Hypertriglyceridemia-Induced Acute Pancreatitis with Lipemic Samples in a Type 2 Diabetic Patient: A Case Report in a Resource-Limited Setting.

IF 0.7 Q3 MEDICINE, GENERAL & INTERNAL
International Medical Case Reports Journal Pub Date : 2025-05-30 eCollection Date: 2025-01-01 DOI:10.2147/IMCRJ.S516349
Hussein Mahdi Ahmed, Mohamed Hassan Osman, Shafie Abdulkadir Hassan, Hassan Mohamud Dirie, Mowlid Abdikarin Mohamed
{"title":"Hypertriglyceridemia-Induced Acute Pancreatitis with Lipemic Samples in a Type 2 Diabetic Patient: A Case Report in a Resource-Limited Setting.","authors":"Hussein Mahdi Ahmed, Mohamed Hassan Osman, Shafie Abdulkadir Hassan, Hassan Mohamud Dirie, Mowlid Abdikarin Mohamed","doi":"10.2147/IMCRJ.S516349","DOIUrl":null,"url":null,"abstract":"<p><strong>Background: </strong>Hypertriglyceridemia (HTG) is a known but relatively uncommon cause of acute pancreatitis (AP), accounting for approximately 1-7% of cases. Hypertriglyceridemia-induced acute pancreatitis (HTG-AP) can lead to significant morbidity if not promptly identified and managed. This case report describes a patient with poorly controlled type 2 diabetes mellitus (T2DM) who presented with HTG-AP, characterized by a lipemic blood sample, in a resource-limited setting.</p><p><strong>Case presentation: </strong>A 45-year-old male with a history of poorly controlled T2DM and hyperlipidemia presented with a 24-hour history of severe epigastric abdominal pain, fatigue, and vomiting. Clinical examination revealed diffuse abdominal tenderness, tachypnea, tachycardia, and a habitus consistent with central obesity. His BMI was 33.2 kg/m². Initial laboratory findings included seriously elevated triglycerides (1509 mg/dL), lipase (83 U/L), and amylase (161 U/L), along with hyperglycemia (465mg/dL). Abdominal computed tomography (CT) scan showed peripancreatic fatty stranding, consistent with early acute pancreatitis, as well as a fatty liver and a focal hypodense lesion in the right lobe. Treatment included intravenous insulin, dextrose, and potassium infusions to reduce triglyceride levels, analgesics, intravenous fluids for electrolyte imbalances, and thromboprophylaxis with enoxaparin.</p><p><strong>Conclusion: </strong>This case highlights the importance of early recognition of HTG-AP in patients with poorly controlled diabetes and hyperlipidemia. Prompt triglyceride-lowering therapy, primarily with insulin in resource-limited settings, is crucial for improving patient outcomes and preventing complications.</p>","PeriodicalId":14337,"journal":{"name":"International Medical Case Reports Journal","volume":"18 ","pages":"645-649"},"PeriodicalIF":0.7000,"publicationDate":"2025-05-30","publicationTypes":"Journal Article","fieldsOfStudy":null,"isOpenAccess":false,"openAccessPdf":"https://www.ncbi.nlm.nih.gov/pmc/articles/PMC12134466/pdf/","citationCount":"0","resultStr":null,"platform":"Semanticscholar","paperid":null,"PeriodicalName":"International Medical Case Reports Journal","FirstCategoryId":"1085","ListUrlMain":"https://doi.org/10.2147/IMCRJ.S516349","RegionNum":0,"RegionCategory":null,"ArticlePicture":[],"TitleCN":null,"AbstractTextCN":null,"PMCID":null,"EPubDate":"2025/1/1 0:00:00","PubModel":"eCollection","JCR":"Q3","JCRName":"MEDICINE, GENERAL & INTERNAL","Score":null,"Total":0}
引用次数: 0

Abstract

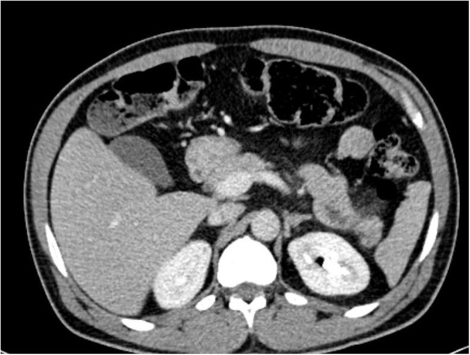
Background: Hypertriglyceridemia (HTG) is a known but relatively uncommon cause of acute pancreatitis (AP), accounting for approximately 1-7% of cases. Hypertriglyceridemia-induced acute pancreatitis (HTG-AP) can lead to significant morbidity if not promptly identified and managed. This case report describes a patient with poorly controlled type 2 diabetes mellitus (T2DM) who presented with HTG-AP, characterized by a lipemic blood sample, in a resource-limited setting.

