Gastroepiploic artery embolization for splenic trauma in a liver transplant recipient.

IF 1.3 Q3 RADIOLOGY, NUCLEAR MEDICINE & MEDICAL IMAGING
Journal of Clinical Imaging Science Pub Date : 2025-05-20 eCollection Date: 2025-01-01 DOI:10.25259/JCIS_3_2025
Rooshi Parikh, Steven Brian Epstein
{"title":"Gastroepiploic artery embolization for splenic trauma in a liver transplant recipient.","authors":"Rooshi Parikh, Steven Brian Epstein","doi":"10.25259/JCIS_3_2025","DOIUrl":null,"url":null,"abstract":"<p><p>The spleen is a highly vascular organ susceptible to injury in blunt abdominal trauma, often leading to massive blood loss. Splenic artery embolization (SAE) has been shown to be a safe and effective nonoperative approach in cases of hemodynamically stable patients with blunt splenic trauma. SAE can be performed proximally or distally, with both approaches demonstrating similar clinical efficacy. This case report describes emergent splenic embolization for acute abdominal trauma in a liver transplant recipient. However, due to the presence of prior splenic artery ligation, a uniquely alternative route through the gastroepiploic artery was used to gain access to the spleen for embolization.</p>","PeriodicalId":15512,"journal":{"name":"Journal of Clinical Imaging Science","volume":"15 ","pages":"18"},"PeriodicalIF":1.3000,"publicationDate":"2025-05-20","publicationTypes":"Journal Article","fieldsOfStudy":null,"isOpenAccess":false,"openAccessPdf":"https://www.ncbi.nlm.nih.gov/pmc/articles/PMC12134820/pdf/","citationCount":"0","resultStr":null,"platform":"Semanticscholar","paperid":null,"PeriodicalName":"Journal of Clinical Imaging Science","FirstCategoryId":"1085","ListUrlMain":"https://doi.org/10.25259/JCIS_3_2025","RegionNum":0,"RegionCategory":null,"ArticlePicture":[],"TitleCN":null,"AbstractTextCN":null,"PMCID":null,"EPubDate":"2025/1/1 0:00:00","PubModel":"eCollection","JCR":"Q3","JCRName":"RADIOLOGY, NUCLEAR MEDICINE & MEDICAL IMAGING","Score":null,"Total":0}
引用次数: 0

Abstract

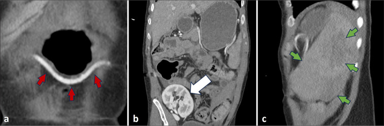
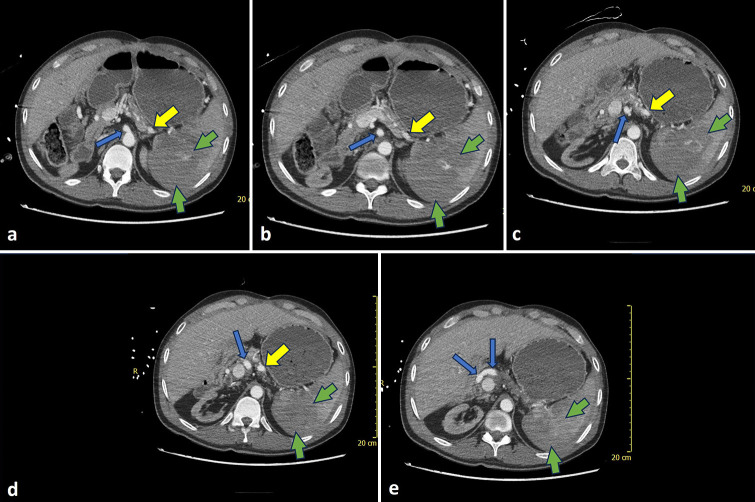
The spleen is a highly vascular organ susceptible to injury in blunt abdominal trauma, often leading to massive blood loss. Splenic artery embolization (SAE) has been shown to be a safe and effective nonoperative approach in cases of hemodynamically stable patients with blunt splenic trauma. SAE can be performed proximally or distally, with both approaches demonstrating similar clinical efficacy. This case report describes emergent splenic embolization for acute abdominal trauma in a liver transplant recipient. However, due to the presence of prior splenic artery ligation, a uniquely alternative route through the gastroepiploic artery was used to gain access to the spleen for embolization.

Abstract Image

Abstract Image

Abstract Image

肝移植受者脾损伤的胃网膜动脉栓塞治疗。
脾脏是一个高度血管化的器官,在钝性腹部创伤中容易受到损伤,经常导致大量失血。脾动脉栓塞(SAE)已被证明是一种安全有效的非手术方法,用于血流动力学稳定的钝性脾外伤患者。SAE可以近端或远端进行,两种入路的临床疗效相似。这个病例报告描述了紧急脾栓塞治疗急性腹部创伤的肝移植受者。然而,由于先前存在脾动脉结扎,因此采用另一种独特的途径通过胃网膜动脉进入脾脏进行栓塞。
本文章由计算机程序翻译,如有差异,请以英文原文为准。
求助全文
约1分钟内获得全文 求助全文
来源期刊
Journal of Clinical Imaging Science
Journal of Clinical Imaging Science RADIOLOGY, NUCLEAR MEDICINE & MEDICAL IMAGING-
CiteScore
2.00
自引率
0.00%
发文量
65
期刊介绍: The Journal of Clinical Imaging Science (JCIS) is an open access peer-reviewed journal committed to publishing high-quality articles in the field of Imaging Science. The journal aims to present Imaging Science and relevant clinical information in an understandable and useful format. The journal is owned and published by the Scientific Scholar. Audience Our audience includes Radiologists, Researchers, Clinicians, medical professionals and students. Review process JCIS has a highly rigorous peer-review process that makes sure that manuscripts are scientifically accurate, relevant, novel and important. Authors disclose all conflicts, affiliations and financial associations such that the published content is not biased.
×
引用
GB/T 7714-2015
复制
MLA
复制
APA
复制
导出至
BibTeX EndNote RefMan NoteFirst NoteExpress
×
提示
您的信息不完整,为了账户安全,请先补充。
现在去补充
×
提示
您因"违规操作"
具体请查看互助需知
我知道了
×
提示
确定
请完成安全验证×
copy
已复制链接
快去分享给好友吧!
我知道了
右上角分享
点击右上角分享
0
联系我们:info@booksci.cn Book学术提供免费学术资源搜索服务,方便国内外学者检索中英文文献。致力于提供最便捷和优质的服务体验。 Copyright © 2023 布克学术 All rights reserved.
京ICP备2023020795号-1
ghs 京公网安备 11010802042870号
Book学术文献互助
Book学术文献互助群
群 号:604180095
Book学术官方微信