A Case of Recurrent Gallstone Ileus Treated with Enterolithotomy Alone.

IF 0.6 Q4 GASTROENTEROLOGY & HEPATOLOGY
Case Reports in Gastroenterology Pub Date : 2025-06-05 eCollection Date: 2025-01-01 DOI:10.1159/000545980
Kisho Noda, Hirofumi Ohno, Keiko Naito, Katsudai Shirakabe, Hirotada Muramatsu, Hiraku Funakoshi
{"title":"A Case of Recurrent Gallstone Ileus Treated with Enterolithotomy Alone.","authors":"Kisho Noda, Hirofumi Ohno, Keiko Naito, Katsudai Shirakabe, Hirotada Muramatsu, Hiraku Funakoshi","doi":"10.1159/000545980","DOIUrl":null,"url":null,"abstract":"<p><strong>Introduction: </strong>Gallstone ileus is rare but with high mortality. Although gallstone ileus usually requires urgent enterolithotomy, cholecystectomy, and fistula closure, we present a case of recurrent gallstone ileus treated with enterolithotomy alone.</p><p><strong>Case presentation: </strong>A 69-year-old female presented to the emergency department with nausea, emesis, and abdominal pain. After computed tomography revealed the diagnosis of gallstone ileus, enterolithotomy was performed without postoperative complications. Cholecystectomy and fistula closure were not performed due to inaccessibility to the gallbladder and the high surgical invasion required. Four months later, the patient developed gallstone ileus again. A second enterolithotomy was performed immediately, resulting in a favorable outcome without complications.</p><p><strong>Conclusion: </strong>In managing gallstone ileus, particularly in cases with surgical limitations, a less invasive strategy could be a reasonable option.</p>","PeriodicalId":9614,"journal":{"name":"Case Reports in Gastroenterology","volume":"19 1","pages":"397-402"},"PeriodicalIF":0.6000,"publicationDate":"2025-06-05","publicationTypes":"Journal Article","fieldsOfStudy":null,"isOpenAccess":false,"openAccessPdf":"https://www.ncbi.nlm.nih.gov/pmc/articles/PMC12140604/pdf/","citationCount":"0","resultStr":null,"platform":"Semanticscholar","paperid":null,"PeriodicalName":"Case Reports in Gastroenterology","FirstCategoryId":"1085","ListUrlMain":"https://doi.org/10.1159/000545980","RegionNum":0,"RegionCategory":null,"ArticlePicture":[],"TitleCN":null,"AbstractTextCN":null,"PMCID":null,"EPubDate":"2025/1/1 0:00:00","PubModel":"eCollection","JCR":"Q4","JCRName":"GASTROENTEROLOGY & HEPATOLOGY","Score":null,"Total":0}
引用次数: 0

Abstract

Introduction: Gallstone ileus is rare but with high mortality. Although gallstone ileus usually requires urgent enterolithotomy, cholecystectomy, and fistula closure, we present a case of recurrent gallstone ileus treated with enterolithotomy alone.

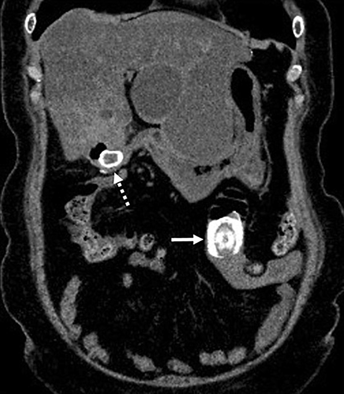
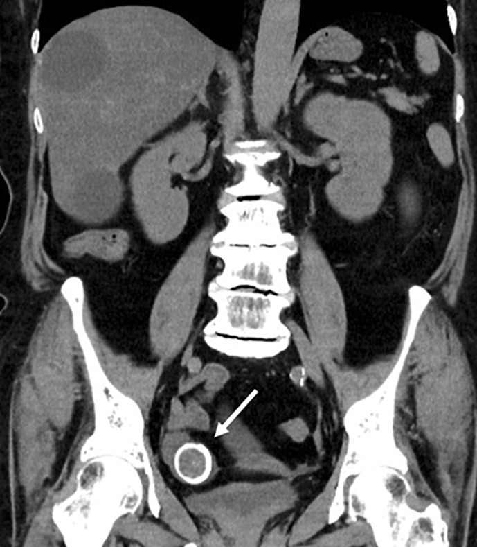
Case presentation: A 69-year-old female presented to the emergency department with nausea, emesis, and abdominal pain. After computed tomography revealed the diagnosis of gallstone ileus, enterolithotomy was performed without postoperative complications. Cholecystectomy and fistula closure were not performed due to inaccessibility to the gallbladder and the high surgical invasion required. Four months later, the patient developed gallstone ileus again. A second enterolithotomy was performed immediately, resulting in a favorable outcome without complications.

Conclusion: In managing gallstone ileus, particularly in cases with surgical limitations, a less invasive strategy could be a reasonable option.

Abstract Image

Abstract Image

Abstract Image

单纯肠内取石术治疗复发性胆结石性肠梗阻1例。
胆结石性肠梗阻是一种罕见但死亡率高的疾病。虽然胆结石性肠梗阻通常需要紧急肠内取石术、胆囊切除术和瘘管闭合,但我们报告了一例单独肠内取石术治疗复发性胆结石性肠梗阻。病例介绍:一名69岁女性因恶心、呕吐和腹痛就诊于急诊科。经计算机断层扫描诊断为胆结石性肠梗阻后,行肠内取石术,术后无并发症。由于胆囊难以进入,且手术侵入性高,未行胆囊切除术和瘘管闭合术。4个月后,患者再次出现胆石性肠梗阻。立即进行了第二次肠内取石术,结果良好,无并发症。结论:在治疗胆结石性肠梗阻,特别是在手术受限的情况下,微创策略可能是合理的选择。
本文章由计算机程序翻译,如有差异,请以英文原文为准。
求助全文
约1分钟内获得全文 求助全文
来源期刊
Case Reports in Gastroenterology
Case Reports in Gastroenterology Medicine-Gastroenterology
CiteScore
1.10
自引率
0.00%
发文量
99
审稿时长
7 weeks
期刊介绍:
×
引用
GB/T 7714-2015
复制
MLA
复制
APA
复制
导出至
BibTeX EndNote RefMan NoteFirst NoteExpress
×
提示
您的信息不完整,为了账户安全,请先补充。
现在去补充
×
提示
您因"违规操作"
具体请查看互助需知
我知道了
×
提示
确定
请完成安全验证×
copy
已复制链接
快去分享给好友吧!
我知道了
右上角分享
点击右上角分享
0
联系我们:info@booksci.cn Book学术提供免费学术资源搜索服务,方便国内外学者检索中英文文献。致力于提供最便捷和优质的服务体验。 Copyright © 2023 布克学术 All rights reserved.
京ICP备2023020795号-1
ghs 京公网安备 11010802042870号
Book学术文献互助
Book学术文献互助群
群 号:604180095
Book学术官方微信