Case presentation: A 45-year-old male with a history of poorly controlled T2DM and hyperlipidemia presented with a 24-hour history of severe epigastric abdominal pain, fatigue, and vomiting. Clinical examination revealed diffuse abdominal tenderness, tachypnea, tachycardia, and a habitus consistent with central obesity. His BMI was 33.2 kg/m². Initial laboratory findings included seriously elevated triglycerides (1509 mg/dL), lipase (83 U/L), and amylase (161 U/L), along with hyperglycemia (465mg/dL). Abdominal computed tomography (CT) scan showed peripancreatic fatty stranding, consistent with early acute pancreatitis, as well as a fatty liver and a focal hypodense lesion in the right lobe. Treatment included intravenous insulin, dextrose, and potassium infusions to reduce triglyceride levels, analgesics, intravenous fluids for electrolyte imbalances, and thromboprophylaxis with enoxaparin.

Conclusion: This case highlights the importance of early recognition of HTG-AP in patients with poorly controlled diabetes and hyperlipidemia. Prompt triglyceride-lowering therapy, primarily with insulin in resource-limited settings, is crucial for improving patient outcomes and preventing complications.

Abstract Image

Abstract Image

2型糖尿病患者高甘油三酯血症诱导的急性胰腺炎伴脂血症样本:在资源有限的情况下的一例报告。
背景:高甘油三酯血症(HTG)是一种已知但相对罕见的急性胰腺炎(AP)病因,约占病例的1-7%。高甘油三酯血症引起的急性胰腺炎(HTG-AP)如果不及时发现和管理可导致显著的发病率。本病例报告描述了在资源有限的情况下,1例控制不佳的2型糖尿病(T2DM)患者出现HTG-AP,其特征是血脂性血液样本。病例介绍:45岁男性,有控制不良的2型糖尿病和高脂血症病史,24小时伴有严重的上腹部疼痛、疲劳和呕吐。临床检查显示弥漫性腹部压痛,呼吸急促,心动过速,与中心性肥胖一致的习惯。BMI为33.2 kg/m²。最初的实验室结果包括严重升高的甘油三酯(1509 mg/dL)、脂肪酶(83 U/L)和淀粉酶(161 U/L),以及高血糖(465mg/dL)。腹部计算机断层扫描(CT)显示胰腺周围脂肪搁浅,符合早期急性胰腺炎,以及脂肪肝和右叶局灶性低密度病变。治疗包括静脉注射胰岛素、葡萄糖和钾以降低甘油三酯水平,止痛剂,静脉输液治疗电解质失衡,并用依诺肝素预防血栓形成。结论:本病例强调了早期识别HTG-AP对糖尿病和高脂血症控制不良患者的重要性。在资源有限的情况下,及时的降低甘油三酯治疗,主要是胰岛素治疗,对于改善患者预后和预防并发症至关重要。
本文章由计算机程序翻译,如有差异,请以英文原文为准。
求助全文
约1分钟内获得全文 求助全文
来源期刊
International Medical Case Reports Journal
International Medical Case Reports Journal MEDICINE, GENERAL & INTERNAL-
CiteScore
1.40
自引率
0.00%
发文量
135
审稿时长
16 weeks
期刊介绍: International Medical Case Reports Journal is an international, peer-reviewed, open access, online journal publishing original case reports from all medical specialties. Submissions should not normally exceed 3,000 words or 4 published pages including figures, diagrams and references. As of 1st April 2019, the International Medical Case Reports Journal will no longer consider meta-analyses for publication.
×
引用
GB/T 7714-2015
复制
MLA
复制
APA
复制
导出至
BibTeX EndNote RefMan NoteFirst NoteExpress
×
提示
您的信息不完整,为了账户安全,请先补充。
现在去补充
×
提示
您因"违规操作"
具体请查看互助需知
我知道了
×
提示
确定
请完成安全验证×
copy
已复制链接
快去分享给好友吧!
我知道了
右上角分享
点击右上角分享
0
联系我们:info@booksci.cn Book学术提供免费学术资源搜索服务,方便国内外学者检索中英文文献。致力于提供最便捷和优质的服务体验。 Copyright © 2023 布克学术 All rights reserved.
京ICP备2023020795号-1
ghs 京公网安备 11010802042870号
Book学术文献互助
Book学术文献互助群
群 号:604180095
Book学术官方微信