Acute Inner Ear Complications of Stapes Surgery: Value of Delayed Postcontrast 3D-FLAIR MRI Sequences.

IF 1.8 Q2 OTORHINOLARYNGOLOGY
OTO Open Pub Date : 2025-06-03 eCollection Date: 2025-04-01 DOI:10.1002/oto2.70136
Jean Fanet, Sylvain Bourdoncle, Guillaume Poillon, Mary Daval, Daniel Levy, Denis Ayache, Stéphane Gargula
{"title":"Acute Inner Ear Complications of Stapes Surgery: Value of Delayed Postcontrast 3D-FLAIR MRI Sequences.","authors":"Jean Fanet, Sylvain Bourdoncle, Guillaume Poillon, Mary Daval, Daniel Levy, Denis Ayache, Stéphane Gargula","doi":"10.1002/oto2.70136","DOIUrl":null,"url":null,"abstract":"<p><strong>Objective: </strong>To describe and assess the usefulness of delayed postcontrast three-dimensional fluid-attenuated inversion recovery (3D-FLAIR) sequences on 3-Tesla (3 T) magnetic resonance imaging (MRI) in patients presenting with acute inner ear complications after stapes surgery.</p><p><strong>Study design: </strong>Case series.</p><p><strong>Setting: </strong>French tertiary referral center.</p><p><strong>Methods: </strong>The clinical records and imaging of patients who underwent delayed postcontrast 3D-FLAIR MRI sequences for labyrinthine complications after stapes surgery, performed between January 2019 and April 2023, were retrospectively reviewed.</p><p><strong>Results: </strong>A total of 712 patients underwent stapes surgery between January 2019 and December 2023. Eight patients (1.12%) were included in the study, with a median age of 52 years (interquartile range 40-54). After the surgery, seven patients presented with vertigo and sensorineural hearing loss (SNHL), and one patient presented with only vertigo with complete areflexia on caloric testing. Computed tomography (CT) of the temporal bone showed a slightly excessive penetration of the prosthesis (>1 mm) into the vestibule in one patient and a periprosthetic granuloma in another patient. CT was normal for six patients. Delayed postcontrast 3D-FLAIR MRI sequences showed blood-labyrinth barrier (BLB) impairment in the cochlea, the vestibule, and the semicircular canals in seven patients. No endolymphatic hydrops were found, but one patient presented with utricular collapse, and the saccule was not visible in three other patients.</p><p><strong>Conclusion: </strong>Delayed postcontrast MRI sequences may reveal BLB impairment and help analyzing the endolymphatic compartment in cases of SNHL or vestibular disorders after stapes surgery. Those sequences could help uncovering the causes of such events.</p>","PeriodicalId":19697,"journal":{"name":"OTO Open","volume":"9 2","pages":"e70136"},"PeriodicalIF":1.8000,"publicationDate":"2025-06-03","publicationTypes":"Journal Article","fieldsOfStudy":null,"isOpenAccess":false,"openAccessPdf":"https://www.ncbi.nlm.nih.gov/pmc/articles/PMC12131198/pdf/","citationCount":"0","resultStr":null,"platform":"Semanticscholar","paperid":null,"PeriodicalName":"OTO Open","FirstCategoryId":"1085","ListUrlMain":"https://doi.org/10.1002/oto2.70136","RegionNum":0,"RegionCategory":null,"ArticlePicture":[],"TitleCN":null,"AbstractTextCN":null,"PMCID":null,"EPubDate":"2025/4/1 0:00:00","PubModel":"eCollection","JCR":"Q2","JCRName":"OTORHINOLARYNGOLOGY","Score":null,"Total":0}
引用次数: 0

Abstract

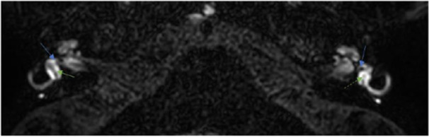
Objective: To describe and assess the usefulness of delayed postcontrast three-dimensional fluid-attenuated inversion recovery (3D-FLAIR) sequences on 3-Tesla (3 T) magnetic resonance imaging (MRI) in patients presenting with acute inner ear complications after stapes surgery.

