Recurrent transient global amnesia related to dural arteriovenous fistula.

Q3 Medicine
Dementia e Neuropsychologia Pub Date : 2025-06-02 eCollection Date: 2025-01-01 DOI:10.1590/1980-5764-DN-2024-0222
Rafael Batista João, Raquel Filgueiras Mattos
{"title":"Recurrent transient global amnesia related to dural arteriovenous fistula.","authors":"Rafael Batista João, Raquel Filgueiras Mattos","doi":"10.1590/1980-5764-DN-2024-0222","DOIUrl":null,"url":null,"abstract":"<p><p>Transient global amnesia (TGA) is a syndrome characterized by the sudden onset of anterograde amnesia, typically lasting for a few to less than 24 h. This condition is considered benign, as it is usually self-limited and unrelated to brain lesions; however, TGA may less frequently occur due to vascular brain changes. We report a rare case of a 66-year-old male with a diagnosis of recurrent TGA associated with a brain dural arteriovenous fistula (DAVF), alongside the absence of clear triggering and risk factors. He was submitted to embolization and remained event-free until his last attempt, 18 months after the surgical procedure. The case presentation follows a brief literature review on TGA and the pathophysiological mechanisms probably underpinning its occasional correlation with brain DAVF.</p>","PeriodicalId":39167,"journal":{"name":"Dementia e Neuropsychologia","volume":"19 ","pages":"e20240222"},"PeriodicalIF":0.0000,"publicationDate":"2025-06-02","publicationTypes":"Journal Article","fieldsOfStudy":null,"isOpenAccess":false,"openAccessPdf":"https://www.ncbi.nlm.nih.gov/pmc/articles/PMC12136585/pdf/","citationCount":"0","resultStr":null,"platform":"Semanticscholar","paperid":null,"PeriodicalName":"Dementia e Neuropsychologia","FirstCategoryId":"1085","ListUrlMain":"https://doi.org/10.1590/1980-5764-DN-2024-0222","RegionNum":0,"RegionCategory":null,"ArticlePicture":[],"TitleCN":null,"AbstractTextCN":null,"PMCID":null,"EPubDate":"2025/1/1 0:00:00","PubModel":"eCollection","JCR":"Q3","JCRName":"Medicine","Score":null,"Total":0}
引用次数: 0

Abstract

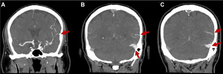
Transient global amnesia (TGA) is a syndrome characterized by the sudden onset of anterograde amnesia, typically lasting for a few to less than 24 h. This condition is considered benign, as it is usually self-limited and unrelated to brain lesions; however, TGA may less frequently occur due to vascular brain changes. We report a rare case of a 66-year-old male with a diagnosis of recurrent TGA associated with a brain dural arteriovenous fistula (DAVF), alongside the absence of clear triggering and risk factors. He was submitted to embolization and remained event-free until his last attempt, 18 months after the surgical procedure. The case presentation follows a brief literature review on TGA and the pathophysiological mechanisms probably underpinning its occasional correlation with brain DAVF.

Abstract Image

Abstract Image

复发性短暂性全身性遗忘与硬脑膜动静脉瘘的关系。
短暂性全身性遗忘(TGA)是一种以突然发生的顺行性遗忘为特征的综合征,通常持续数小时至24小时以下。这种情况被认为是良性的,因为它通常是自限性的,与脑部病变无关;然而,由于血管性脑改变,TGA可能较少发生。我们报告一个罕见的病例,66岁男性,诊断为复发性TGA合并脑硬膜动静脉瘘(DAVF),同时缺乏明确的触发和危险因素。他接受了栓塞治疗,直到手术后18个月的最后一次尝试,他都没有发生任何事件。本病例报告是在对TGA和可能支持其与脑DAVF偶尔相关的病理生理机制的简要文献综述之后进行的。
本文章由计算机程序翻译,如有差异,请以英文原文为准。
求助全文
约1分钟内获得全文 求助全文
来源期刊
Dementia e Neuropsychologia
Dementia e Neuropsychologia Medicine-Geriatrics and Gerontology
CiteScore
2.20
自引率
0.00%
发文量
58
审稿时长
8 weeks
期刊介绍: Dementia top Neuropsychologia the official scientific journal of the Cognitive Neurology and Ageing Department of the Brazilian Academy of Neurology and of the Brazilian Association of Geriatric Neuropsychiatry, is published by the "Associação Neurologia Cognitiva e do Comportamento", a nonprofit Brazilian association. Regularly published on March, June, September, and December since 2007.
×
引用
GB/T 7714-2015
复制
MLA
复制
APA
复制
导出至
BibTeX EndNote RefMan NoteFirst NoteExpress
×
提示
您的信息不完整,为了账户安全,请先补充。
现在去补充
×
提示
您因"违规操作"
具体请查看互助需知
我知道了
×
提示
确定
请完成安全验证×
copy
已复制链接
快去分享给好友吧!
我知道了
右上角分享
点击右上角分享
0
联系我们:info@booksci.cn Book学术提供免费学术资源搜索服务,方便国内外学者检索中英文文献。致力于提供最便捷和优质的服务体验。 Copyright © 2023 布克学术 All rights reserved.
京ICP备2023020795号-1
ghs 京公网安备 11010802042870号
Book学术文献互助
Book学术文献互助群
群 号:604180095
Book学术官方微信