7714-2015
复制
MLA
复制
APA
复制
导出至
BibTeX EndNote RefMan NoteFirst NoteExpress
×
提示
您的信息不完整,为了账户安全,请先补充。
现在去补充
×
提示
您因"违规操作"
具体请查看互助需知
我知道了
×
提示
确定
请完成安全验证×
copy
已复制链接
快去分享给好友吧!
我知道了
右上角分享
点击右上角分享
0
联系我们:info@booksci.cn Book学术提供免费学术资源搜索服务,方便国内外学者检索中英文文献。致力于提供最便捷和优质的服务体验。 Copyright © 2023 布克学术 All rights reserved.
京ICP备2023020795号-1
ghs 京公网安备 11010802042870号
Book学术文献互助
Book学术文献互助群
群 号:604180095
Book学术官方微信