Study design: Case series.

Setting: French tertiary referral center.

Methods: The clinical records and imaging of patients who underwent delayed postcontrast 3D-FLAIR MRI sequences for labyrinthine complications after stapes surgery, performed between January 2019 and April 2023, were retrospectively reviewed.

Results: A total of 712 patients underwent stapes surgery between January 2019 and December 2023. Eight patients (1.12%) were included in the study, with a median age of 52 years (interquartile range 40-54). After the surgery, seven patients presented with vertigo and sensorineural hearing loss (SNHL), and one patient presented with only vertigo with complete areflexia on caloric testing. Computed tomography (CT) of the temporal bone showed a slightly excessive penetration of the prosthesis (>1 mm) into the vestibule in one patient and a periprosthetic granuloma in another patient. CT was normal for six patients. Delayed postcontrast 3D-FLAIR MRI sequences showed blood-labyrinth barrier (BLB) impairment in the cochlea, the vestibule, and the semicircular canals in seven patients. No endolymphatic hydrops were found, but one patient presented with utricular collapse, and the saccule was not visible in three other patients.

Conclusion: Delayed postcontrast MRI sequences may reveal BLB impairment and help analyzing the endolymphatic compartment in cases of SNHL or vestibular disorders after stapes surgery. Those sequences could help uncovering the causes of such events.

Abstract Image

Abstract Image

Abstract Image

镫骨手术急性内耳并发症:延迟对比后3D-FLAIR MRI序列的价值。
目的:描述和评估3-特斯拉(3t)磁共振成像(MRI)延迟对比后三维液体衰减反转恢复(3D-FLAIR)序列在镫骨手术后急性内耳并发症患者中的应用价值。研究设计:病例系列。地点:法国三级转诊中心。方法:回顾性分析2019年1月至2023年4月镫骨术后迷路并发症延迟3D-FLAIR MRI扫描患者的临床记录和影像学资料。结果:2019年1月至2023年12月期间,共有712名患者接受了镫骨手术。8例患者(1.12%)纳入研究,中位年龄为52岁(四分位数范围40-54岁)。手术后,7例患者出现眩晕和感音神经性听力损失(SNHL), 1例患者在热量测试中仅出现眩晕和完全反射。颞骨计算机断层扫描(CT)显示,1例患者假体略微过度渗入前庭(约0.1 mm),另1例患者假体周围出现肉芽肿。6例CT正常。延迟对比后3D-FLAIR MRI序列显示7例患者耳蜗、前庭和半规管的血迷宫屏障(BLB)受损。未发现内淋巴积液,但一名患者出现心室塌陷,另外三名患者未见囊状物。结论:延迟MRI造影序列可显示SNHL或镫骨术后前庭疾病患者的BLB损伤,并有助于分析内淋巴室。这些序列可能有助于揭示这些事件的原因。
本文章由计算机程序翻译,如有差异,请以英文原文为准。
求助全文
约1分钟内获得全文 求助全文
来源期刊
OTO Open
OTO Open Medicine-Surgery
CiteScore
2.70
自引率
0.00%
发文量
115
审稿时长
15 weeks
×
引用
GB/T 7714-2015
复制
MLA
复制
APA
复制
导出至
BibTeX EndNote RefMan NoteFirst NoteExpress
×
提示
您的信息不完整,为了账户安全,请先补充。
现在去补充
×
提示
您因"违规操作"
具体请查看互助需知
我知道了
×
提示
确定
请完成安全验证×
copy
已复制链接
快去分享给好友吧!
我知道了
右上角分享
点击右上角分享
0
联系我们:info@booksci.cn Book学术提供免费学术资源搜索服务,方便国内外学者检索中英文文献。致力于提供最便捷和优质的服务体验。 Copyright © 2023 布克学术 All rights reserved.
京ICP备2023020795号-1
ghs 京公网安备 11010802042870号
Book学术文献互助
Book学术文献互助群
群 号:604180095
Book学术官方微信