Establishment of an indirect ELISA antibody detection method based on the stable expression of LSDV P32 protein in CHO-K1 cells.

IF 3.4 3区 生物学 Q2 BIOTECHNOLOGY & APPLIED MICROBIOLOGY
Ruolan Xin, Jiawen Zhang, Yinghui Zhang, Daoming Su, Menglin Li, Dan Liu, Ruizhi Wu, Junjie Zhao, Yuanyuan Zhu, Yebing Liu, Xiaoyun Chen, Yongjun Wen, Zhen Zhu
{"title":"Establishment of an indirect ELISA antibody detection method based on the stable expression of LSDV P32 protein in CHO-K1 cells.","authors":"Ruolan Xin, Jiawen Zhang, Yinghui Zhang, Daoming Su, Menglin Li, Dan Liu, Ruizhi Wu, Junjie Zhao, Yuanyuan Zhu, Yebing Liu, Xiaoyun Chen, Yongjun Wen, Zhen Zhu","doi":"10.1186/s12896-025-00966-6","DOIUrl":null,"url":null,"abstract":"<p><strong>Background: </strong>Lumpy skin disease (LSD), caused by infection with the lumpy skin disease virus (LSDV), is a highly infectious disease that poses a notable challenge to the cattle industry worldwide. To conduct epidemiological monitoring of LSDV infection in cattle and evaluate the immune efficacy of LSDV vaccines, it is essential to develop a rapid, sensitive, and specific ELISA-based antibody detection method.</p><p><strong>Results: </strong>We utilized the LSDV P32 protein, stably expressed in a CHO-K1 suspension cell system, as a coating antigen to develop an indirect ELISA for Capripoxvirus (CaPV) antibody detection. This method specifically recognizes CaPV-positive sera without cross-reactivity with sera positive for bovine viral diarrhea virus, bovine rotavirus, infectious bovine rhinotracheitis virus, and Brucella antibodies. The method demonstrated a maximum serum dilution detection capacity of 1:3200, with intra- and inter-assay variation coefficients below 10%. Comparison with a commercially available kit showed an agreement of 95.7%.</p><p><strong>Conclusion: </strong>The indirect ELISA antibody detection method established exhibited excellent specificity, sensitivity, and reproducibility, providing a reliable tool for clinical detection and epidemiological surveys of LSDV. This method offers significant potential for the prevention and control of LSD outbreaks.</p>","PeriodicalId":8905,"journal":{"name":"BMC Biotechnology","volume":"25 1","pages":"45"},"PeriodicalIF":3.4000,"publicationDate":"2025-06-04","publicationTypes":"Journal Article","fieldsOfStudy":null,"isOpenAccess":false,"openAccessPdf":"https://www.ncbi.nlm.nih.gov/pmc/articles/PMC12139313/pdf/","citationCount":"0","resultStr":null,"platform":"Semanticscholar","paperid":null,"PeriodicalName":"BMC Biotechnology","FirstCategoryId":"5","ListUrlMain":"https://doi.org/10.1186/s12896-025-00966-6","RegionNum":3,"RegionCategory":"生物学","ArticlePicture":[],"TitleCN":null,"AbstractTextCN":null,"PMCID":null,"EPubDate":"","PubModel":"","JCR":"Q2","JCRName":"BIOTECHNOLOGY & APPLIED MICROBIOLOGY","Score":null,"Total":0}
引用次数: 0

Abstract

Background: Lumpy skin disease (LSD), caused by infection with the lumpy skin disease virus (LSDV), is a highly infectious disease that poses a notable challenge to the cattle industry worldwide. To conduct epidemiological monitoring of LSDV infection in cattle and evaluate the immune efficacy of LSDV vaccines, it is essential to develop a rapid, sensitive, and specific ELISA-based antibody detection method.

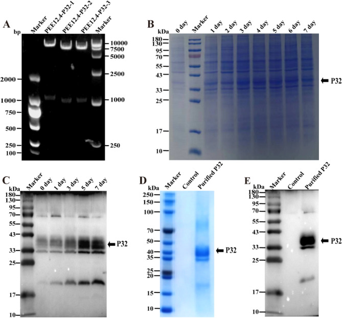
Results: We utilized the LSDV P32 protein, stably expressed in a CHO-K1 suspension cell system, as a coating antigen to develop an indirect ELISA for Capripoxvirus (CaPV) antibody detection. This method specifically recognizes CaPV-positive sera without cross-reactivity with sera positive for bovine viral diarrhea virus, bovine rotavirus, infectious bovine rhinotracheitis virus, and Brucella antibodies. The method demonstrated a maximum serum dilution detection capacity of 1:3200, with intra- and inter-assay variation coefficients below 10%. Comparison with a commercially available kit showed an agreement of 95.7%.

Conclusion: The indirect ELISA antibody detection method established exhibited excellent specificity, sensitivity, and reproducibility, providing a reliable tool for clinical detection and epidemiological surveys of LSDV. This method offers significant potential for the prevention and control of LSD outbreaks.

Abstract Image

Abstract Image

Abstract Image

建立基于LSDV P32蛋白在CHO-K1细胞中稳定表达的间接ELISA抗体检测方法。
背景:肿块性皮肤病(LSD)是由肿块性皮肤病病毒(LSDV)感染引起的一种高度传染性疾病,对世界范围内的养牛业构成了显著的挑战。为了开展牛LSDV感染的流行病学监测和评价LSDV疫苗的免疫效果,有必要建立一种快速、灵敏、特异的elisa抗体检测方法。结果:利用CHO-K1悬浮细胞体系中稳定表达的LSDV P32蛋白作为包被抗原,建立了间接ELISA检测CaPV抗体的方法。该方法特异性识别capv阳性血清,与牛病毒性腹泻病毒、牛轮状病毒、牛传染性鼻气管炎病毒和布鲁氏菌抗体阳性血清无交叉反应。该方法的最大血清稀释检测能力为1:3200,测定内和测定间变异系数均小于10%。与市售试剂盒比较,一致性为95.7%。结论:建立的间接ELISA抗体检测方法具有良好的特异性、敏感性和重复性,为LSDV的临床检测和流行病学调查提供了可靠的工具。这种方法为预防和控制LSD的爆发提供了巨大的潜力。
本文章由计算机程序翻译,如有差异,请以英文原文为准。
求助全文
约1分钟内获得全文 求助全文
来源期刊
BMC Biotechnology
BMC Biotechnology 工程技术-生物工程与应用微生物
CiteScore
6.60
自引率
0.00%
发文量
34
审稿时长
2 months
期刊介绍: BMC Biotechnology is an open access, peer-reviewed journal that considers articles on the manipulation of biological macromolecules or organisms for use in experimental procedures, cellular and tissue engineering or in the pharmaceutical, agricultural biotechnology and allied industries.
×
引用
GB/T 7714-2015
复制
MLA
复制
APA
复制
导出至
BibTeX EndNote RefMan NoteFirst NoteExpress
×
提示
您的信息不完整,为了账户安全,请先补充。
现在去补充
×
提示
您因"违规操作"
具体请查看互助需知
我知道了
×
提示
确定
请完成安全验证×
copy
已复制链接
快去分享给好友吧!
我知道了
右上角分享
点击右上角分享
0
联系我们:info@booksci.cn Book学术提供免费学术资源搜索服务,方便国内外学者检索中英文文献。致力于提供最便捷和优质的服务体验。 Copyright © 2023 布克学术 All rights reserved.
京ICP备2023020795号-1
ghs 京公网安备 11010802042870号
Book学术文献互助
Book学术文献互助群
群 号:604180095
Book学术官方微信