Drug-Induced Hyperprolactinemia and Granulomatous Mastitis: A Case Report and Literature Review.

IF 0.8 Q4 INFECTIOUS DISEASES
Case Reports in Infectious Diseases Pub Date : 2025-05-29 eCollection Date: 2025-01-01 DOI:10.1155/crdi/9409072
Mohammed Alenazi, Sarah Howse, Syed Ali Imran
{"title":"Drug-Induced Hyperprolactinemia and Granulomatous Mastitis: A Case Report and Literature Review.","authors":"Mohammed Alenazi, Sarah Howse, Syed Ali Imran","doi":"10.1155/crdi/9409072","DOIUrl":null,"url":null,"abstract":"<p><p>Granulomatous mastitis (GM) is a rare inflammatory condition of the breast that can mimic inflammatory breast cancer. We report a case of a 54-year-old female who developed recurrent GM symptoms in the context of drug-induced hyperprolactinemia, which resolved with dopamine agonist therapy. Our report suggests that serum prolactin should be tested in patients with GM and appropriately managed if elevated.</p>","PeriodicalId":9608,"journal":{"name":"Case Reports in Infectious Diseases","volume":"2025 ","pages":"9409072"},"PeriodicalIF":0.8000,"publicationDate":"2025-05-29","publicationTypes":"Journal Article","fieldsOfStudy":null,"isOpenAccess":false,"openAccessPdf":"https://www.ncbi.nlm.nih.gov/pmc/articles/PMC12140826/pdf/","citationCount":"0","resultStr":null,"platform":"Semanticscholar","paperid":null,"PeriodicalName":"Case Reports in Infectious Diseases","FirstCategoryId":"1085","ListUrlMain":"https://doi.org/10.1155/crdi/9409072","RegionNum":0,"RegionCategory":null,"ArticlePicture":[],"TitleCN":null,"AbstractTextCN":null,"PMCID":null,"EPubDate":"2025/1/1 0:00:00","PubModel":"eCollection","JCR":"Q4","JCRName":"INFECTIOUS DISEASES","Score":null,"Total":0}
引用次数: 0

Abstract

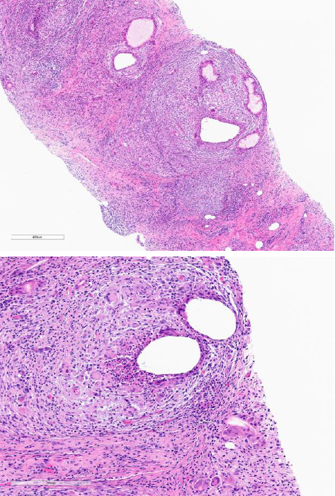
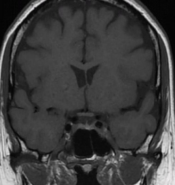
Granulomatous mastitis (GM) is a rare inflammatory condition of the breast that can mimic inflammatory breast cancer. We report a case of a 54-year-old female who developed recurrent GM symptoms in the context of drug-induced hyperprolactinemia, which resolved with dopamine agonist therapy. Our report suggests that serum prolactin should be tested in patients with GM and appropriately managed if elevated.

Abstract Image

Abstract Image

Abstract Image

药物性高泌乳素血症与肉芽肿性乳腺炎:1例报告并文献复习。
肉芽肿性乳腺炎(GM)是一种罕见的乳房炎症,可以模仿炎性乳腺癌。我们报告一例54岁女性在药物诱导的高催乳素血症背景下出现复发性GM症状,经多巴胺激动剂治疗解决。我们的报告建议GM患者应检测血清催乳素,如果升高应适当控制。
本文章由计算机程序翻译,如有差异,请以英文原文为准。
求助全文
约1分钟内获得全文 求助全文
来源期刊
自引率
0.00%
发文量
64
审稿时长
13 weeks
×
引用
GB/T 7714-2015
复制
MLA
复制
APA
复制
导出至
BibTeX EndNote RefMan NoteFirst NoteExpress
×
提示
您的信息不完整,为了账户安全,请先补充。
现在去补充
×
提示
您因"违规操作"
具体请查看互助需知
我知道了
×
提示
确定
请完成安全验证×
copy
已复制链接
快去分享给好友吧!
我知道了
右上角分享
点击右上角分享
0
联系我们:info@booksci.cn Book学术提供免费学术资源搜索服务,方便国内外学者检索中英文文献。致力于提供最便捷和优质的服务体验。 Copyright © 2023 布克学术 All rights reserved.
京ICP备2023020795号-1
ghs 京公网安备 11010802042870号
Book学术文献互助
Book学术文献互助群
群 号:604180095
Book学术官方微信